Vitamin A Induced Intracranial Hypertension
        Include in Catalogue?: No
    
        Vetted By: Byron L. Lam, MD
    
        Vetted Date: May 12, 2025
    
        Presenter(s): Benjamin Meyer, MD
    
        Faculty Discussant(s): Byron L. Lam, MD
    
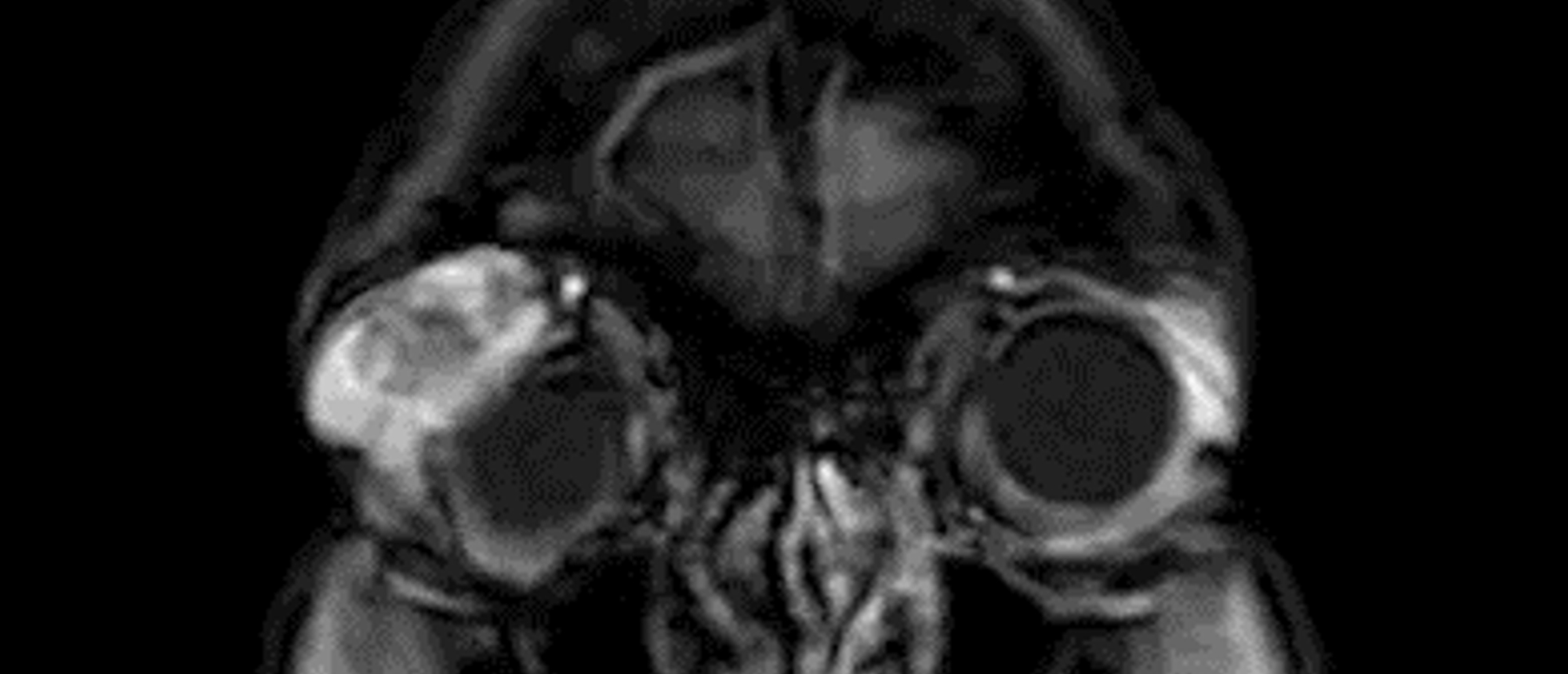
 Vitamin A Induced Intracranial Hypertension A patient was found to have acute promyelocytic leukemia and was started on all-trans-retinoic acid (ATRA). He was also noted to incidentally have bilateral papilledema and MR imaging demonstrated multiple stigmata suggestive of chronically elevated intra…
                                    
