Nontuberculous Mycobacteria Keratitis
Include in Catalogue?: No
Presenter(s): Margaret Wang French, MD
Faculty Discussant(s): Guillermo Amescua, MD; Alfonso L. Sabater, MD, PhD
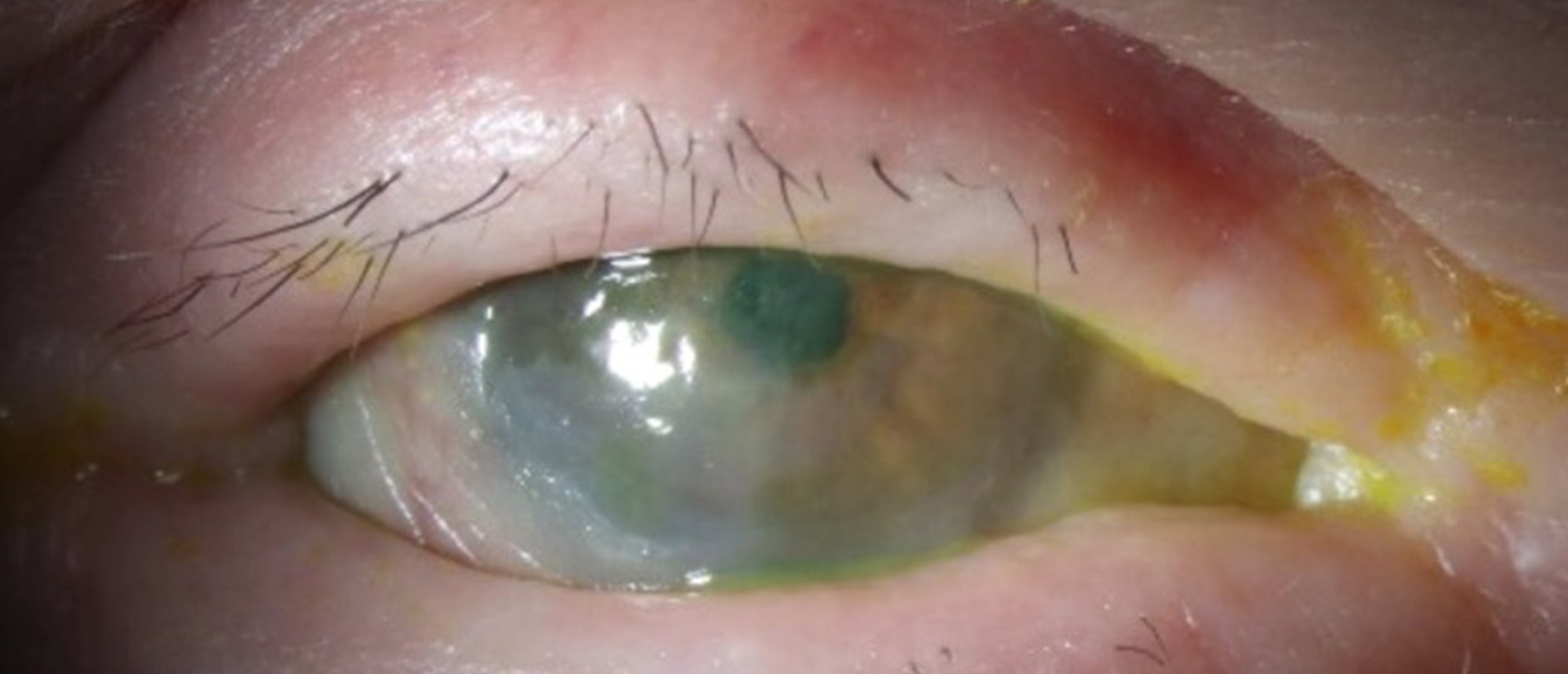
Nontuberculous Mycobacteria Keratitis A patient five months after bilateral simultaneous cataract surgery in another country presents to the BPEI emergency room with bilateral decreased vision and extreme right eye pain for the last 2 weeks. Their exam was notable for visual acuity of hand motion i…
Nontuberculous Mycobacteria Keratitis
Specialty: Corneal and External Diseases
Type: Online Grand Rounds
Include in Catalogue?: Yes
Presenter(s): Margaret Wang French, MD
Faculty Discussant(s): Guillermo Amescua, MD; Alfonso L. Sabater, MD, PhD
Presenter/Faculty: Amescua, Sabater, Wang
Nontuberculous Mycobacteria Keratitis A patient five months after bilateral simultaneous cataract surgery in another country presents to the BPEI emergency room with bilateral decreased vision and extreme right eye pain for the last 2 weeks. Their exam was notable for visual acuity of hand motion i…
Caffeine-Associated Hemi-Retinal Vein Occlusion of the Left Eye secondary Cystoid Macular Edema
Specialty: Retina and Vitreous Diseases
Type: Ophthalmic Images
Include in Catalogue?: Yes
Original Contributor(s): Jesse D. Sengillo, MD; Jayanth Sridhar, MD; Jonathan D. Tijerina, MD, MA
Presenter/Faculty: Sengillo, Sridhar, Tijerina
A young patient presented with a 1-week history of unilateral superior visual field deficit in the left eye with a visual acuity of 20/30 with pinhole correction to 20/20, normal IOP, and without an APD. Detailed medical, surgical, family, and social history-taking revealed only patient consumption…
Central Retinal Artery Occlusion
Specialty: Retina and Vitreous Diseases
Include in Catalogue?: No
Presenter(s): Flavius Beca, MD
Faculty Discussant(s): Jayanth Sridhar, MD; Mariam S. Vila-Delgado, MD
