Prothrombin G20210A Mutation and Hyperhomocysteinemia in Young Patient with Non-Arteritic Ischemic Optic Neuropathy
Include in Catalogue?: No
Presenter(s): Maria A. Vera-Silva, MD
Faculty Discussant(s): Carlos E. Mendoza Santiesteban, MD
Abstract A patient devoid of significant medical history presented with a sudden onset of painless vision loss in his right eye upon awakening. While the anterior segment appeared unremarkable, the right eye exhibited a Relative Afferent Pupillary Defect (RAPD), and fundus examination revealed grad…
Prothrombin G20210A Mutation and Hyperhomocysteinemia in Young Patient with Non-Arteritic Ischemic Optic Neuropathy
Include in Catalogue?: No
Presenter(s): Maria A. Vera-Silva, MD
Faculty Discussant(s): Carlos E. Mendoza Santiesteban, MD
Prothrombin G20210A Mutation and Hyperhomocysteinemia in Young Patient with Non-Arteritic Ischemic Optic Neuropathy A patient devoid of significant medical history presented with a sudden onset of painless vision loss in his right eye upon awakening. While the anterior segment appeared unremarkable…
Prothrombin G20210A Mutation and Hyperhomocysteinemia in Young Patient with Non-Arteritic Ischemic Optic Neuropathy
Specialty: Neuro-Ophthalmology
Type: Online Grand Rounds
Include in Catalogue?: Yes
Presenter(s): Maria A. Vera-Silva, MD
Faculty Discussant(s): Carlos E. Mendoza Santiesteban, MD
Presenter/Faculty: Mendoza, Vera-Silva
Prothrombin G20210A Mutation and Hyperhomocysteinemia in Young Patient with Non-Arteritic Ischemic Optic Neuropathy A patient devoid of significant medical history presented with a sudden onset of painless vision loss in his right eye upon awakening. While the anterior segment appeared unremarkable…
Orbital Necrotizing Fasciitis
Specialty: Neuro-Ophthalmology
Include in Catalogue?: No
Presenter(s): Sugi Panneerselvam, MD
Faculty Discussant(s): Sander R. Dubovy, MD; David T. Tse, MD
Abstract A patient found down by EMS with left orbital swelling for 2 days after he was unable to take his medications due to a recent illness. He was admitted to a hospital and treated for diabetic ketoacidosis, Group A Streptococcus sepsis and left orbital infection before presenting to an ophtha…
Orbital Necrotizing Fasciitis
Specialty: Neuro-Ophthalmology
Include in Catalogue?: No
Presenter(s): Sugi Panneerselvam, MD
Faculty Discussant(s): Sander R. Dubovy, MD; David T. Tse, MD
Orbital Necrotizing Fasciitis A patient found down by EMS with left orbital swelling for 2 days after he was unable to take his medications due to a recent illness. He was admitted to a hospital and treated for diabetic ketoacidosis, Group A Streptococcus sepsis and left orbital infection before pr…