                                    Vitamin A Induced Intracranial Hypertension
Specialty: Neuro-Ophthalmology
                                    
        Type: Online Grand Rounds
    
        Include in Catalogue?: Yes
    
        Vetted By: Byron L. Lam, MD
    
        Vetted Date: May 12, 2025
    
        Presenter(s): Benjamin Meyer, MD
    
        Faculty Discussant(s): Byron L. Lam, MD
    
        Presenter/Faculty: Lam, Mayer
    
 Vitamin A Induced Intracranial Hypertension A patient was found to have acute promyelocytic leukemia and was started on all-trans-retinoic acid (ATRA). He was also noted to incidentally have bilateral papilledema and MR imaging demonstrated multiple stigmata suggestive of chronically elevated intra…
                                    
                                    Vitreous Hemorrhage
Specialty: Neuro-Ophthalmology
                                    
        Include in Catalogue?: No
    
        Presenter(s): Anne L. Kunkler, MD
    
        Faculty Discussant(s): Harry W. Flynn, Jr., MD
    
 Vitreous Hemorrhage A patient with a past medical history of hypertension presented with vision loss in the right eye for two days. His exam was notable for visual acuity of hand motions in the right eye and 20/20 in the left eye. Intraocular pressures and slit lamp exam were normal in both eyes. P…
                                    
                                    Vitreous Hemorrhage
Specialty: Retina and Vitreous Diseases
                                    
        Type: Online Grand Rounds
    
        Include in Catalogue?: Yes
    
        Presenter(s): Anne L. Kunkler, MD
    
        Faculty Discussant(s): Harry W. Flynn, Jr., MD
    
        Presenter/Faculty: Flynn, Kunkler
    
 Vitreous Hemorrhage A patient with a past medical history of hypertension presented with vision loss in the right eye for two days. His exam was notable for visual acuity of hand motions in the right eye and 20/20 in the left eye. Intraocular pressures and slit lamp exam were normal in both eyes. P…
                                    
                                    Epiretinal Membrane Peel Post IOFB
Specialty: Retina and Vitreous Diseases
                                    
        Type: Surgical Videos
    
        Include in Catalogue?: Yes
    
        Original Contributor(s): Hasenin Al-khersan, MD; Kenneth C. Fan, MD, MBA
    
        Presenter/Faculty: Al-khersan, Fan
    
Acute Syphilitic Posterior Placoid Uveitis
Specialty: Retina and Vitreous Diseases
                                    
        Include in Catalogue?: No
    
        Presenter(s): Ramsey Yusuf, MD
    
        Faculty Discussant(s): Thomas A. Albini, MD
    
 Acute Syphilitic Posterior Placoid Uveitis An adult patient presented to the Bascom Palmer emergency room for evaluation of five days of bilateral painless vision loss and floaters. On slit lamp examination he did not have any conjunctival injection or anterior chamber cell or flare. Dilated fundus…
                                    
                                    Acute Syphilitic Posterior Placoid Uveitis
Specialty: Retina and Vitreous Diseases
                                    
        Type: Online Grand Rounds
    
        Include in Catalogue?: Yes
    
        Presenter(s): Ramsey Yusuf, MD
    
        Faculty Discussant(s): Thomas A. Albini, MD
    
        Presenter/Faculty: Albini, Yusuf
    
 Acute Syphilitic Posterior Placoid Uveitis An adult patient presented to the Bascom Palmer emergency room for evaluation of five days of bilateral painless vision loss and floaters. On slit lamp examination he did not have any conjunctival injection or anterior chamber cell or flare. Dilated fundus…
                                    
