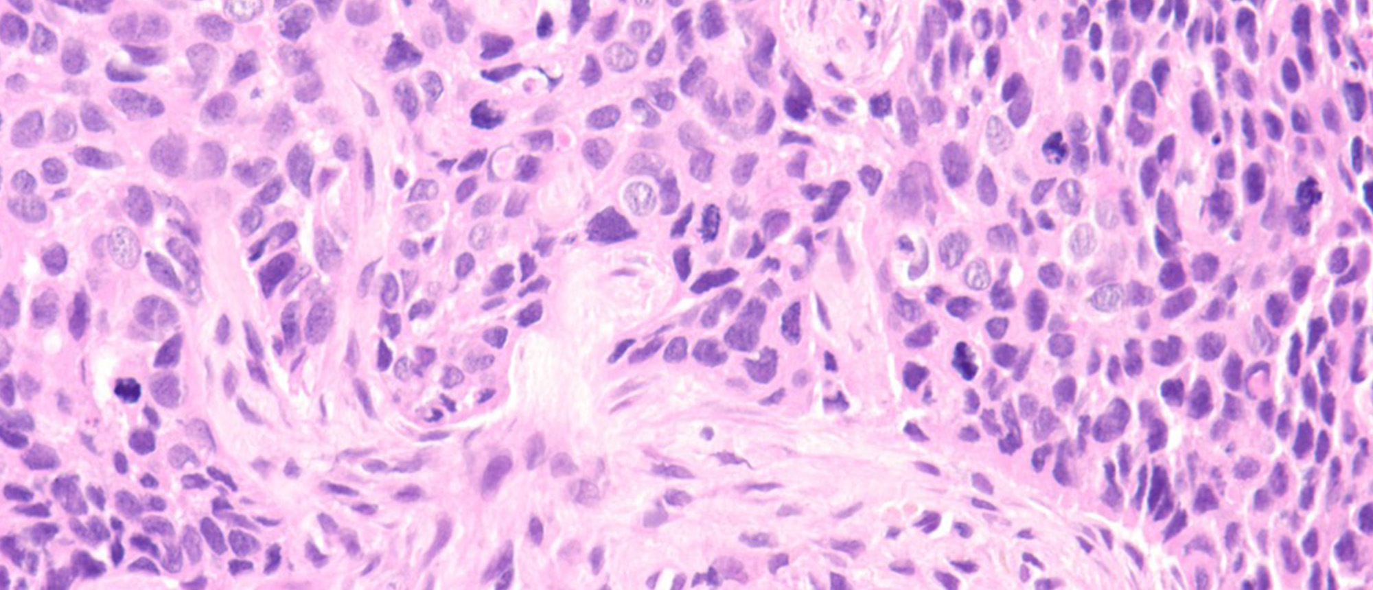
Squamous Cell Carcinoma of the Lacrimal Sac
Specialty: Ocular Oncology
Type: Online Grand Rounds
Include in Catalogue?: Yes
Presenter(s): Juan S. Guerrero Rey, MD
Faculty Discussant(s): Sander R. Dubovy, MD; Andrew J. Rong, MD
Presenter/Faculty: Dubovy, Rey, Rong
Squamous Cell Carcinoma of the Lacrimal Sac A patient presented to the emergency department for a history of tearing on the right eye and medial canthal mass. He had a history of chronic sinus pain for months, initial examination was notable for increased tear lake on the right eye, along with an i…
Best of Reality Glaucoma: A Glaucoma Symposium
Specialty: Glaucoma
Type: Other Lectures
Include in Catalogue?: Yes
Original Contributor(s): Ta Chen Peter Chang, MD; Luis E. Vazquez, MD, PhD; Sarah Wellik, MD
Presenter/Faculty: Chang, Vazquez, Wellik
Applications and Advances in High Resolution Retinal Imaging
Specialty: Retina and Vitreous Diseases
Type: Other Lectures
Include in Catalogue?: Yes
Presenter(s): Joseph Carroll, PhD
Presenter/Faculty: Carroll
Choroidal Granuloma from Presumed Ocular Tuberculosis
Specialty: Retina and Vitreous Diseases
Include in Catalogue?: No
Presenter(s): Ramsey Yusuf, MD
Faculty Discussant(s): Stephanie M. Llop, MD
Abstract An adult patient presented to the Bascom Palmer emergency room with 1 year of vision loss in the right eye and 3 months of vision loss in the left eye. She lived outside the United States in a country where tuberculosis was non-endemic, however worked on a cruise ship for several years. Sh…
Choroidal Granuloma from Presumed Ocular Tuberculosis
Specialty: Retina and Vitreous Diseases
Include in Catalogue?: No
Presenter(s): Ramsey Yusuf, MD
Faculty Discussant(s): Stephanie M. Llop, MD
Choroidal Granuloma from Presumed Ocular Tuberculosis An adult patient presented to the Bascom Palmer emergency room with 1 year of vision loss in the right eye and 3 months of vision loss in the left eye. She lived outside the United States in a country where tuberculosis was non-endemic, however …
Choroidal Granuloma from Presumed Ocular Tuberculosis
Specialty: Uveitis
Type: Online Grand Rounds
Include in Catalogue?: Yes
Presenter(s): Ramsey Yusuf, MD
Faculty Discussant(s): Stephanie M. Llop, MD
Presenter/Faculty: Llop, Yusuf
Choroidal Granuloma from Presumed Ocular Tuberculosis An adult patient presented to the Bascom Palmer emergency room with 1 year of vision loss in the right eye and 3 months of vision loss in the left eye. She lived outside the United States in a country where tuberculosis was non-endemic, however …
Paracentral Acute Middle Maculopathy (PAMM) Associated with Antiphospholipid Antibody Syndrome and Impending Central Retinal Vein Occlusion
Specialty: Uveitis
Include in Catalogue?: No
Presenter(s): Maura Abraham, MD
Faculty Discussant(s): Philip J. Rosenfeld, MD, PhD
Abstract We report a case of paracentral acute middle maculopathy (PAMM) associated antiphospholipid antibody syndrome, and impending central retinal vein occlusion (CRVO). A patient with a medical history of iron deficiency anemia, polycystic ovarian syndrome (PCOS), Class 3 severe obesity, insomn…