Abstract An elderly patient presented to the BPEI Emergency Room 3 hours after onset of painless vision loss. Past medical history included hypertension and atrial fibrillation treated with apixaban, of which the patient reported good adherence. The patient had no other signs or symptoms of an acut…
Central Retinal Artery Occlusion
Specialty: Retina and Vitreous Diseases
Include in Catalogue?: No
Presenter(s): Flavius Beca, MD
Faculty Discussant(s): Jayanth Sridhar, MD; Mariam S. Vila-Delgado, MD
Central Retinal Artery Occlusion An elderly patient presented to the BPEI Emergency Room 3 hours after onset of painless vision loss. Past medical history included hypertension and atrial fibrillation treated with apixaban, of which the patient reported good adherence. The patient had no other sign…
Central Retinal Artery Occlusion
Specialty: Retina and Vitreous Diseases
Type: Online Grand Rounds
Include in Catalogue?: Yes
Presenter(s): Flavius Beca, MD
Faculty Discussant(s): Jayanth Sridhar, MD; Mariam S. Vila-Delgado, MD
Presenter/Faculty: Beca, Sridhar, Vila-Delgado
Central Retinal Artery Occlusion An elderly patient presented to the BPEI Emergency Room 3 hours after onset of painless vision loss. Past medical history included hypertension and atrial fibrillation treated with apixaban, of which the patient reported good adherence. The patient had no other sign…
Choroidal Folds Related to Multiple Myeloma Recurrence
Specialty: Retina and Vitreous Diseases
Include in Catalogue?: No
Presenter(s): Michael J. Venincasa, MD
Faculty Discussant(s): Anat Galor, MD, MSPH; Raquel Goldhardt, MD, FACS; James E. Hoffman, MD
Abstract A patient with a prior diagnosis of Fuchs endothelial dystrophy and a past medical history including renal amyloidosis previously treated with chemotherapy presented to the outpatient ophthalmology clinic for routine follow-up. Examination disclosed conjunctival chemosis and chorioretinal …
Choroidal Folds Related to Multiple Myeloma Recurrence
Specialty: Retina and Vitreous Diseases
Include in Catalogue?: No
Presenter(s): Michael J. Venincasa, MD
Faculty Discussant(s): Anat Galor, MD, MSPH; Raquel Goldhardt, MD, FACS; James E. Hoffman, MD
