Idiopathic Intracranial Hypertension with Secondary Choroidal Neovascular Membrane
Specialty: Neuro-Ophthalmology
                                    
        Type: Online Grand Rounds
    
        Include in Catalogue?: Yes
    
        Presenter(s): Landon J. Rohowetz, MD
    
        Faculty Discussant(s): Carlos E. Mendoza Santiesteban, MD; Nicolas A. Yannuzzi, MD
    
        Presenter/Faculty: Mendoza Santiesteban, Rohowetz, Yannuzzi
    
 Idiopathic Intracranial Hypertension with Secondary Choroidal Neovascular Membrane A patient with no past ocular history presented to the emergency department complaining of floaters in the left eye for 4 days. Exam was notable for visual acuity of 20/20 in the right eye and 20/25 in the left eye. …
                                    
                                    Intraorbital Foreign Body
Specialty: Neuro-Ophthalmology
                                    
        Include in Catalogue?: No
    
        Vetted By: Andrew J. Rong, MD
    
        Vetted Date: May 23, 2025
    
        Presenter(s): Shanlee M. Stevens, MD
    
        Faculty Discussant(s): Andrew J. Rong, MD
    
 Intraorbital Foreign Body A patient presented with right eye redness, swelling, and diplopia for 6 weeks after a dirt bike accident, where his right eye hit a tree branch. He underwent imaging and evaluation at an outside institution which revealed orbital fractures, but no evidence of an orbital f…
                                    
                                    Intraorbital Foreign Body
        Type: Online Grand Rounds
    
        Include in Catalogue?: Yes
    
        Vetted By: Andrew J. Rong, MD
    
        Vetted Date: May 23, 2025
    
        Presenter(s): Shanlee M. Stevens, MD
    
        Faculty Discussant(s): Andrew J. Rong, MD
    
        Presenter/Faculty: Rong, Stevens
    
 Intraorbital Foreign Body A patient presented with right eye redness, swelling, and diplopia for 6 weeks after a dirt bike accident, where his right eye hit a tree branch. He underwent imaging and evaluation at an outside institution which revealed orbital fractures, but no evidence of an orbital f…
                                    
                                    Iridocorneal Endothelial Syndrome, Cogan-Reese/Iris Nevus Syndrome Subtype with Secondary Angle Closure Glaucoma
        Include in Catalogue?: No
    
        Presenter(s): Jonathan D. Tijerina, MD, MA
    
        Faculty Discussant(s): Guillermo Amescua, MD; Elena Bitrian, MD
    
 Iridocorneal Endothelial (ICE) Syndrome, Cogan-Reese/Iris Nevus Syndrome Subtype with Secondary Angle Closure Glaucoma A patient presented with a 3-day history of unilateral worsening eye pain, blurry vision and irregular pupil in the right eye. Found to have elevated IOP at an outside facility and…
                                    
                                    Iridocorneal Endothelial Syndrome, Cogan-Reese/Iris Nevus Syndrome Subtype with Secondary Angle Closure Glaucoma
Specialty: Corneal and External Diseases
                                    
        Type: Online Grand Rounds
    
        Include in Catalogue?: Yes
    
        Presenter(s): Jonathan D. Tijerina, MD, MA
    
        Faculty Discussant(s): Guillermo Amescua, MD; Elena Bitrian, MD
    
        Presenter/Faculty: Amescua, Bitrian, Tijerina
    
 Iridocorneal Endothelial (ICE) Syndrome, Cogan-Reese/Iris Nevus Syndrome Subtype with Secondary Angle Closure Glaucoma A patient presented with a 3-day history of unilateral worsening eye pain, blurry vision and irregular pupil in the right eye. Found to have elevated IOP at an outside facility and…
                                    
                                    Idiopathic Intracranial Hypertension Complicated by Peripapillary Choroidal Neovascular Membrane Formation
Specialty: Neuro-Ophthalmology
                                    
        Type: Ophthalmic Images
    
        Include in Catalogue?: Yes
    
        Original Contributor(s): Carlos E. Mendoza Santiesteban, MD; Landon J. Rohowetz, MD; Nicolas A. Yannuzzi, MD
    
        Presenter/Faculty: Mendoza, Rohowetz, Yannuzzi
    
Fundus photo demonstrating grade 1 optic nerve head edema in the right eye and grade 3 optic nerve head edema in the left eye. The left eye also demonstrates retinal folds, subretinal hemorrhage, and leakage on fluorescein angiography consistent with a choroidal neovascular membrane.
Iridocorneal Endothelial (ICE) Syndrome, Cogan-Reese/Iris Nevus Syndrome Subtype
Specialty: Corneal and External Diseases
                                    
        Type: Ophthalmic Images
    
        Include in Catalogue?: Yes
    
        Original Contributor(s): Guillermo Amescua, MD; Elena Bitrian, MD; Jonathan D. Tijerina, MD, MA
    
