Blunt Right Eye Trauma with a Transected Inferior Rectus Muscle Resulting in Severe Right Hypertropia
Specialty: Pediatric Ophthalmology and Strabismus
Type: Online Grand Rounds
Include in Catalogue?: Yes
Presenter(s): Potyra Rosa, MD
Faculty Discussant(s): Hilda Capo, MD; David T. Tse, MD
Presenter/Faculty: Capo, Rosa, Tse
Blunt Right Eye Trauma with a Transected Inferior Rectus Muscle Resulting in Severe Right Hypertropia An adult patient was transferred to BPEI ER after suffering right eye trauma while using a pressure washer machine. Patient reported his right eye had been bleeding and swollen since the accident. …
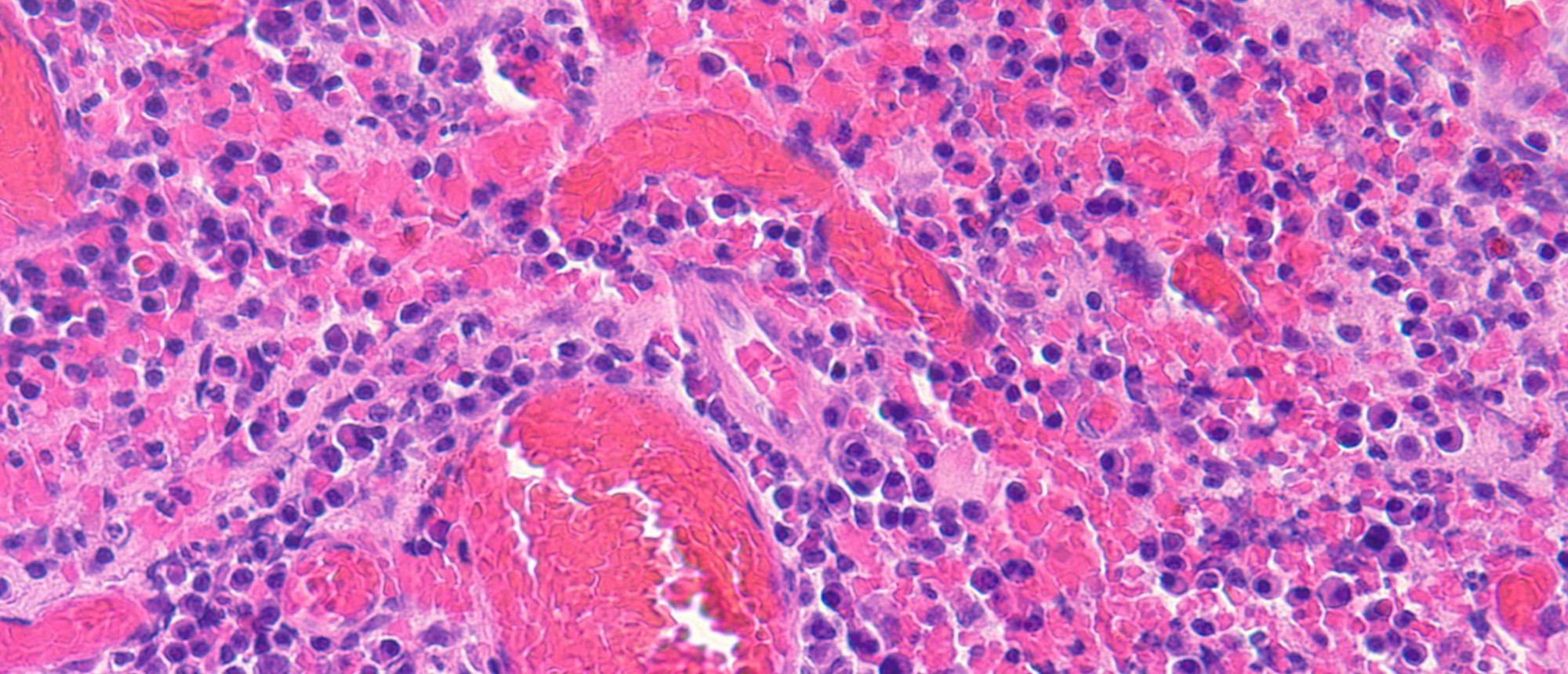
Community-Acquired Methicillin-Resistant Staphylococcus Aureus (MRSA) Caused Episcleral Mass Resembling Granuloma
Specialty: Pediatric Ophthalmology and Strabismus
Type: Online Grand Rounds
Include in Catalogue?: Yes
Presenter(s): Bashaer Aldhahwani, MD
Faculty Discussant(s): Sander R. Dubovy, MD; Harry W. Flynn, Jr., MD; Craig A. McKeown, MD; Darlene Miller, DHSc, MPH, CIC
Presenter/Faculty: Aldhahwani, Dubovy, Flynn, McKeown, Miller
Community-Acquired Methicillin-Resistant Staphylococcus Aureus (MRSA) Caused Episcleral Mass Resembling Granuloma A patient underwent bilateral medial rectus recession for a history of infantile esotropia. Ten days prior to the surgery, she developed a skin lesion on her forearm and was placed on c…
Adult-Onset Asthma with Periocular Xanthogranuloma
Specialty: Ocular Oncology
Type: Online Grand Rounds
Include in Catalogue?: Yes
Presenter(s): Sohaib Fasih-Ahmad, MD
Faculty Discussant(s): Sander R. Dubovy, MD; Thomas E. Johnson, MD
Presenter/Faculty: Dubovy, Fasih-Ahmad, Johnson
Adult-Onset Asthma with Periocular Xanthogranuloma A patient with a history of asthma and chronic sinusitis presented with unilateral facial swelling for three years. The facial swelling had gradually worsened over time. On examination, a well demarcated, yellow lesion was present in the right eyel…
Long Anterior Zonules and Pigment Dispersion Syndrome-Variant
Specialty: Cataracts and Intraocular Lenses
Type: Online Grand Rounds
Include in Catalogue?: Yes
Presenter(s): Jonathan D. Tijerina, MD, MA
Faculty Discussant(s): Sander R. Dubovy, MD; Anh H. Pham, MD, PhD
Discussant(s): Jesse D. Sengillo, MD
Presenter/Faculty: Dubovy, Pham, Sengillo, Tijerina
Long Anterior Zonules and Pigment Dispersion Syndrome-Variant A patient was referred for cataract evaluation with decreased vision in the right eye. The patient had a past ocular history of cataracts of both eyes, corneal scar of the right eye, and intermittent subretinal fluid in the right eye not…
Toxoplasma Papillitis
Specialty: Retina and Vitreous Diseases
Type: Online Grand Rounds
Include in Catalogue?: Yes
Presenter(s): Yasman Moshiri, MD
Faculty Discussant(s): Janet L. Davis, MD
Presenter/Faculty: Davis, Moshiri
Toxoplasma Papillitis A patient with a history of hypertension, hyperlipidemia, and COPD presented with 10 days of painless, progressive blurry vision of the right eye. On initial examination, the patient was found to have anterior chamber inflammation, vitreous inflammation, and a white retinal le…
Incipient Non-Arteritic Ischemic Optic Neuropathy
Specialty: Retina and Vitreous Diseases
Type: Online Grand Rounds
Include in Catalogue?: Yes
Presenter(s): Konica Singla, MD, MS
Faculty Discussant(s): Joshua Pasol, MD; Philip J. Rosenfeld, MD, PhD
