Optogenetic Vision Restoration
Specialty: Other
Type: Other Lectures
Include in Catalogue?: Yes
Presenter(s): Gary W. Abrams, MD
Presenter/Faculty: Abrams
Retinal Detachment Associated with Retinal Dialysis
Specialty: Other
Include in Catalogue?: No
Presenter(s): Landon J. Rohowetz, MD, MA
Faculty Discussant(s): Harry W. Flynn, Jr., MD
Abstract A soccer player presented to the Bascom Palmer Emergency Department after failing a driver’s test. Past medical history was unremarkable. Exam was notable for visual acuity of 20/20 in the right eye and 20/300 in the left eye. Intraocular pressures were 21 and 19 mm Hg in the right and l…
Retinal Detachment Associated with Retinal Dialysis
Specialty: Other
Include in Catalogue?: No
Presenter(s): Landon J. Rohowetz, MD, MA
Faculty Discussant(s): Harry W. Flynn, Jr., MD
Retinal Detachment Associated with Retinal Dialysis A soccer player presented to the Bascom Palmer Emergency Department after failing a driver’s test. Past medical history was unremarkable. Exam was notable for visual acuity of 20/20 in the right eye and 20/300 in the left eye. Intraocular pressu…
Retinal Detachment Associated with Retinal Dialysis
Specialty: Retina and Vitreous Diseases
Type: Online Grand Rounds
Include in Catalogue?: Yes
Presenter(s): Landon J. Rohowetz, MD, MA
Faculty Discussant(s): Harry W. Flynn, Jr., MD
Presenter/Faculty: Flynn, Rohowetz
Retinal Detachment Associated with Retinal Dialysis A soccer player presented to the Bascom Palmer Emergency Department after failing a driver’s test. Past medical history was unremarkable. Exam was notable for visual acuity of 20/20 in the right eye and 20/300 in the left eye. Intraocular pressu…
Macular Telangiectasia Type 1 - Torpedo Maculopathy
Specialty: Retina and Vitreous Diseases
Include in Catalogue?: No
Presenter(s): Georges Sukkarieh, MD
Faculty Discussant(s): Jorge Fortun, MD; Luis J. Haddock, MD
Abstract This is a case of a middle-aged man presenting with a decrease in vision in his left eye for a period of 2 months. On fundus examination the patient presented with a pigmented macular asymptomatic lesion in the right eye and vascular telangiectasias with exudates in the perifoveal area and…
Macular Telangiectasia Type 1 - Torpedo Maculopathy
Specialty: Retina and Vitreous Diseases
Include in Catalogue?: No
Presenter(s): Georges Sukkarieh, MD
Faculty Discussant(s): Jorge Fortun, MD; Luis J. Haddock, MD
Macular Telangiectasia Type 1 - Torpedo Maculopathy This is a case of a middle-aged man presenting with a decrease in vision in his left eye for a period of 2 months. On fundus examination the patient presented with a pigmented macular asymptomatic lesion in the right eye and vascular telangiectasi…
Macular Telangiectasia Type 1 - Torpedo Maculopathy
Specialty: Retina and Vitreous Diseases
Type: Online Grand Rounds
Include in Catalogue?: Yes
Presenter(s): Georges Sukkarieh, MD
Faculty Discussant(s): Jorge Fortun, MD; Luis J. Haddock, MD
Presenter/Faculty: Fortun, Haddock, Sukkarieh
Macular Telangiectasia Type 1 - Torpedo Maculopathy This is a case of a middle-aged man presenting with a decrease in vision in his left eye for a period of 2 months. On fundus examination the patient presented with a pigmented macular asymptomatic lesion in the right eye and vascular telangiectasi…
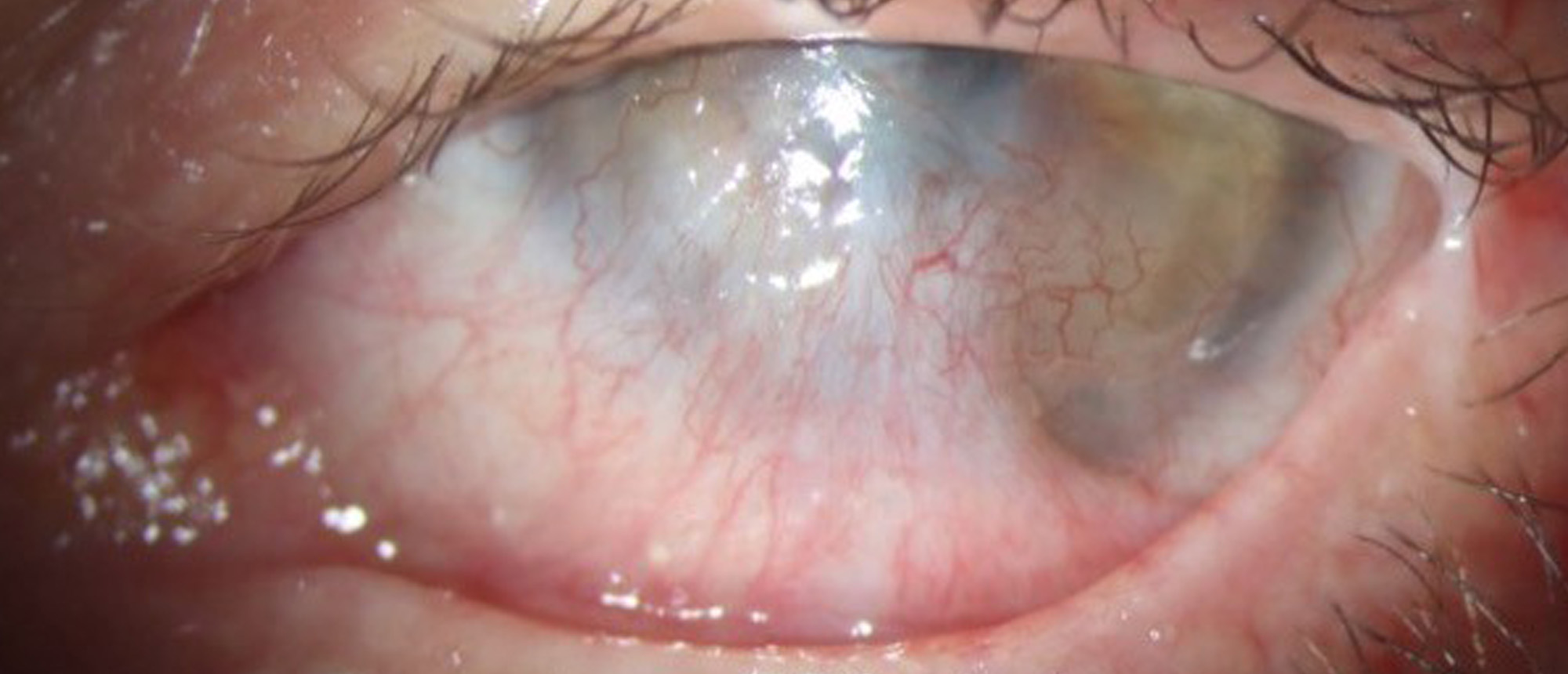
Post-LASIK Infectious Keratitis