                                    Cytomegalovirus Anterior Uveitis
Specialty: Retina and Vitreous Diseases
                                    
        Include in Catalogue?: No
    
        Vetted By: Anat Galor, MD, MSPH
    
        Vetted Date: April 22, 2025
    
        Presenter(s): Yasman Moshiri, MD
    
        Faculty Discussant(s): Anat Galor, MD, MSPH
    
 Cytomegalovirus Anterior Uveitis A patient presented with acute blurry vision, foreign-body sensation, and elevated intraocular pressure in the left eye. On examination, he had evidence of chronic intraocular inflammation including keratic precipitates, He had experienced similar episodes periodica…
                                    
                                    Cytomegalovirus Anterior Uveitis
Specialty: Uveitis
                                    
        Type: Online Grand Rounds
    
        Include in Catalogue?: Yes
    
        Vetted By: Anat Galor, MD, MSPH
    
        Vetted Date: April 22, 2025
    
        Presenter(s): Yasman Moshiri, MD
    
        Faculty Discussant(s): Anat Galor, MD, MSPH
    
        Presenter/Faculty: Galor, Moshiri
    
 Cytomegalovirus Anterior Uveitis A patient presented with acute blurry vision, foreign-body sensation, and elevated intraocular pressure in the left eye. On examination, he had evidence of chronic intraocular inflammation including keratic precipitates, He had experienced similar episodes periodica…
                                    
                                    Smooth Muscle Hamartoma
Specialty: Uveitis
                                    
        Include in Catalogue?: No
    
        Presenter(s): Yoseph Sayegh, MD
    
        Faculty Discussant(s): Nathan W. Blessing, MD; Sander R. Dubovy, MD
    
 Smooth Muscle Hamartoma Our patient presented due to a one-year history of a slowly growing conjunctival lesion. A large, red, non-tender lesion of the right bulbar conjunctiva was identified on examination. It did not improve after several weeks of medical management with steroids. He had no previ…
                                    
                                    Smooth Muscle Hamartoma
Specialty: Corneal and External Diseases
                                    
        Type: Online Grand Rounds
    
        Include in Catalogue?: Yes
    
        Presenter(s): Yoseph Sayegh, MD
    
        Faculty Discussant(s): Nathan W. Blessing, MD; Sander R. Dubovy, MD
    
        Presenter/Faculty: Blessing, Dubovy, Sayegh
    
 Smooth Muscle Hamartoma Our patient presented due to a one-year history of a slowly growing conjunctival lesion. A large, red, non-tender lesion of the right bulbar conjunctiva was identified on examination. It did not improve after several weeks of medical management with steroids. He had no previ…
                                    
                                    Hereditary Transthyretin Amyloidosis (hATTR)
Specialty: Corneal and External Diseases
                                    
        Include in Catalogue?: No
    
        Presenter(s): Julia L. Hudson, MD
    
        Faculty Discussant(s): Janet L. Davis, MD
    
 Hereditary Transthyretin Amyloidosis (hATTR) This report describes a case of hereditary transthyretin amyloidosis (hATTR) in an elderly patient who presented with bilateral retinal arteriolar vascular sheathing and vitreous hemorrhage in one eye. The patient underwent a full history, physical exam,…
                                    
                                    Hereditary Transthyretin Amyloidosis (hATTR)
Specialty: Retina and Vitreous Diseases
                                    
        Type: Online Grand Rounds
    
        Include in Catalogue?: Yes
    
        Presenter(s): Julia L. Hudson, MD
    
        Faculty Discussant(s): Janet L. Davis, MD
    
        Presenter/Faculty: Davis, Hudson
    
 Hereditary Transthyretin Amyloidosis (hATTR) This report describes a case of hereditary transthyretin amyloidosis (hATTR) in an elderly patient who presented with bilateral retinal arteriolar vascular sheathing and vitreous hemorrhage in one eye. The patient underwent a full history, physical exam,…
                                    
                                    Retinal Tear in a Fellow Eye
Specialty: Retina and Vitreous Diseases
                                    
        Include in Catalogue?: No
    
        Presenter(s): Jesse D. Sengillo, MD
    
        Faculty Discussant(s): Jayanth Sridhar, MD
    
 Retinal Tear in a Fellow Eye A patient presented to Bascom Palmer Eye Institute for routine post operative follow-up after rhegmatogenous retinal detachment repair of the right eye one month prior. Best corrected visual acuity was 20/60 in the right eye and 20/20 in the left eye. Intraocular pressu…
                                    
