Arsenic Toxicity
        Type: Online Grand Rounds
    
        Include in Catalogue?: Yes
    
        Presenter(s): Ronaldo Nuesi, MD
    
        Faculty Discussant(s): Byron L. Lam, MD
    
        Presenter/Faculty: Lam, Nuesi
    
 Arsenic Toxicity A patient presented for slowly worsening vision over past two years. She was diagnosed with glaucoma at an outside hospital however vision continued to worsen throughout the years. She presented for second opinion. Due to her posterior exam, her diagnosis was difficult to ascertain…
                                    
                                    Mechanisms of Neuronal Damage in Glaucoma
Specialty: Glaucoma
                                    
        Type: Other Lectures
    
        Include in Catalogue?: Yes
    
        Presenter(s): Adriana Di Polo, PhD
    
        Presenter/Faculty: Polo
    
Tube Revision with Tube Extender
Specialty: Glaucoma
                                    
        Type: Surgical Videos
    
        Include in Catalogue?: Yes
    
        Original Contributor(s): Elena Bitrian, MD; Tyler M. Kaplan, MD
    
        Presenter/Faculty: Bitrian, Kaplan
    
Best of Next Reality Glaucoma: A Glaucoma Symposium
Specialty: Glaucoma
                                    
        Type: Other Lectures
    
        Include in Catalogue?: Yes
    
        Original Contributor(s): Elena Bitrian, MD; Luis E. Vazquez, MD, PhD
    
        Presenter/Faculty: Bitrian, Vazquez
    
Ocular Surface Neoplasia
Specialty: Glaucoma
                                    
        Include in Catalogue?: No
    
        Presenter(s): Mario Cale, MD
    
        Faculty Discussant(s): Carol L. Karp, MD; Daniel Pelaez, PhD; Basil Williams, MD
    
 Abstract A patient presented to the clinic with progressive white corneal opacity, otherwise no past medical history. Ant seg OCT performed and lesion identified as ocular surface neoplasm. The patient was treated with cycles of topical 5FU with near total response. Advancements in tear film diagno…
                                    
                                    Ocular Surface Neoplasia
Specialty: Glaucoma
                                    
        Include in Catalogue?: No
    
        Presenter(s): Mario Cale, MD
    
        Faculty Discussant(s): Carol L. Karp, MD; Daniel Pelaez, PhD; Basil Williams, MD
    
 Ocular Surface Neoplasia A patient presented to the clinic with progressive white corneal opacity, otherwise no past medical history. Ant seg OCT performed and lesion identified as ocular surface neoplasm. The patient was treated with cycles of topical 5FU with near total response. Advancements in …
                                    
                                    Ocular Surface Neoplasia
Specialty: Corneal and External Diseases
                                    
        Type: Online Grand Rounds
    
        Include in Catalogue?: Yes
    
        Presenter(s): Mario Cale, MD
    
        Faculty Discussant(s): Carol L. Karp, MD; Daniel Pelaez, PhD; Basil Williams, MD
    
        Presenter/Faculty: Cale, Karp, Pelaez, Williams
    
 Ocular Surface Neoplasia A patient presented to the clinic with progressive white corneal opacity, otherwise no past medical history. Ant seg OCT performed and lesion identified as ocular surface neoplasm. The patient was treated with cycles of topical 5FU with near total response. Advancements in …
                                    
                                    Traumatic Optic Neuropathy
Specialty: Corneal and External Diseases
                                    
        Include in Catalogue?: No
    
        Presenter(s): Matthew J. McSoley, MD, MPH
    
        Faculty Discussant(s): Daniel Pelaez, PhD
    
 Abstract A patient presented to a tertiary trauma center after a fall from standing. On arrival to the hospital, he was found to have extensive facial fractures and was describing loss of vision in the left eye. Detailed review of the CT scan revealed a bone fragment protruding into the optic canal…
                                    
                                    Traumatic Optic Neuropathy
Specialty: Corneal and External Diseases
                                    
        Include in Catalogue?: No
    
        Presenter(s): Matthew J. McSoley, MD, MPH
    
        Faculty Discussant(s): Daniel Pelaez, PhD
    
 Traumatic Optic Neuropathy A patient presented to a tertiary trauma center after a fall from standing. On arrival to the hospital, he was found to have extensive facial fractures and was describing loss of vision in the left eye. Detailed review of the CT scan revealed a bone fragment protruding in…
                                    