Orbital Necrotizing Fasciitis
Specialty: Ophthalmic Pathology
Type: Online Grand Rounds
Include in Catalogue?: Yes
Presenter(s): Sugi Panneerselvam, MD
Faculty Discussant(s): Sander R. Dubovy, MD; David T. Tse, MD
Presenter/Faculty: Dubovy, Panneerselvam, Tse
Orbital Necrotizing Fasciitis A patient found down by EMS with left orbital swelling for 2 days after he was unable to take his medications due to a recent illness. He was admitted to a hospital and treated for diabetic ketoacidosis, Group A Streptococcus sepsis and left orbital infection before pr…
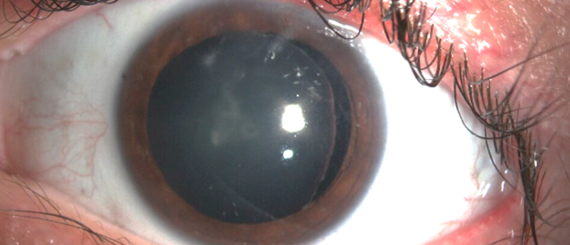
Zonular Insufficiency in Case of Acute Angle Closure Crisis
Specialty: Ophthalmic Pathology
Include in Catalogue?: No
Presenter(s): Flavius Beca, MD
Faculty Discussant(s): Elena Bitrian, MD
Abstract A patient presented to the BPEI Emergency Room with painful red eye and blurred vision. Prior history included possible eye trauma in the contralateral eye with inferior lens subluxation and normal lens anatomy without phacodonesis in the affected eye. He was noted to be in acute angle clo…
Zonular Insufficiency in Case of Acute Angle Closure Crisis
Specialty: Ophthalmic Pathology
Include in Catalogue?: No
Presenter(s): Flavius Beca, MD
Faculty Discussant(s): Elena Bitrian, MD
Zonular Insufficiency in Case of Acute Angle Closure Crisis A patient presented to the BPEI Emergency Room with painful red eye and blurred vision. Prior history included possible eye trauma in the contralateral eye with inferior lens subluxation and normal lens anatomy without phacodonesis in the …
Zonular Insufficiency in Case of Acute Angle Closure Crisis
Specialty: Glaucoma
Type: Online Grand Rounds
Include in Catalogue?: Yes
Presenter(s): Flavius Beca, MD
Faculty Discussant(s): Elena Bitrian, MD
Presenter/Faculty: Beca, Bitrian
Zonular Insufficiency in Case of Acute Angle Closure Crisis A patient presented to the BPEI Emergency Room with painful red eye and blurred vision. Prior history included possible eye trauma in the contralateral eye with inferior lens subluxation and normal lens anatomy without phacodonesis in the …
Glaucoma Drainage Device Related Endophthalmitis
Specialty: Glaucoma
Include in Catalogue?: No
Presenter(s): Ronaldo Nuesi, MD
Faculty Discussant(s): Elena Bitrian, MD; Basil K. Williams, MD