                                    Retinal Tear in a Fellow Eye
Specialty: Retina and Vitreous Diseases
                                    
        Type: Online Grand Rounds
    
        Include in Catalogue?: Yes
    
        Presenter(s): Jesse D. Sengillo, MD
    
        Faculty Discussant(s): Jayanth Sridhar, MD
    
        Presenter/Faculty: Sengillo, Sridhar
    
 Retinal Tear in a Fellow Eye A patient presented to Bascom Palmer Eye Institute for routine post operative follow-up after rhegmatogenous retinal detachment repair of the right eye one month prior. Best corrected visual acuity was 20/60 in the right eye and 20/20 in the left eye. Intraocular pressu…
                                    
                                    CMV Retinitis
Specialty: Retina and Vitreous Diseases
                                    
        Include in Catalogue?: No
    
        Presenter(s): Akaanksh Shetty, MD
    
        Faculty Discussant(s): Jayanth Sridhar, MD
    
 CMV Retinitis A patient with a past ocular history of POAG s/p phaco/trab OD and BGI OS, and ERM OS with macular edema OS receiving intravitreal Dexamethasone injections since 2017 presented with left eye redness, decreased VA, and pain for 4 days. He reported no history of trauma, no recent hospit…
                                    
                                    CMV Retinitis
Specialty: Retina and Vitreous Diseases
                                    
        Type: Online Grand Rounds
    
        Include in Catalogue?: Yes
    
        Presenter(s): Akaanksh Shetty, MD
    
        Faculty Discussant(s): Jayanth Sridhar, MD
    
        Presenter/Faculty: Shetty, Sridhar
    
 CMV Retinitis A patient with a past ocular history of POAG s/p phaco/trab OD and BGI OS, and ERM OS with macular edema OS receiving intravitreal Dexamethasone injections since 2017 presented with left eye redness, decreased VA, and pain for 4 days. He reported no history of trauma, no recent hospit…
                                    
                                    Endophthalmitis
Specialty: Retina and Vitreous Diseases
                                    
        Include in Catalogue?: No
    
        Presenter(s): Patrick Staropoli, MD
    
        Faculty Discussant(s): Harry W. Flynn, Jr., MD
    
 Endophthalmitis This is a case of a patient with post-operative light sensitivity 3 days after cataract extraction in the context of not beginning prednisolone drops. The initial vision was 20/25 with a mild fibrinous reaction on the lens and anterior chamber cell. The differential included post-op…
                                    
                                    Endophthalmitis
Specialty: Retina and Vitreous Diseases
                                    
        Type: Online Grand Rounds
    
        Include in Catalogue?: Yes
    
        Presenter(s): Patrick Staropoli, MD
    
        Faculty Discussant(s): Harry W. Flynn, Jr., MD
    
        Presenter/Faculty: Flynn, Staropoli
    
 Endophthalmitis This is a case of a patient with post-operative light sensitivity 3 days after cataract extraction in the context of not beginning prednisolone drops. The initial vision was 20/25 with a mild fibrinous reaction on the lens and anterior chamber cell. The differential included post-op…
                                    
                                    Idiopathic Intracranial Hypertension with Secondary Choroidal Neovascular Membrane
Specialty: Retina and Vitreous Diseases
                                    
        Include in Catalogue?: No
    
        Presenter(s): Landon J. Rohowetz, MD
    
        Faculty Discussant(s): Carlos E. Mendoza Santiesteban, MD; Nicolas A. Yannuzzi, MD
    
 Idiopathic Intracranial Hypertension with Secondary Choroidal Neovascular Membrane A patient with no past ocular history presented to the emergency department complaining of floaters in the left eye for 4 days. Exam was notable for visual acuity of 20/20 in the right eye and 20/25 in the left eye. …