Infectious Necrotizing Scleritis
Specialty: Corneal and External Diseases
Type: Online Grand Rounds
Include in Catalogue?: Yes
Presenter(s): Joseph Pecha, MD, MPH
Faculty Discussant(s): Guillermo Amescua, MD; Sander R. Dubovy, MD
Presenter/Faculty: Amescua, Dubovy, Pecha
Infectious Necrotizing Scleritis A patient with no past medical history and a past ocular history of five prior pterygium removal surgeries (three in the right eye and two in the left eye, most recently seven years ago in the right eye), presented to the Bascom Palmer Emergency Room for pain and ir…
Superior Ophthalmic Vein Thrombosis with likely Cavernous Sinus Thrombosis
Specialty: Corneal and External Diseases
Include in Catalogue?: No
Presenter(s): Nina Diklich, MD
Faculty Discussant(s): Hong Jiang, MD, PhD; Erika Marulanda, MD, MS, FAAN
Abstract A patient presented to the ophthalmology emergency room with a 1 day history of periorbital edema, decreased vision, pain with extraocular movements, and diplopia. Evaluation showed proptosis with significant injection and engorged conjunctival vessels. MRI of the brain and orbits with and…
Superior Ophthalmic Vein Thrombosis with likely Cavernous Sinus Thrombosis
Specialty: Corneal and External Diseases
Include in Catalogue?: No
Presenter(s): Nina Diklich, MD
Faculty Discussant(s): Hong Jiang, MD, PhD; Erika Marulanda, MD, MS, FAAN
Superior Ophthalmic Vein Thrombosis with likely Cavernous Sinus Thrombosis A patient presented to the ophthalmology emergency room with a 1 day history of periorbital edema, decreased vision, pain with extraocular movements, and diplopia. Evaluation showed proptosis with significant injection and e…
Superior Ophthalmic Vein Thrombosis with likely Cavernous Sinus Thrombosis
Specialty: Neuro-Ophthalmology
Type: Online Grand Rounds
Include in Catalogue?: Yes
Presenter(s): Nina Diklich, MD
Faculty Discussant(s): Hong Jiang, MD, PhD; Erika Marulanda, MD, MS, FAAN
Presenter/Faculty: Diklich, Jiang, Marulanda
Superior Ophthalmic Vein Thrombosis with likely Cavernous Sinus Thrombosis A patient presented to the ophthalmology emergency room with a 1 day history of periorbital edema, decreased vision, pain with extraocular movements, and diplopia. Evaluation showed proptosis with significant injection and e…
Fulminant Superior Ophthalmic Vein Thrombosis with likely Cavernous Sinus Thrombosis
Specialty: Neuro-Ophthalmology
Type: Ophthalmic Images
Include in Catalogue?: Yes
Original Contributor(s): Nina Diklich, MD; Hong Jiang, MD, PhD