        Presenter/Faculty: Amescua, Bitrian, Tijerina
    
Slit lamp examination discloses corneal endothelial irregularity, trace MCCE, iridocorneal touch with high PAS at 1:00, 3:00, 6:00 and 9:30, pigmented nodules, and correctopia in the right eye.
Lisch Corneal Dystrophy
Specialty: Corneal and External Diseases
                                    
        Include in Catalogue?: No
    
        Vetted By: Carol L. Karp, MD
    
        Vetted Date: June 21, 2025
    
        Presenter(s): Lily Zhang, MD
    
        Faculty Discussant(s): Sander R. Dubovy, MD; Carol L. Karp, MD
    
 Lisch Corneal Dystrophy A patient presented with blurry vision in the left eye and was found to have a pigmented superficial corneal lesion which showed hyperreflectivity without thickening on the AS-OCT. The lesion was biopsied and confirmed to be Lisch corneal dystrophy on pathology. The lesion r…
                                    
                                    Lisch Corneal Dystrophy
Specialty: Corneal and External Diseases
                                    
        Type: Online Grand Rounds
    
        Include in Catalogue?: Yes
    
        Vetted By: Carol L. Karp, MD
    
        Vetted Date: June 21, 2025
    
        Presenter(s): Lily Zhang, MD
    
        Faculty Discussant(s): Sander R. Dubovy, MD; Carol L. Karp, MD
    
        Presenter/Faculty: Dubovy, Karp, Zhang
    
 Lisch Corneal Dystrophy A patient presented with blurry vision in the left eye and was found to have a pigmented superficial corneal lesion which showed hyperreflectivity without thickening on the AS-OCT. The lesion was biopsied and confirmed to be Lisch corneal dystrophy on pathology. The lesion r…
                                    
                                    Orbital Sarcoidosis
Specialty: Corneal and External Diseases
                                    
        Include in Catalogue?: No
    
        Presenter(s): Lauren C. Kiryakoza, MD
    
        Faculty Discussant(s): Sander R. Dubovy, MD; Thomas E. Johnson, MD
    
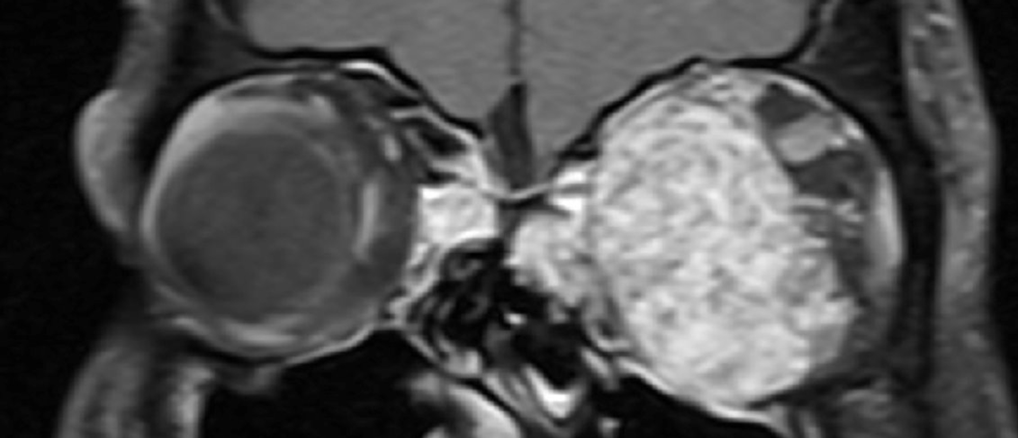
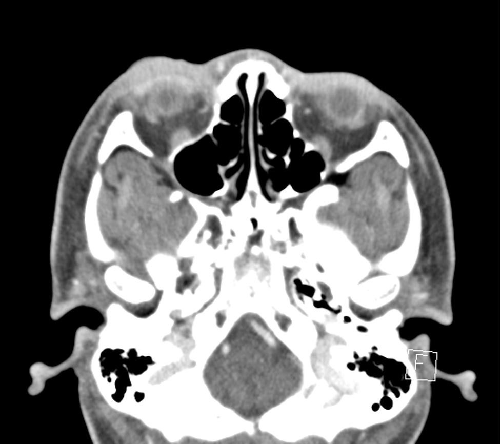
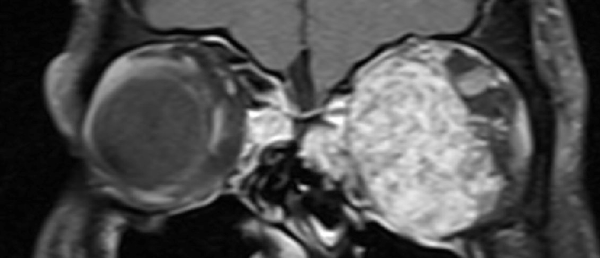
 Orbital Sarcoidosis A patient presented with three months of left eye swelling and pain. He was found to have periorbital firmness and fullness, proptosis, and conjunctival chemosis. He underwent computed tomography imaging of the orbits with contrast, which demonstrated an ill-defined, irregular a…
                                    