Specialty: Retina and Vitreous Diseases
Include in Catalogue?: No
Presenter(s): Jonathan Yi, MD
Faculty Discussant(s): Sonia H. Yoo, MD
Abstract A healthy patient with prior history of LASIK OU presents with acute-onset decreased vision and eye pain in the left eye. On presentation, patient’s exam was notable for visual acuity of 20/20 in the right eye and 20/60 in the left eye. Intraocular pressure was 11 and 15 in the right and…
Post-LASIK Infectious Keratitis
Specialty: Retina and Vitreous Diseases
Include in Catalogue?: No
Presenter(s): Jonathan Yi, MD
Faculty Discussant(s): Sonia H. Yoo, MD
Post-LASIK Infectious Keratitis A healthy patient with prior history of LASIK OU presents with acute-onset decreased vision and eye pain in the left eye. On presentation, patient’s exam was notable for visual acuity of 20/20 in the right eye and 20/60 in the left eye. Intraocular pressure was 11 …
Post-LASIK Infectious Keratitis
Specialty: Corneal and External Diseases
Type: Online Grand Rounds
Include in Catalogue?: Yes
Presenter(s): Jonathan Yi, MD
Faculty Discussant(s): Sonia H. Yoo, MD
Presenter/Faculty: Yi, Yoo
Post-LASIK Infectious Keratitis A healthy patient with prior history of LASIK OU presents with acute-onset decreased vision and eye pain in the left eye. On presentation, patient’s exam was notable for visual acuity of 20/20 in the right eye and 20/60 in the left eye. Intraocular pressure was 11 …
Toxoplasma Chorioretinitis of Left Eye
Specialty: Corneal and External Diseases
Include in Catalogue?: No
Presenter(s): Araniko Pandey, MD, MBBS
Faculty Discussant(s): Thomas A. Albini, MD
Abstract An elderly patient presented with painless decreased vision in the left eye for 1 week while on chemotherapy for stage 3 non-metastatic breast cancer. A review of systems showed a recent foot infection and fungal dermatitis. Prior to presentation, the patient was treated elsewhere for acut…
Toxoplasma Chorioretinitis of Left Eye
Specialty: Corneal and External Diseases
Include in Catalogue?: No
Presenter(s): Araniko Pandey, MD, MBBS
Faculty Discussant(s): Thomas A. Albini, MD
Toxoplasma Chorioretinitis of Left Eye An elderly patient presented with painless decreased vision in the left eye for 1 week while on chemotherapy for stage 3 non-metastatic breast cancer. A review of systems showed a recent foot infection and fungal dermatitis. Prior to presentation, the patient …
Toxoplasma Chorioretinitis of Left Eye
Specialty: Retina and Vitreous Diseases
Type: Online Grand Rounds
Include in Catalogue?: Yes
Presenter(s): Araniko Pandey, MD, MBBS
Faculty Discussant(s): Thomas A. Albini, MD
Presenter/Faculty: Albini, Pandey
Toxoplasma Chorioretinitis of Left Eye An elderly patient presented with painless decreased vision in the left eye for 1 week while on chemotherapy for stage 3 non-metastatic breast cancer. A review of systems showed a recent foot infection and fungal dermatitis. Prior to presentation, the patient …
Sequential Ultrawide Field Fundus Photo, Left Eye
Specialty: Retina and Vitreous Diseases
Type: Ophthalmic Images
Include in Catalogue?: Yes
Original Contributor(s): Thomas A. Albini, MD; Araniko Pandey, MD, MBBS
Presenter/Faculty: Albini, Pandey
A patient with atypical presentation of toxoplasma chorioretinitis. Ultra wide field color fundus photograph showing a peripheral retinal whitening with patchy areas of active inflammation underlying a grade 2 vitreous haze in the left eye at presentation. The patient was initially suspected of acu…