Presenter/Faculty: Diklich, Jiang
This patient presented with a one day history of severe pain, reduced vision, diplopia, and proptosis. Imaging revealed a superior ophthalmic vein thrombosis. Extensive workup showed no definite underlying etiology. The patient was started on antibiotics, corticosteroids, and anticoagulation. There…
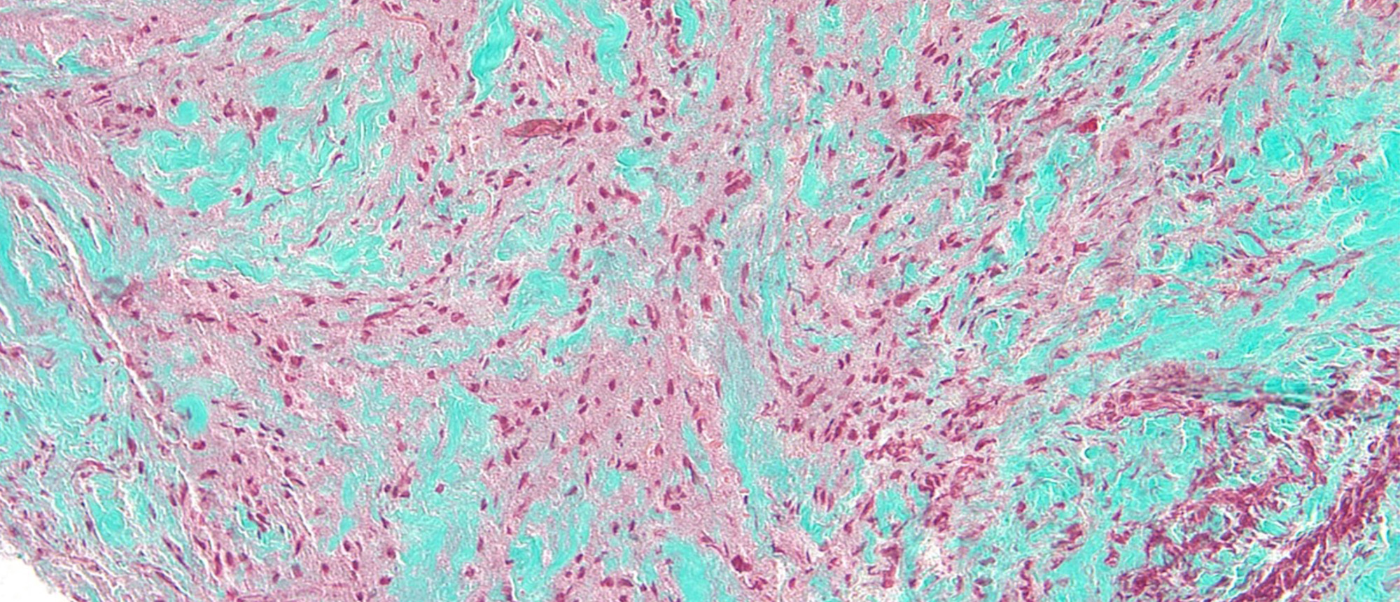
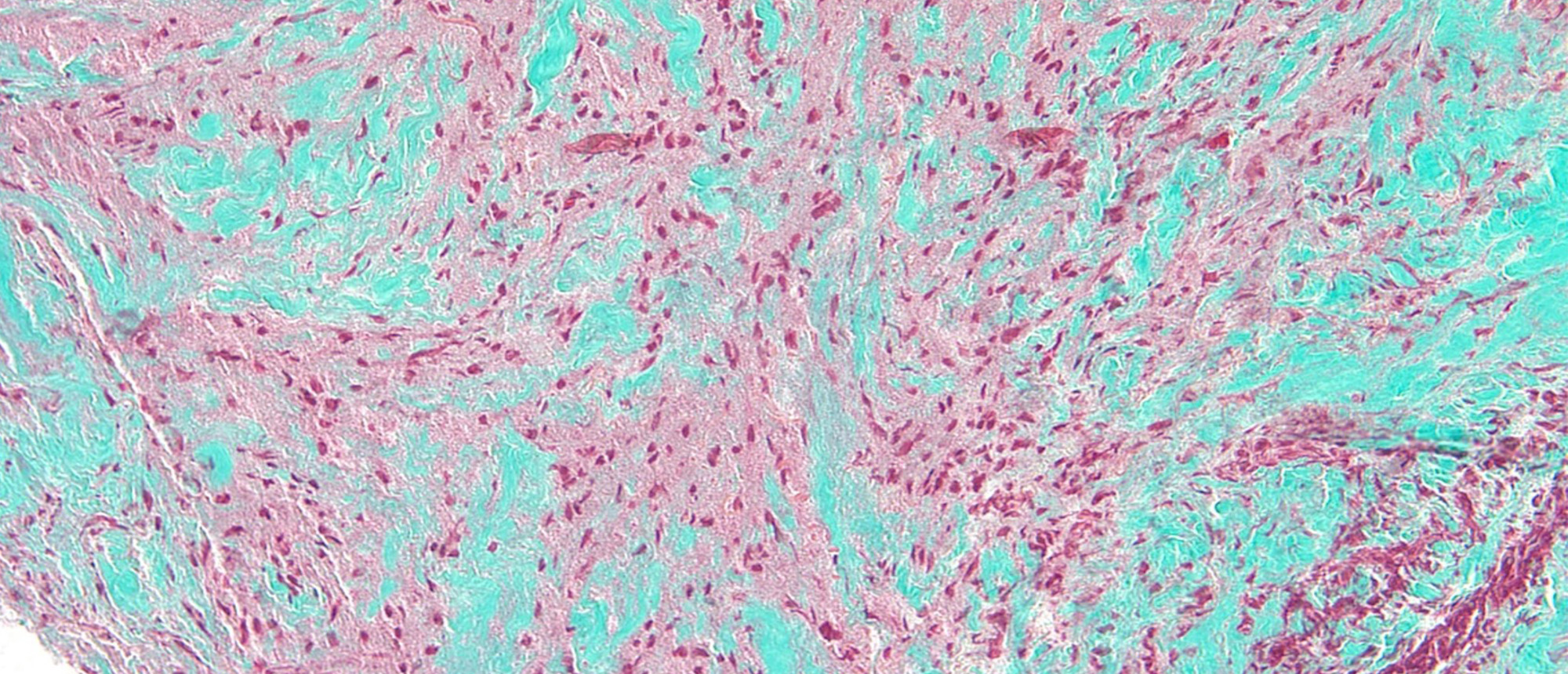
Pseudomonas Necrotizing Scleritis
Specialty: Corneal and External Diseases
Type: Ophthalmic Images
Include in Catalogue?: Yes
Original Contributor(s): Guillermo Amescua, MD; Joseph Pecha, MD, MPH
Presenter/Faculty: Amescua, Pecha
A patient with no past medical history and a past ocular history of five prior pterygium removal surgeries presented to the Bascom Palmer Emergency Room for pain and irritation in his right eye for 1 week. He endorsed working construction just prior to symptom onset, but denied any trauma to the ey…
PRPH2-Associated Pattern Dystrophy
Specialty: Corneal and External Diseases
Include in Catalogue?: No
Presenter(s): Brandon Pham, MD
Faculty Discussant(s): Thomas A. Albini, MD
Abstract A middle-aged patient presented to the Bascom Palmer Eye Institute with central blurred vision in the left eye for 2 weeks. Past medical and ocular history were unremarkable. Past family history was notable for a mother who was diagnosed with age-related macular degeneration in her 40s and…
PRPH2-Associated Pattern Dystrophy
Specialty: Corneal and External Diseases
Include in Catalogue?: No
Presenter(s): Brandon Pham, MD
Faculty Discussant(s): Thomas A. Albini, MD
PRPH2-Associated Pattern Dystrophy A middle-aged patient presented to the Bascom Palmer Eye Institute with central blurred vision in the left eye for 2 weeks. Past medical and ocular history were unremarkable. Past family history was notable for a mother who was diagnosed with age-related macular d…
PRPH2-Associated Pattern Dystrophy
Specialty: Retina and Vitreous Diseases
Type: Online Grand Rounds
Include in Catalogue?: Yes
Presenter(s): Brandon Pham, MD
Faculty Discussant(s): Thomas A. Albini, MD
Presenter/Faculty: Albini, Pham
PRPH2-Associated Pattern Dystrophy A middle-aged patient presented to the Bascom Palmer Eye Institute with central blurred vision in the left eye for 2 weeks. Past medical and ocular history were unremarkable. Past family history was notable for a mother who was diagnosed with age-related macular d…
Sturge Weber Syndrome
Specialty: Retina and Vitreous Diseases
Include in Catalogue?: No