Choroidal Folds Related to Multiple Myeloma Recurrence A patient with a prior diagnosis of Fuchs endothelial dystrophy and a past medical history including renal amyloidosis previously treated with chemotherapy presented to the outpatient ophthalmology clinic for routine follow-up. Examination disc…
Choroidal Folds Related to Multiple Myeloma Recurrence
Specialty: Corneal and External Diseases
Type: Online Grand Rounds
Include in Catalogue?: Yes
Presenter(s): Michael J. Venincasa, MD
Faculty Discussant(s): Anat Galor, MD, MSPH; Raquel Goldhardt, MD, FACS; James E. Hoffman, MD
Presenter/Faculty: Goldhardt, Hoffman, Venincasa
Choroidal Folds Related to Multiple Myeloma Recurrence A patient with a prior diagnosis of Fuchs endothelial dystrophy and a past medical history including renal amyloidosis previously treated with chemotherapy presented to the outpatient ophthalmology clinic for routine follow-up. Examination disc…
Non-Infectious Scleritis
Specialty: Corneal and External Diseases
Include in Catalogue?: No
Presenter(s): Menachem Weiss, MD
Faculty Discussant(s): Schartess S. Culpepper, MD; Rahul S. Tonk, MD
Abstract A monocular patient admitted for pyoderma gangrenosum flare complained of decreased vision and left eye pain. Four years prior she had scleritis OD which requiring scleral reinforcement surgery after which the patient was lost to follow up, developed endophthalmitis and eventually required…
Non-Infectious Scleritis
Specialty: Corneal and External Diseases
Include in Catalogue?: No
Presenter(s): Menachem Weiss, MD
Faculty Discussant(s): Schartess S. Culpepper, MD; Rahul S. Tonk, MD
Non-Infectious Scleritis A monocular patient admitted for pyoderma gangrenosum flare complained of decreased vision and left eye pain. Four years prior she had scleritis OD which requiring scleral reinforcement surgery after which the patient was lost to follow up, developed endophthalmitis and eve…
Non-Infectious Scleritis
Specialty: Corneal and External Diseases
Type: Online Grand Rounds
Include in Catalogue?: Yes
Presenter(s): Menachem Weiss, MD
Faculty Discussant(s): Schartess S. Culpepper, MD; Rahul S. Tonk, MD