Familial Exudative Vitreoretinopathy
Specialty: Retina and Vitreous Diseases
Include in Catalogue?: No
Presenter(s): Jason C. Fan, MD, PhD
Faculty Discussant(s): Audina M. Berrocal, MD; Abigail S. Hackam, PhD
Abstract A child presents to the retina clinic for exotropia. He has no relevant past birth, medical or family history, except that his maternal uncle was blind. His anterior segment exam is normal. Macular dragging with straightening of vessels is noted in the left eye. Genetic testing is initiall…
Familial Exudative Vitreoretinopathy
Specialty: Retina and Vitreous Diseases
Include in Catalogue?: No
Presenter(s): Jason C. Fan, MD, PhD
Faculty Discussant(s): Audina M. Berrocal, MD; Abigail S. Hackam, PhD
Familial Exudative Vitreoretinopathy A child presents to the retina clinic for exotropia. He has no relevant past birth, medical or family history, except that his maternal uncle was blind. His anterior segment exam is normal. Macular dragging with straightening of vessels is noted in the left eye.…
Familial Exudative Vitreoretinopathy
Specialty: Retina and Vitreous Diseases
Type: Online Grand Rounds
Include in Catalogue?: Yes
Presenter(s): Jason C. Fan, MD, PhD
Faculty Discussant(s): Audina M. Berrocal, MD; Abigail S. Hackam, PhD
Presenter/Faculty: Berrocal, Fan, Hackam
Familial Exudative Vitreoretinopathy A child presents to the retina clinic for exotropia. He has no relevant past birth, medical or family history, except that his maternal uncle was blind. His anterior segment exam is normal. Macular dragging with straightening of vessels is noted in the left eye.…
Human T-lymphotropic Virus Type-1 Associated Adult T-Cell Lymphoma with Vitreoretinal Infiltration
Specialty: Retina and Vitreous Diseases
Include in Catalogue?: No
Presenter(s): Viet Chau, MD
Faculty Discussant(s): Thomas A. Albini, MD
Abstract Our patient with a history of HTLV-1 related lymphoma who was in remission for several years presented with decreased vision in the right eye for about 1 week. Initial visual acuity was 20/50 in the right eye and 20/25 in the left eye. Posterior segment exam revealed signs of severe vascul…
Human T-lymphotropic Virus Type-1 Associated Adult T-Cell Lymphoma with Vitreoretinal Infiltration
Specialty: Retina and Vitreous Diseases
Include in Catalogue?: No
Presenter(s): Viet Chau, MD
Faculty Discussant(s): Thomas A. Albini, MD
Human T-lymphotropic Virus Type-1 Associated Adult T-Cell Lymphoma with Vitreoretinal Infiltration Our patient with a history of HTLV-1 related lymphoma who was in remission for several years presented with decreased vision in the right eye for about 1 week. Initial visual acuity was 20/50 in the r…
Human T-lymphotropic Virus Type-1 Associated Adult T-Cell Lymphoma with Vitreoretinal Infiltration
Specialty: Retina and Vitreous Diseases
Type: Online Grand Rounds
Include in Catalogue?: Yes
Presenter(s): Viet Chau, MD
Faculty Discussant(s): Thomas A. Albini, MD
Presenter/Faculty: Albini, Chau
Human T-lymphotropic Virus Type-1 Associated Adult T-Cell Lymphoma with Vitreoretinal Infiltration Our patient with a history of HTLV-1 related lymphoma who was in remission for several years presented with decreased vision in the right eye for about 1 week. Initial visual acuity was 20/50 in the r…