Presenter(s): Natalie DeBolske, MD
Faculty Discussant(s): Ta Chen Peter Chang, MD; Basil Williams, MD
Abstract An infant presented to clinic as a referral due to a cloudy right cornea and port wine birthmark. The parents did not notice any abnormal behavior from the infant. The patient’s intraocular pressure was 28 and 14, but limited exam was possible in the office setting. An exam under anesthe…
Sturge Weber Syndrome
Specialty: Retina and Vitreous Diseases
Include in Catalogue?: No
Presenter(s): Natalie DeBolske, MD
Faculty Discussant(s): Ta Chen Peter Chang, MD; Basil Williams, MD
Sturge Weber Syndrome An infant presented to clinic as a referral due to a cloudy right cornea and port wine birthmark. The parents did not notice any abnormal behavior from the infant. The patient’s intraocular pressure was 28 and 14, but limited exam was possible in the office setting. An exam …
Sturge Weber Syndrome
Specialty: Pediatric Ophthalmology and Strabismus
Type: Online Grand Rounds
Include in Catalogue?: Yes
Presenter(s): Natalie DeBolske, MD
Faculty Discussant(s): Ta Chen Peter Chang, MD; Basil Williams, MD
Presenter/Faculty: DeBolske; Chang; Williams
Sturge Weber Syndrome An infant presented to clinic as a referral due to a cloudy right cornea and port wine birthmark. The parents did not notice any abnormal behavior from the infant. The patient’s intraocular pressure was 28 and 14, but limited exam was possible in the office setting. An exam …
Bilateral Endogenous Aspergillus Endophthalmitis
Specialty: Pediatric Ophthalmology and Strabismus
Include in Catalogue?: No
Presenter(s): Caroline M. Borie, MD
Faculty Discussant(s): Sander R. Dubovy, MD; Harry W. Flynn, Jr., MD
Abstract A middle-aged immunocompetent patient with hyperlipidemia and controlled Type 2 Diabetes Mellitus presented with rapid vision loss in the right eye and floaters in the left eye. Review of systems was significant for right sided headache, abdominal pain, nausea, and vomiting. Vision was Cou…
Bilateral Endogenous Aspergillus Endophthalmitis
Specialty: Pediatric Ophthalmology and Strabismus
Include in Catalogue?: No
Presenter(s): Caroline M. Borie, MD
Faculty Discussant(s): Sander R. Dubovy, MD; Harry W. Flynn, Jr., MD
Bilateral Endogenous Aspergillus Endophthalmitis A middle-aged immunocompetent patient with hyperlipidemia and controlled Type 2 Diabetes Mellitus presented with rapid vision loss in the right eye and floaters in the left eye. Review of systems was significant for right sided headache, abdominal pa…