Presenter/Faculty: Culpepper, Tonk, Weiss
Non-Infectious Scleritis A monocular patient admitted for pyoderma gangrenosum flare complained of decreased vision and left eye pain. Four years prior she had scleritis OD which requiring scleral reinforcement surgery after which the patient was lost to follow up, developed endophthalmitis and eve…
Central Retinal Artery Occlusion (CRAO)
Specialty: Retina and Vitreous Diseases
Type: Ophthalmic Images
Include in Catalogue?: Yes
Original Contributor(s): Flavius Beca, MD
Presenter/Faculty: Beca
Fundus photo of Central Retinal Artery Occlusion (CRAO).
Mixed Mechanism Angle Closure Glaucoma
Specialty: Retina and Vitreous Diseases
Include in Catalogue?: No
Presenter(s): Lily Zhang, MD
Faculty Discussant(s): Elena Bitrian, MD
Abstract A patient presented with eye pain and decreased vision in the left eye and treated for HSV keratouveitis. A few months later, he presented with halos and high IOP. He was placed on topical glaucoma drops and continued to have episodes. A laser peripheral iridectomy was performed. Despite d…
Mixed Mechanism Angle Closure Glaucoma
Specialty: Retina and Vitreous Diseases
Include in Catalogue?: No
Presenter(s): Lily Zhang, MD
Faculty Discussant(s): Elena Bitrian, MD
Mixed Mechanism Angle Closure Glaucoma A patient presented with eye pain and decreased vision in the left eye and treated for HSV keratouveitis. A few months later, he presented with halos and high IOP. He was placed on topical glaucoma drops and continued to have episodes. A laser peripheral iride…
Mixed Mechanism Angle Closure Glaucoma
Specialty: Glaucoma
Type: Online Grand Rounds
Include in Catalogue?: Yes
Presenter(s): Lily Zhang, MD
Faculty Discussant(s): Elena Bitrian, MD
Presenter/Faculty: Bitrian, Zhang
Mixed Mechanism Angle Closure Glaucoma A patient presented with eye pain and decreased vision in the left eye and treated for HSV keratouveitis. A few months later, he presented with halos and high IOP. He was placed on topical glaucoma drops and continued to have episodes. A laser peripheral iride…
NUT Carcinoma