Presenter/Faculty: Pasol, Rosenfeld, Singla
Incipient Non-Arteritic Ischemic Optic Neuropathy A patient presented for routine follow up of age related macular degeneration and was found to have incidental optic disc edema in her right eye without any decrease in vision or other visual symptoms. On further testing she had enlarged blind spot …
Pegcetacoplan Associated Exudation
Specialty: Retina and Vitreous Diseases
Type: Online Grand Rounds
Include in Catalogue?: Yes
Presenter(s): Hassan Khojasteh, MD
Faculty Discussant(s): Philip J. Rosenfeld, MD, PhD
Presenter/Faculty: Khojasteh, Rosenfeld
Pegcetacoplan Associated Exudation A patient presented with gradually decreased vision in her both eyes for several years. She had a history of multiple intravitreal aflibercept injections in her both eyes, with the last one administered 3 years ago. Her exam was notable for visual acuity of 20/50 …
Recurrent Locally Advance Morpheaform BCC
Specialty: Ocular Oncology
Type: Online Grand Rounds
Include in Catalogue?: Yes
Presenter(s): Juan S. Guerrero Rey, MD
Faculty Discussant(s): Sander R. Dubovy, MD; Sara T. Wester, MD, FACS
Presenter/Faculty: Dubovy, Guerrero, Wester
Recurrent Locally Advance Morpheaform BCC A patient presented to our clinic with a 5 month history of worsening ptosis and induration of the right upper eyelid. She had a past medical history significant for chronic UV exposure, and a previously completely excised infiltrating/morpheaform basal cel…
DSEK Interface Keratitis due to Candida
Specialty: Corneal and External Diseases
Type: Online Grand Rounds
Include in Catalogue?: Yes
Presenter(s): Matias A. Soifer, MD
Faculty Discussant(s): Guillermo Amescua, MD; Sonia H. Yoo, MD; Sander R. Dubovy, MD
Presenter/Faculty: Amescua, Dubovy, Soifer, Yoo
DSEK Interface Keratitis due to Candida We present a case report of a patient with a history of DSEK 14 months ago, who presented to our clinic with late onset interface keratitis. Confocal microscopy revealed spores, suggestive of Candida. Patient failed medical therapy with intrastromal injection…
Epithelial Downgrowth
Specialty: Cataracts and Intraocular Lenses
Type: Online Grand Rounds
Include in Catalogue?: Yes
Presenter(s): Benjamin Meyer, MD
Faculty Discussant(s): Carol L. Karp, MD
Presenter/Faculty: Karp, Meyer
Epithelial Downgrowth A patient with a history of keratoconus treated with penetrating keratoplasty, bilateral glaucoma, and cataracts underwent cataract extraction and intraocular lens implantation with iris cyst resection. Postoperatively, she developed persistent epithelial downgrowth leading to…
Pseudophakic Bullous Keratopathy, Corneal Edema
Specialty: Corneal and External Diseases
Type: Online Grand Rounds
Include in Catalogue?: Yes
Presenter(s): Benny Wong, MD
Faculty Discussant(s): Ellen Koo, MD
Presenter/Faculty: Koo, Wong
Pseudophakic Bullous Keratopathy, Corneal Edema A patient with a history of penetrating keratoplasty of both eyes, Fuchs endothelial cell dystrophy in both eyes and herpes simplex keratitis of the left eye presented with decreased vision in the right eye over the past several months. Slit lamp exam…
Pseudophakic Bullous Keratopathy
Specialty: Corneal and External Diseases
Type: Ophthalmic Images
Include in Catalogue?: Yes
Original Contributor(s): Ellen Koo, MD; Benny Wong, MD
Presenter/Faculty: Koo, Wong
Pseudophakic bullous keratopathy.