Bilateral Endogenous Aspergillus Endophthalmitis
Specialty: Retina and Vitreous Diseases
Type: Online Grand Rounds
Include in Catalogue?: Yes
Presenter(s): Caroline M. Borie, MD
Faculty Discussant(s): Sander R. Dubovy, MD; Harry W. Flynn, Jr., MD
Presenter/Faculty: Borie, Dubovy, Flynn
Bilateral Endogenous Aspergillus Endophthalmitis A middle-aged immunocompetent patient with hyperlipidemia and controlled Type 2 Diabetes Mellitus presented with rapid vision loss in the right eye and floaters in the left eye. Review of systems was significant for right sided headache, abdominal pa…
Eales' Disease
Specialty: Retina and Vitreous Diseases
Include in Catalogue?: No
Presenter(s): Kai Seely, MD, MHSc
Faculty Discussant(s): Janet L. Davis, MD
Abstract A patient presented with one month of blurred vision and floaters in the left eye. Visual acuity was 20/20 in the right eye and 20/70 in the left eye. Slit lamp exam was remarkable for a quiet anterior chamber and 2+ vitreous cell in both eyes. Dilated fundus exam demonstrated bilateral se…
Eales' Disease
Specialty: Retina and Vitreous Diseases
Include in Catalogue?: No
Presenter(s): Kai Seely, MD, MHSc
Faculty Discussant(s): Janet L. Davis, MD
Eales' Disease A patient presented with one month of blurred vision and floaters in the left eye. Visual acuity was 20/20 in the right eye and 20/70 in the left eye. Slit lamp exam was remarkable for a quiet anterior chamber and 2+ vitreous cell in both eyes. Dilated fundus exam demonstrated bilate…
Eales' Disease
Specialty: Retina and Vitreous Diseases
Type: Online Grand Rounds
Include in Catalogue?: Yes
Presenter(s): Kai Seely, MD, MHSc
Faculty Discussant(s): Janet L. Davis, MD
Presenter/Faculty: Davis, Seely
Eales' Disease A patient presented with one month of blurred vision and floaters in the left eye. Visual acuity was 20/20 in the right eye and 20/70 in the left eye. Slit lamp exam was remarkable for a quiet anterior chamber and 2+ vitreous cell in both eyes. Dilated fundus exam demonstrated bilate…
Headache, Neck and Shoulder Wellness: Ergonomic Lessons from a Physical Therapist
Specialty: Other
Type: Other Lectures
Include in Catalogue?: Yes
Presenter(s): Sara Etheredge, PT, DPT, CKTP, CCI, CMTPT, AIB-VR
Presenter/Faculty: Etheredge
Unconscious Bias and Microaggressions: Definitions, Importance and Tools for Management
Specialty: Other
Type: Other Lectures
Include in Catalogue?: Yes
Presenter(s): Ambar Faridi, MD; Lora Glass, MD
Presenter/Faculty: Faridi, Glass