Specialty: Glaucoma
Include in Catalogue?: No
Presenter(s): Shanlee M. Stevens, MD
Faculty Discussant(s): Sander R. Dubovy, MD; Sara T. Wester, MD, FACS
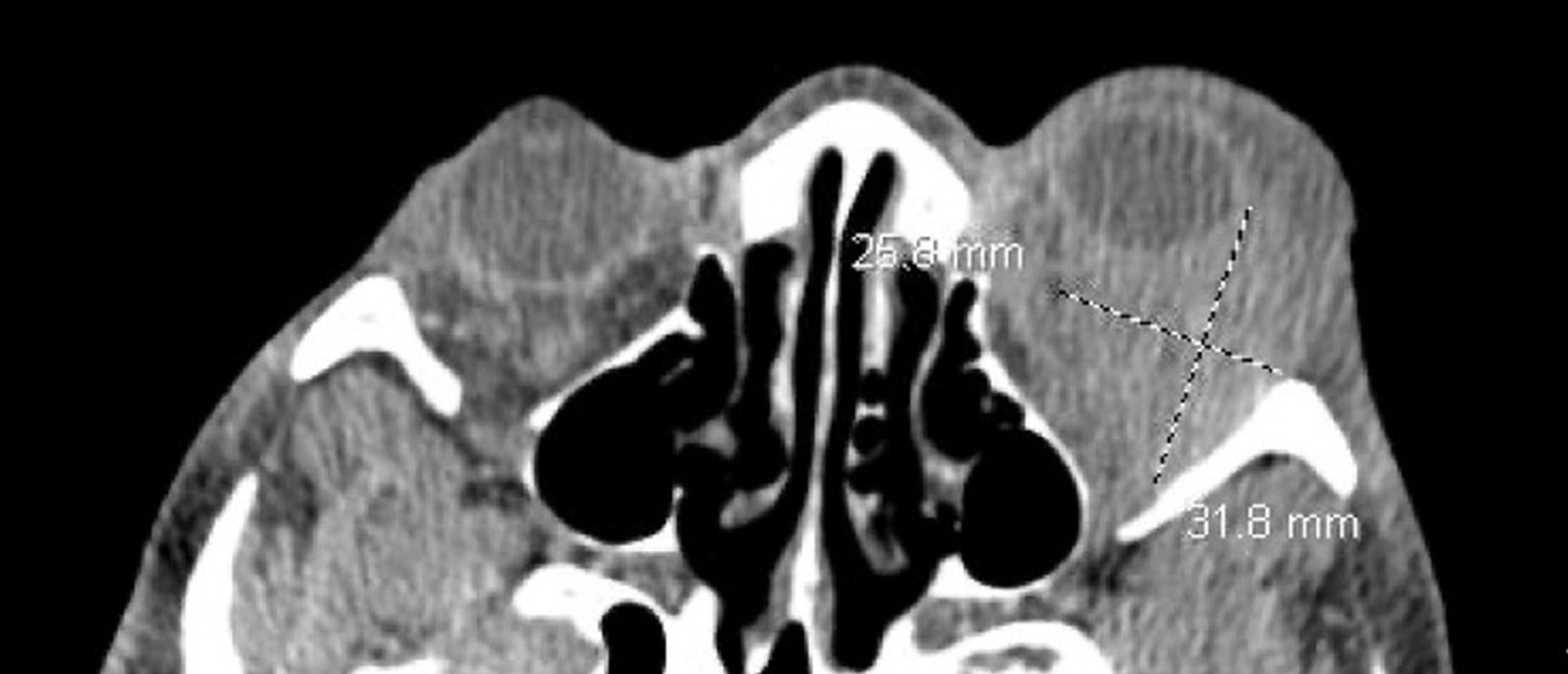
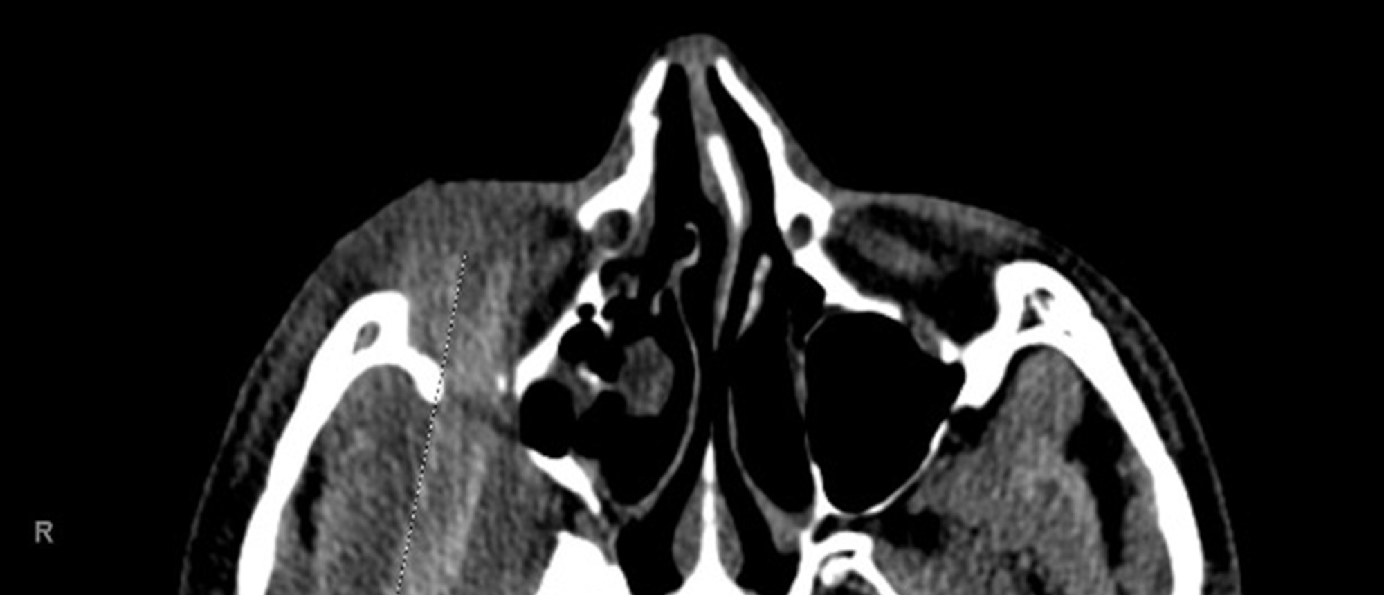
Abstract A patient presented with several weeks of right eye proptosis. On initial examination, his visual acuity in the right eye was 20/400, and a relative afferent pupillary defect was noted. He had 4 mm relative proptosis on the right and restricted motility in all gaze directions. CT orbits re…
NUT Carcinoma
Specialty: Glaucoma
Include in Catalogue?: No
Presenter(s): Shanlee M. Stevens, MD
Faculty Discussant(s): Sander R. Dubovy, MD; Sara Tullis Wester, MD, FACS
NUT Carcinoma A patient presented with several weeks of right eye proptosis. On initial examination, his visual acuity in the right eye was 20/400, and a relative afferent pupillary defect was noted. He had 4 mm relative proptosis on the right and restricted motility in all gaze directions. CT orbi…
NUT Carcinoma
Specialty: Ophthalmic Pathology
Type: Online Grand Rounds
Include in Catalogue?: Yes
Presenter(s): Shanlee M. Stevens, MD
Faculty Discussant(s): Sander R. Dubovy, MD; Sara Tullis Wester, MD, FACS
Presenter/Faculty: Dubovy, Stevens, Wester
NUT Carcinoma A patient presented with several weeks of right eye proptosis. On initial examination, his visual acuity in the right eye was 20/400, and a relative afferent pupillary defect was noted. He had 4 mm relative proptosis on the right and restricted motility in all gaze directions. CT orbi…
Pseudophakic Bullous Keratopathy with Prior Descemet Membrane Tears due to Forceps Trauma
Specialty: Ophthalmic Pathology
Include in Catalogue?: No
Presenter(s): Christopher Seery, MD
Faculty Discussant(s): Ellen Koo, MD
Abstract A patient with a history of forceps trauma at birth and amblyopia of the left eye who presents with persistent corneal edema 1 year after uncomplicated cataract surgery. Initial visual acuity was 20/200, intraocular pressure was 10, and pachymetry was 698 um. On clinical examination there …