                                    Orbital Sarcoidosis
Specialty: Ocular Oncology
                                    
        Type: Online Grand Rounds
    
        Include in Catalogue?: Yes
    
        Presenter(s): Lauren C. Kiryakoza, MD
    
        Faculty Discussant(s): Sander R. Dubovy, MD; Thomas E. Johnson, MD
    
        Presenter/Faculty: Dubovy, Johnson, Kiryakoza
    
 Orbital Sarcoidosis A patient presented with three months of left eye swelling and pain. He was found to have periorbital firmness and fullness, proptosis, and conjunctival chemosis. He underwent computed tomography imaging of the orbits with contrast, which demonstrated an ill-defined, irregular a…
                                    
                                    Granular Corneal Dystrophy
Specialty: Corneal and External Diseases
                                    
        Type: Ophthalmic Images
    
        Include in Catalogue?: Yes
    
        Original Contributor(s): Benjamin R. Lin, MD; Angela Y. Zhu, MD, MBA
    
        Presenter/Faculty: Lin, Zhu
    
Case of granular dystrophy treated with penetrating keratoplasty.
Peripapillary Sarcoid Granuloma
Specialty: Uveitis
                                    
        Type: Ophthalmic Images
    
        Include in Catalogue?: Yes
    
        Original Contributor(s): Viet Chau, MD; Janet L. Davis, MD
    
        Presenter/Faculty: Chau, Davis
    
Fundus photo demonstrating a peripaillary elevated lesion. OCT with subretinal fluid and retina thickening. CT scan showed pulmonary nodules.
Lisch Corneal Dystrophy
Specialty: Corneal and External Diseases
                                    
        Type: Ophthalmic Images
    
        Include in Catalogue?: Yes
    
        Original Contributor(s): Carol L. Karp, MD; Lily Zhang, MD
    
        Presenter/Faculty: Karp, Zhang
    
Slit lamp photo of biopsy proven Lisch Corneal dystrophy.
Optic Nerve Pit
Specialty: Corneal and External Diseases
                                    
        Include in Catalogue?: No
    
        Vetted By: Byron L. Lam, MD
    
        Vetted Date: May 12, 2025
    
        Presenter(s): Caroline L. Lieux, MD
    
        Faculty Discussant(s): Byron L. Lam, MD
    
 Abstract Optic nerve anomalies are rare entities with a variety of clinical presentations. They can be classified according to anomalies of disc size, disc conformation, or by the presence of abnormal tissue on the optic nerve head, or pseudoswelling. Here, we present a child with an incidental fin…
                                    
                                    Optic Nerve Pit
Specialty: Corneal and External Diseases
                                    
        Include in Catalogue?: No
    
        Vetted By: Byron L. Lam, MD
    
        Vetted Date: May 12, 2025
    
        Presenter(s): Caroline L. Lieux, MD
    
        Faculty Discussant(s): Byron L. Lam, MD
    
 Optic Nerve Pit Optic nerve anomalies are rare entities with a variety of clinical presentations. They can be classified according to anomalies of disc size, disc conformation, or by the presence of abnormal tissue on the optic nerve head, or pseudoswelling. Here, we present a child with an inciden…
                                    
                                    Optic Nerve Pit
Specialty: Neuro-Ophthalmology
                                    
        Type: Online Grand Rounds
    
        Include in Catalogue?: Yes
    
        Vetted By: Byron L. Lam, MD
    
        Vetted Date: May 12, 2025
    
        Presenter(s): Caroline L. Lieux, MD
    
        Faculty Discussant(s): Byron L. Lam, MD
    
        Presenter/Faculty: Lam, Lieux
    
 Optic Nerve Pit Optic nerve anomalies are rare entities with a variety of clinical presentations. They can be classified according to anomalies of disc size, disc conformation, or by the presence of abnormal tissue on the optic nerve head, or pseudoswelling. Here, we present a child with an inciden…
                                    
                                    Ghost Cell Glaucoma
Specialty: Glaucoma
                                    
        Type: Ophthalmic Images
    
        Include in Catalogue?: Yes
    
        Original Contributor(s): Flavius Beca, MD
    
        Presenter/Faculty:  Beca
    
A patient with proliferative diabetic retinopathy and history of cataract extraction presenting with recurrent episodes of high intraocular pressure. Fundus photo reveals hazy view with dense white vitreous opacity as well as diffuse retinal changes consistent with diabetes.
Work-Life Balance: When it’s Time to Re-Calibrate?
Specialty: Other
                                    
        Type: Other Lectures
    
        Include in Catalogue?: Yes
    
        Presenter(s): Janice Law, MD
    
        Presenter/Faculty: Law
    
Best of Bascom Palmer Eye Institute’s 58th Annual Residents’ Days
Specialty: Other
                                    
        Type: Other Lectures
    
        Include in Catalogue?: Yes
    
        Original Contributor(s): Harry W. Flynn, Jr., MD; Steven J. Gedde, MD
    
        Presenter/Faculty: Flynn, Gedde