Abstract A patient with extensive past ocular history and multiple ocular surgeries, most recently a few months prior to presentation came to the emergency department with one day of pain and vision loss. On examination, patient was found to have a hypopyon, purulent appearing bleb, and no view to …
Glaucoma Drainage Device Related Endophthalmitis
Specialty: Glaucoma
Include in Catalogue?: No
Presenter(s): Ronaldo Nuesi, MD
Faculty Discussant(s): Elena Bitrian, MD; Basil K. Williams, MD
Glaucoma Drainage Device Related Endophthalmitis A patient with extensive past ocular history and multiple ocular surgeries, most recently a few months prior to presentation came to the emergency department with one day of pain and vision loss. On examination, patient was found to have a hypopyon, …
Glaucoma Drainage Device Related Endophthalmitis
Specialty: Glaucoma
Type: Online Grand Rounds
Include in Catalogue?: Yes
Presenter(s): Ronaldo Nuesi, MD
Faculty Discussant(s): Elena Bitrian, MD; Basil K. Williams, MD
Presenter/Faculty: Bitrian, Nuesi, Williams
Glaucoma Drainage Device Related Endophthalmitis A patient with extensive past ocular history and multiple ocular surgeries, most recently a few months prior to presentation came to the emergency department with one day of pain and vision loss. On examination, patient was found to have a hypopyon, …
Juvenile Xanthogranuloma
Specialty: Glaucoma
Include in Catalogue?: No
Presenter(s): Lindsay Foley, MD
Faculty Discussant(s): Sander R. Dubovy, MD; Angela Y. Zhu, MD
Abstract A baby was referred for a new-onset subconjunctival lesion in the right eye. He was found to have a thickened, yellow corneoscleral lesion and hyphema, presumed to be ocular juvenile xanthogranuloma (JXG). He was started on topical steroids as empiric treatment, with initial improvement fo…
Juvenile Xanthogranuloma
Specialty: Glaucoma
Include in Catalogue?: No
Presenter(s): Lindsay Foley, MD
Faculty Discussant(s): Sander R. Dubovy, MD; Angela Y. Zhu, MD
Juvenile Xanthogranuloma A baby was referred for a new-onset subconjunctival lesion in the right eye. He was found to have a thickened, yellow corneoscleral lesion and hyphema, presumed to be ocular juvenile xanthogranuloma (JXG). He was started on topical steroids as empiric treatment, with initia…
Juvenile Xanthogranuloma
Specialty: Glaucoma
Type: Online Grand Rounds
Include in Catalogue?: Yes
Presenter(s): Lindsay Foley, MD
Faculty Discussant(s): Sander R. Dubovy, MD; Angela Y. Zhu, MD
Presenter/Faculty: Dubovy, Foley, Zhu
Juvenile Xanthogranuloma A baby was referred for a new-onset subconjunctival lesion in the right eye. He was found to have a thickened, yellow corneoscleral lesion and hyphema, presumed to be ocular juvenile xanthogranuloma (JXG). He was started on topical steroids as empiric treatment, with initia…