                                    Traumatic Optic Neuropathy
        Type: Online Grand Rounds
    
        Include in Catalogue?: Yes
    
        Presenter(s): Matthew J. McSoley, MD, MPH
    
        Faculty Discussant(s): Daniel Pelaez, PhD
    
        Presenter/Faculty: McSoley, Pelaez
    
 Traumatic Optic Neuropathy A patient presented to a tertiary trauma center after a fall from standing. On arrival to the hospital, he was found to have extensive facial fractures and was describing loss of vision in the left eye. Detailed review of the CT scan revealed a bone fragment protruding in…
                                    
                                    Candida Albicans Keratitis
        Include in Catalogue?: No
    
        Presenter(s): Jerry Hsu, MD, MS
    
        Faculty Discussant(s): Guillermo Amescua, MD
    
 Abstract A young patient with a past ocular history of Stevens Johnson Syndrome and prior Candida and Providencia keratitis presented with multifocal white corneal infiltrates several months following a penetrating keratoplasty of the same eye. The patient’s exam was notable for a vision of 20/20…
                                    
                                    Candida Albicans Keratitis
        Include in Catalogue?: No
    
        Presenter(s): Jerry Hsu, MD, MS
    
        Faculty Discussant(s): Guillermo Amescua, MD
    
 Candida Albicans Keratitis A young patient with a past ocular history of Stevens Johnson Syndrome and prior Candida and Providencia keratitis presented with multifocal white corneal infiltrates several months following a penetrating keratoplasty of the same eye. The patient’s exam was notable for…
                                    
                                    Candida Albicans Keratitis
Specialty: Cataracts and Intraocular Lenses
                                    
        Type: Online Grand Rounds
    
        Include in Catalogue?: Yes
    
        Presenter(s): Jerry Hsu, MD, MS
    
        Faculty Discussant(s): Guillermo Amescua, MD
    
        Presenter/Faculty: Amescua, Hsu
    
 Candida Albicans Keratitis A young patient with a past ocular history of Stevens Johnson Syndrome and prior Candida and Providencia keratitis presented with multifocal white corneal infiltrates several months following a penetrating keratoplasty of the same eye. The patient’s exam was notable for…
                                    
                                    Muckle-Wells Syndrome
Specialty: Cataracts and Intraocular Lenses
                                    
        Include in Catalogue?: No
    
        Presenter(s): Daniel Balikov, MD, PhD
    
        Faculty Discussant(s): Thomas A. Albini, MD
    
 Abstract A patient with a past ocular history of retinal vasculitis with subretinal hemorrhage, vitreous hemorrhage, herpetic keratitis, and cataract surgery presented to the emergency room due to sudden onset blurred vision and retrobulbar pain of the left eye. The patient reported low-dose predni…
                                    
                                    Muckle-Wells Syndrome
Specialty: Cataracts and Intraocular Lenses
                                    
        Include in Catalogue?: No
    
        Presenter(s): Daniel Balikov, MD, PhD
    
        Faculty Discussant(s): Thomas A. Albini, MD
    
 Muckle-Wells Syndrome A patient with a past ocular history of retinal vasculitis with subretinal hemorrhage, vitreous hemorrhage, herpetic keratitis, and cataract surgery presented to the emergency room due to sudden onset blurred vision and retrobulbar pain of the left eye. The patient reported lo…
                                    
                                    Muckle-Wells Syndrome
Specialty: Retina and Vitreous Diseases
                                    
        Type: Online Grand Rounds
    
        Include in Catalogue?: Yes
    
        Presenter(s): Daniel Balikov, MD, PhD
    
        Faculty Discussant(s): Thomas A. Albini, MD
    
        Presenter/Faculty: Balikov, Albini
    
 Muckle-Wells Syndrome A patient with a past ocular history of retinal vasculitis with subretinal hemorrhage, vitreous hemorrhage, herpetic keratitis, and cataract surgery presented to the emergency room due to sudden onset blurred vision and retrobulbar pain of the left eye. The patient reported lo…
                                    