Paracentral Acute Middle Maculopathy (PAMM) Associated with Antiphospholipid Antibody Syndrome and Impending Central Retinal Vein Occlusion
Specialty: Uveitis
Include in Catalogue?: No
Presenter(s): Maura Abraham, MD
Faculty Discussant(s): Philip J. Rosenfeld, MD, PhD
Paracentral Acute Middle Maculopathy (PAMM) Associated with Antiphospholipid Antibody Syndrome and Impending Central Retinal Vein Occlusion We report a case of paracentral acute middle maculopathy (PAMM) associated antiphospholipid antibody syndrome, and impending central retinal vein occlusion (CR…
Paracentral Acute Middle Maculopathy (PAMM) Associated with Antiphospholipid Antibody Syndrome and Impending Central Retinal Vein Occlusion
Specialty: Retina and Vitreous Diseases
Type: Online Grand Rounds
Include in Catalogue?: Yes
Presenter(s): Maura Abraham, MD
Faculty Discussant(s): Philip J. Rosenfeld, MD, PhD
Presenter/Faculty: Abraham, Rosenfeld
Paracentral Acute Middle Maculopathy (PAMM) Associated with Antiphospholipid Antibody Syndrome and Impending Central Retinal Vein Occlusion We report a case of paracentral acute middle maculopathy (PAMM) associated antiphospholipid antibody syndrome, and impending central retinal vein occlusion (CR…
Enlarged Tube-Shunt Bleb After Glaucoma Tube Shunt Implantation
Specialty: Retina and Vitreous Diseases
Include in Catalogue?: No
Presenter(s): Vikram Paranjpe, MD
Faculty Discussant(s): Elena Bitrian, MD
Abstract A middle-aged patient with a past ocular history of a congenital cataract in the left eye, status-post cataract extraction without intraocular lens placement as child, subsequent iris-sutured intraocular lens placement in 2018, and multiple failed endothelial keratoplasties (2019 and 2022)…
Enlarged Tube-Shunt Bleb After Glaucoma Tube Shunt Implantation
Specialty: Retina and Vitreous Diseases
Include in Catalogue?: No
Presenter(s): Vikram Paranjpe, MD
Faculty Discussant(s): Elena Bitrian, MD
Enlarged Tube-Shunt Bleb After Glaucoma Tube Shunt Implantation A middle-aged patient with a past ocular history of a congenital cataract in the left eye, status-post cataract extraction without intraocular lens placement as child, subsequent iris-sutured intraocular lens placement in 2018, and mul…
Enlarged Tube-Shunt Bleb After Glaucoma Tube Shunt Implantation
Specialty: Glaucoma
Type: Online Grand Rounds
Include in Catalogue?: Yes
Presenter(s): Vikram Paranjpe, MD
Faculty Discussant(s): Elena Bitrian, MD
Presenter/Faculty: Bitrian, Paranjpe
Enlarged Tube-Shunt Bleb After Glaucoma Tube Shunt Implantation A middle-aged patient with a past ocular history of a congenital cataract in the left eye, status-post cataract extraction without intraocular lens placement as child, subsequent iris-sutured intraocular lens placement in 2018, and mul…
Bleb Drainage
Specialty: Glaucoma
Type: Surgical Videos
Include in Catalogue?: Yes
Original Contributor(s): Elena Bitrian, MD; Vikram Paranjpe, MD
Presenter/Faculty: Bitrian, Paranjpe
Myopic Traction Maculopathy
Specialty: Glaucoma
Include in Catalogue?: No
Presenter(s): Elza Rachid, MD