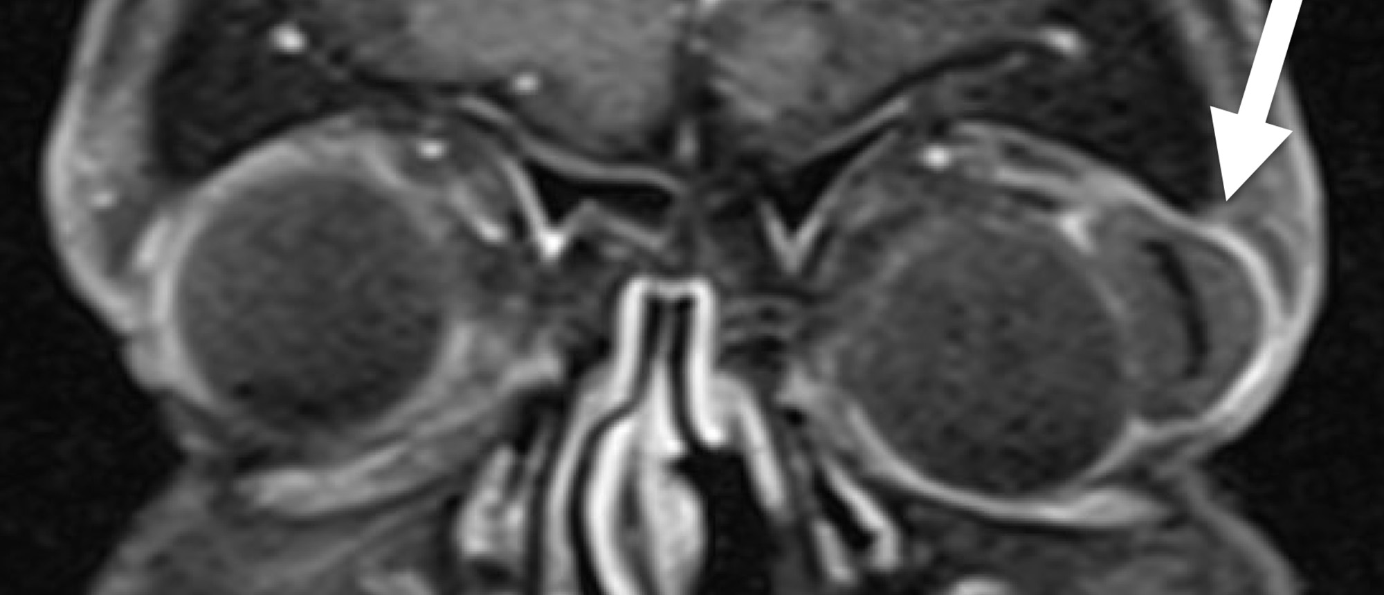
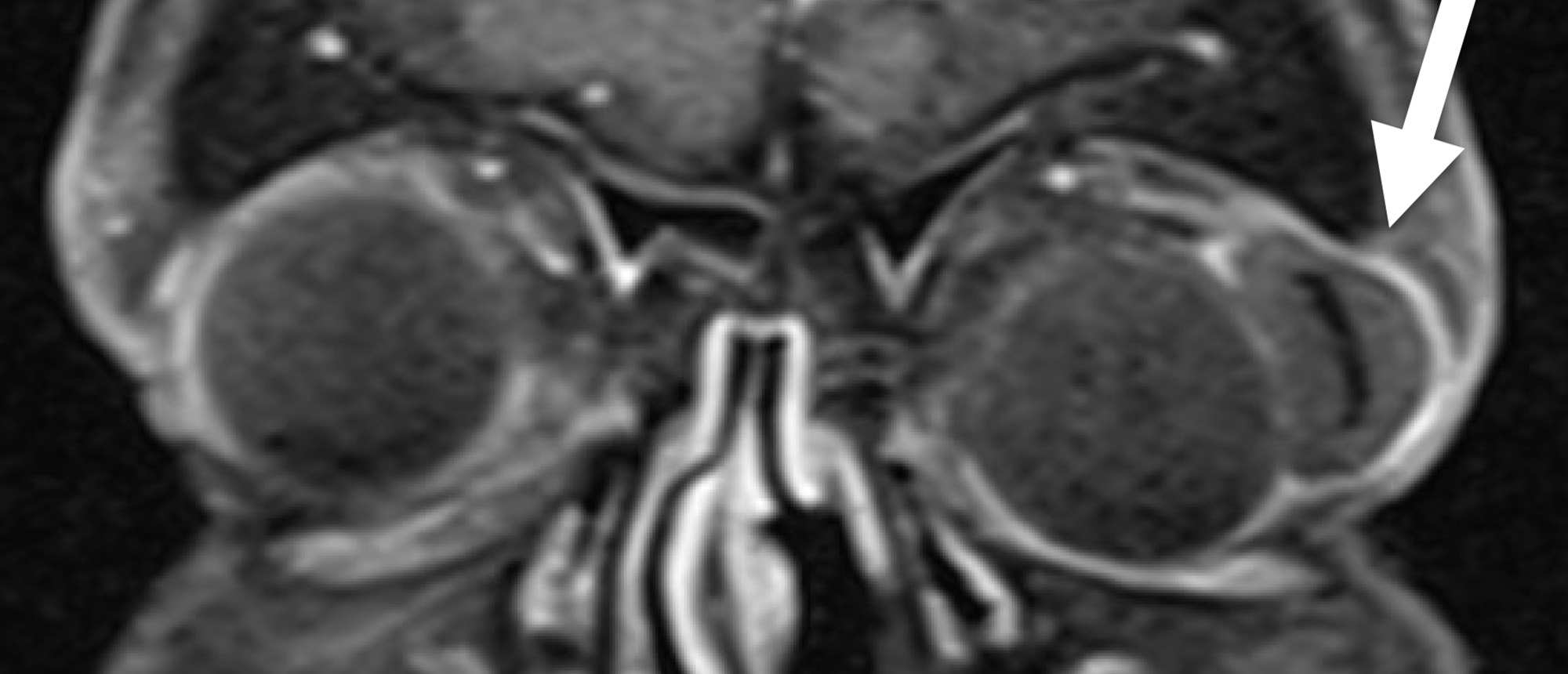
Acute Myeloid Leukemia
Specialty: Glaucoma
Include in Catalogue?: No
Presenter(s): Caroline M. Borie, MD
Faculty Discussant(s): Chris R. Alabiad, MD; Sander R. Dubovy, MD
Abstract A previously healthy child presented with bilateral periorbital edema, right greater than left proptosis, with generalized facial swelling and copious nasal discharge, not improved on antibiotics. Imaging revealed multiple extraconal soft tissue masses in the orbits bilaterally with bilate…
Acute Myeloid Leukemia
Specialty: Glaucoma
Include in Catalogue?: No
Presenter(s): Caroline M. Borie, MD
Faculty Discussant(s): Chris R. Alabiad, MD; Sander R. Dubovy, MD
Acute Myeloid Leukemia A previously healthy child presented with bilateral periorbital edema, right greater than left proptosis, with generalized facial swelling and copious nasal discharge, not improved on antibiotics. Imaging revealed multiple extraconal soft tissue masses in the orbits bilateral…
Acute Myeloid Leukemia
Specialty: Ocular Oncology
Type: Online Grand Rounds
Include in Catalogue?: Yes
Presenter(s): Caroline M. Borie, MD
Faculty Discussant(s): Chris R. Alabiad, MD; Sander R. Dubovy, MD
Presenter/Faculty: Alabiad, Borie, Dubovy
Acute Myeloid Leukemia A previously healthy child presented with bilateral periorbital edema, right greater than left proptosis, with generalized facial swelling and copious nasal discharge, not improved on antibiotics. Imaging revealed multiple extraconal soft tissue masses in the orbits bilateral…
MacTel Type 1
Specialty: Ocular Oncology
Include in Catalogue?: No
Presenter(s): Carolina Mercado, MD
Faculty Discussant(s): Jaclyn L. Kovach, MD
Abstract A patient presented with chronic cystoid macular edema (CME) in the left eye. His BCVA OS was 20/60. Despite prior long-term interventions with intravitreal steroids and anti-VEGF agents (ranibizumab and aflibercept), the macular edema persisted, prompting the exploration of alternative th…
MacTel Type 1
Specialty: Ocular Oncology
Include in Catalogue?: No
Presenter(s): Carolina Mercado, MD
Faculty Discussant(s): Jaclyn L. Kovach, MD
MacTel Type 1 A patient presented with chronic cystoid macular edema (CME) in the left eye. His BCVA OS was 20/60. Despite prior long-term interventions with intravitreal steroids and anti-VEGF agents (ranibizumab and aflibercept), the macular edema persisted, prompting the exploration of alternati…