                                    Radial Keratotomy Associated Corneal Ulcer
Specialty: Retina and Vitreous Diseases
                                    
        Include in Catalogue?: No
    
        Presenter(s): Kai Seely, MD, MHSc
    
        Faculty Discussant(s): William W. Culbertson, IV, MD
    
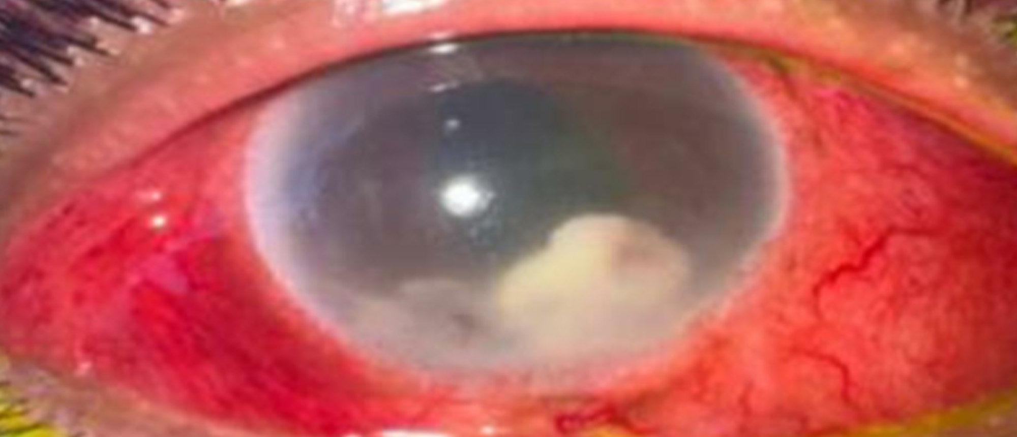
 Abstract A middle-aged patient with a history of radial keratotomy in both eyes presented with 3 days of pain, redness, and blurred vision in the right eye. Visual acuity was 20/80 and slit lamp exam was remarkable for a stromal infiltrate with overlying epithelial defect surrounding the 10 o'clock…
                                    
                                    Radial Keratotomy Associated Corneal Ulcer
Specialty: Retina and Vitreous Diseases
                                    
        Include in Catalogue?: No
    
        Presenter(s): Kai Seely, MD, MHSc
    
        Faculty Discussant(s): William W. Culbertson, IV, MD
    
 Radial Keratotomy Associated Corneal Ulcer A middle-aged patient with a history of radial keratotomy in both eyes presented with 3 days of pain, redness, and blurred vision in the right eye. Visual acuity was 20/80 and slit lamp exam was remarkable for a stromal infiltrate with overlying epithelial…
                                    
                                    Radial Keratotomy Associated Corneal Ulcer
Specialty: Corneal and External Diseases
                                    
        Type: Online Grand Rounds
    
        Include in Catalogue?: Yes
    
        Presenter(s): Kai Seely, MD, MHSc
    
        Faculty Discussant(s): William W. Culbertson, IV, MD
    
        Presenter/Faculty: Culbertson, Seely
    
 Radial Keratotomy Associated Corneal Ulcer A middle-aged patient with a history of radial keratotomy in both eyes presented with 3 days of pain, redness, and blurred vision in the right eye. Visual acuity was 20/80 and slit lamp exam was remarkable for a stromal infiltrate with overlying epithelial…
                                    
                                    Corneal Edema and Secondary Angle Closure Glaucoma Due to Cosmetic Iris Implants
Specialty: Corneal and External Diseases
                                    
        Include in Catalogue?: No
    
        Presenter(s): Mya Abousy, MD
    
        Faculty Discussant(s): Elena Bitrian, MD
    
        Discussant(s): Jonathan D. Tijerina, MD, MA
    
 Abstract Cosmetic iris implants have gained significant popularity in the media in the past 20 years. Despite their appeal to thousands of individuals across the globe, these implants have vision-threatening consequences. This case describes a patient with a history of bilateral cosmetic iris impla…