Cicatrizing Conjunctivitis Secondary to Mycobacterium Tuberculosis
Specialty: Corneal and External Diseases
Type: Online Grand Rounds
Include in Catalogue?: Yes
Presenter(s): Caroline L. Lieux, MD
Faculty Discussant(s): Guillermo Amescua, MD
Presenter/Faculty: Amescua, Lieux
Cicatrizing Conjunctivitis Secondary to Mycobacterium Tuberculosis A patient presented to the Bascom Palmer ER with chronic irritation in his right eye for 3 months. He was referred by an outside provider for possible ocular malignancy. The patient was found to have temporal symblepharon and inferi…
Global Education: Challenges in Ophthalmology
Specialty: Other
Type: Other Lectures
Include in Catalogue?: Yes
Presenter(s): Marcelo C. Ventura, MD, MS, PhD
Presenter/Faculty: Ventura
Central Serous Chorioretinopathy
Specialty: Retina and Vitreous Diseases
Type: Online Grand Rounds
Include in Catalogue?: Yes
Presenter(s): Elza Rachid, MD
Faculty Discussant(s): Luis J. Haddock, MD
Presenter/Faculty: Haddock, Rachid
Central Serous Chorioretinopathy This is a case of a young man with central serous choroidopathy (CSC) who presented for dysmorphopsia and color vision changes in the right eye. He was found to have subretinal fluid (SRF), RPE changes, pigment epithelial detachment (PED), and a thick choroid on opt…
Mixed Mechanism Glaucoma Secondary to Retained Lens Material
Specialty: Glaucoma
Type: Online Grand Rounds
Include in Catalogue?: Yes
Presenter(s): Pooja Pendri, MD
Faculty Discussant(s): Luis J. Haddock, MD; Arindel S. Maharaj, MD, PhD
Presenter/Faculty: Haddock, Maharaj, Pendri
Mixed Mechanism Glaucoma Secondary to Retained Lens Material A patient with a past ocular history of diabetic cataracts status post cataract extraction with posterior chamber intraocular lens insertion 28 years prior to presentation, proliferative diabetic retinopathy with macular edema treated wit…
West Nile Virus Chorioretinitis
Specialty: Retina and Vitreous Diseases
Type: Online Grand Rounds
Include in Catalogue?: Yes
Presenter(s): Carolina Mercado, MD
Faculty Discussant(s): Janet L. Davis, MD; Jaclyn L. Kovach, MD
Presenter/Faculty: Davis, Kovach, Mercado
West Nile Virus Chorioretinitis A patient with a recent history of meningoencephalitis presents with blurry vision and increased number of floaters noted after discharge. During hospitalization, he required IV treatment with Meropenem and Acyclovir due to unclear etiology. Past ocular history was c…
Bascom Headon Palmer Jr., MD
Specialty: Other
Type: Other Lectures
Include in Catalogue?: Yes
Presenter(s): Eduardo Alfonso, MD
Presenter/Faculty: Alfonso
West Nile Chorioretinits
Specialty: Retina and Vitreous Diseases
Type: Ophthalmic Images
Include in Catalogue?: Yes
Original Contributor(s): Janet L. Davis, MD; Jaclyn L. Kovach, MD; Carolina Mercado, MD
Presenter/Faculty: Davis, Kovach, Mercado
A patient with a history of lymphoma presents to clinic one month after encephalitis. On fundus examination scattered lineal chorioretinal scars are noted.
Bartonella Retinitis
Specialty: Retina and Vitreous Diseases
Type: Online Grand Rounds
Include in Catalogue?: Yes
Presenter(s): Shima Dehghani, MD
Faculty Discussant(s): Stephanie M. Llop, MD
Presenter/Faculty: Dehghani, Llop
Bartonella Retinitis A patient presented to the emergency department with 2 days of floaters and pain with ocular movements. He endorsed exposure to stray cats and being scratched by a kitten. Best-corrected visual acuity was 20/20 in both eyes. Anterior segment exam was unremarkable and posterior …