Faculty Discussant(s): Jorge Fortun, MD
Abstract This is a case of an elderly woman with pathologic myopia referred for asymptomatic worsening macular schisis in the right eye on optical coherence tomography (OCT). Fundus examination showed pathologic myopia and a posterior pole staphyloma. She was diagnosed with myopic tractional maculo…
Myopic Traction Maculopathy
Specialty: Glaucoma
Include in Catalogue?: No
Presenter(s): Elza Rachid, MD
Faculty Discussant(s): Jorge Fortun, MD
Myopic Traction Maculopathy This is a case of an elderly woman with pathologic myopia referred for asymptomatic worsening macular schisis in the right eye on optical coherence tomography (OCT). Fundus examination showed pathologic myopia and a posterior pole staphyloma. She was diagnosed with myopi…
Myopic Traction Maculopathy
Specialty: Retina and Vitreous Diseases
Type: Online Grand Rounds
Include in Catalogue?: Yes
Presenter(s): Elza Rachid, MD
Faculty Discussant(s): Jorge Fortun, MD
Presenter/Faculty: Fortun, Rachid
Myopic Traction Maculopathy This is a case of an elderly woman with pathologic myopia referred for asymptomatic worsening macular schisis in the right eye on optical coherence tomography (OCT). Fundus examination showed pathologic myopia and a posterior pole staphyloma. She was diagnosed with myopi…
Retinal Remodeling Triggered by Photoreceptor Loss Corrupts Vision: An Inconvenient Truth and a Hopeful Solution
Specialty: Retina and Vitreous Diseases
Type: Other Lectures
Include in Catalogue?: Yes
Presenter(s): Richard H. Kramer, PhD
Presenter/Faculty: Kramer
Cyclodialysis Cleft After Atent Implantation
Specialty: Retina and Vitreous Diseases
Include in Catalogue?: No
Presenter(s): Javier Nahmias, MD
Faculty Discussant(s): Arindel S. Maharaj, MD, PhD
Abstract Patient with history of primary open angle glaucoma presented with persistent hyphema and hypotony after combined cataract surgery and implantation of a stent. Vision on presentation was hand motion with an intraocular pressure of 6. Exam was notable for 80% hyphema. B-scan showed vitreous…
Cyclodialysis Cleft After Atent Implantation
Specialty: Retina and Vitreous Diseases
Include in Catalogue?: No
Presenter(s): Javier Nahmias, MD
Faculty Discussant(s): Arindel S. Maharaj, MD, PhD
Cyclodialysis Cleft After Atent Implantation Patient with history of primary open angle glaucoma presented with persistent hyphema and hypotony after combined cataract surgery and implantation of a stent. Vision on presentation was hand motion with an intraocular pressure of 6. Exam was notable for…
Cyclodialysis Cleft After Atent Implantation
Specialty: Glaucoma
Type: Online Grand Rounds
Include in Catalogue?: Yes
Presenter(s): Javier Nahmias, MD
Faculty Discussant(s): Arindel S. Maharaj, MD, PhD
Presenter/Faculty: Maharaj, Nahmias
Cyclodialysis Cleft After Atent Implantation Patient with history of primary open angle glaucoma presented with persistent hyphema and hypotony after combined cataract surgery and implantation of a stent. Vision on presentation was hand motion with an intraocular pressure of 6. Exam was notable for…