Peripapillary Intrachoroidal Cavitation
Specialty: Neuro-Ophthalmology
Type: Online Grand Rounds
Include in Catalogue?: Yes
Presenter(s): Joseph D. Pecha, MD, MPH
Faculty Discussant(s): Byron L. Lam, MD; Nicolas A. Yannuzzi, MD
Presenter/Faculty: Lam, Pecha, Yannuzzi
Peripapillary Intrachoroidal Cavitation A patient presented to the neuro-ophthalmology clinic after referral from his primary retina physician for further evaluation of a point of light seen in his left eye. The patient had no significant past medical history, but had a past ocular history of patho…
Educating and Training Ophthalmologist in Lower- and Middle-Income Countries
Specialty: Other
Type: Other Lectures
Include in Catalogue?: Yes
Original Contributor(s): David E.I. Pyott, CBE, MD (Hon.), CStJ
Presenter/Faculty: Pyott
Diabetes Managed with Anterior Chamber Islet Cell Transplant
Specialty: Other
Include in Catalogue?: No
Presenter(s): Samera Ahmad, MD
Faculty Discussant(s): Midhat H. Abdulreda, MS, PhD; Victor L. Perez, MD; Sonia H. Yoo, MD
Abstract A patient with past medical history of uncontrolled diabetes and open globe injury of the right eye presents with blurred vision in her left eye. She had LP vision in her right eye. Her examination demonstrated changes consistent with prior open globe in the right eye, and proliferative di…
Diabetes Managed with Anterior Chamber Islet Cell Transplant
Specialty: Other
Include in Catalogue?: No
Presenter(s): Samera Ahmad, MD
Faculty Discussant(s): Midhat H. Abdulreda, MS, PhD; Victor L. Perez, MD; Sonia H. Yoo, MD
Diabetes Managed with Anterior Chamber Islet Cell Transplant A patient with past medical history of uncontrolled diabetes and open globe injury of the right eye presents with blurred vision in her left eye. She had LP vision in her right eye. Her examination demonstrated changes consistent with pri…
Diabetes Managed with Anterior Chamber Islet Cell Transplant
Specialty: Corneal and External Diseases
Type: Online Grand Rounds
Include in Catalogue?: Yes
Presenter(s): Samera Ahmad, MD
Faculty Discussant(s): Midhat H. Abdulreda, MS, PhD; Victor L. Perez, MD; Sonia H. Yoo, MD
Presenter/Faculty: Abdulreda, Ahmad, Perez, Yoo
Diabetes Managed with Anterior Chamber Islet Cell Transplant A patient with past medical history of uncontrolled diabetes and open globe injury of the right eye presents with blurred vision in her left eye. She had LP vision in her right eye. Her examination demonstrated changes consistent with pri…
Fusarium Keratitis
Specialty: Corneal and External Diseases
Include in Catalogue?: No
Presenter(s): Kai Seely, MD, MHSc
Faculty Discussant(s): Guillermo Amescua, MD; Sander R. Dubovy, MD
Abstract A patient with no pertinent ocular history presented with 3 months of pain, redness, and blurred vision in the right eye. Visual acuity was HM and slit lamp exam was remarkable for a central infiltrate with feathery irregular margins, significant injection, and a small hypopyon. The patien…
Fusarium Keratitis
Specialty: Corneal and External Diseases
Include in Catalogue?: No
Presenter(s): Kai Seely, MD, MHSc
Faculty Discussant(s): Guillermo Amescua, MD; Sander R. Dubovy, MD
Fusarium Keratitis A patient with no pertinent ocular history presented with 3 months of pain, redness, and blurred vision in the right eye. Visual acuity was HM and slit lamp exam was remarkable for a central infiltrate with feathery irregular margins, significant injection, and a small hypopyon. …
Fusarium Keratitis
Specialty: Corneal and External Diseases
Type: Online Grand Rounds
Include in Catalogue?: Yes
Presenter(s): Kai Seely, MD, MHSc
Faculty Discussant(s): Guillermo Amescua, MD; Sander R. Dubovy, MD
Presenter/Faculty: Amescua, Dubovy, Seely
Fusarium Keratitis A patient with no pertinent ocular history presented with 3 months of pain, redness, and blurred vision in the right eye. Visual acuity was HM and slit lamp exam was remarkable for a central infiltrate with feathery irregular margins, significant injection, and a small hypopyon. …
In Vivo Epigenetic Reprogramming to Rejuvenate Injured and Aging Retinal Ganglion Cells
Specialty: Retina and Vitreous Diseases
Type: Other Lectures
Include in Catalogue?: Yes
Presenter(s): Bruce R. Ksander, PhD
Presenter/Faculty: Ksander
Intraocular Foreign Body
Specialty: Retina and Vitreous Diseases
Include in Catalogue?: No
Presenter(s): Benjamin Meyer, MD
Discussant(s): Jason C. Fan, MD, PhD
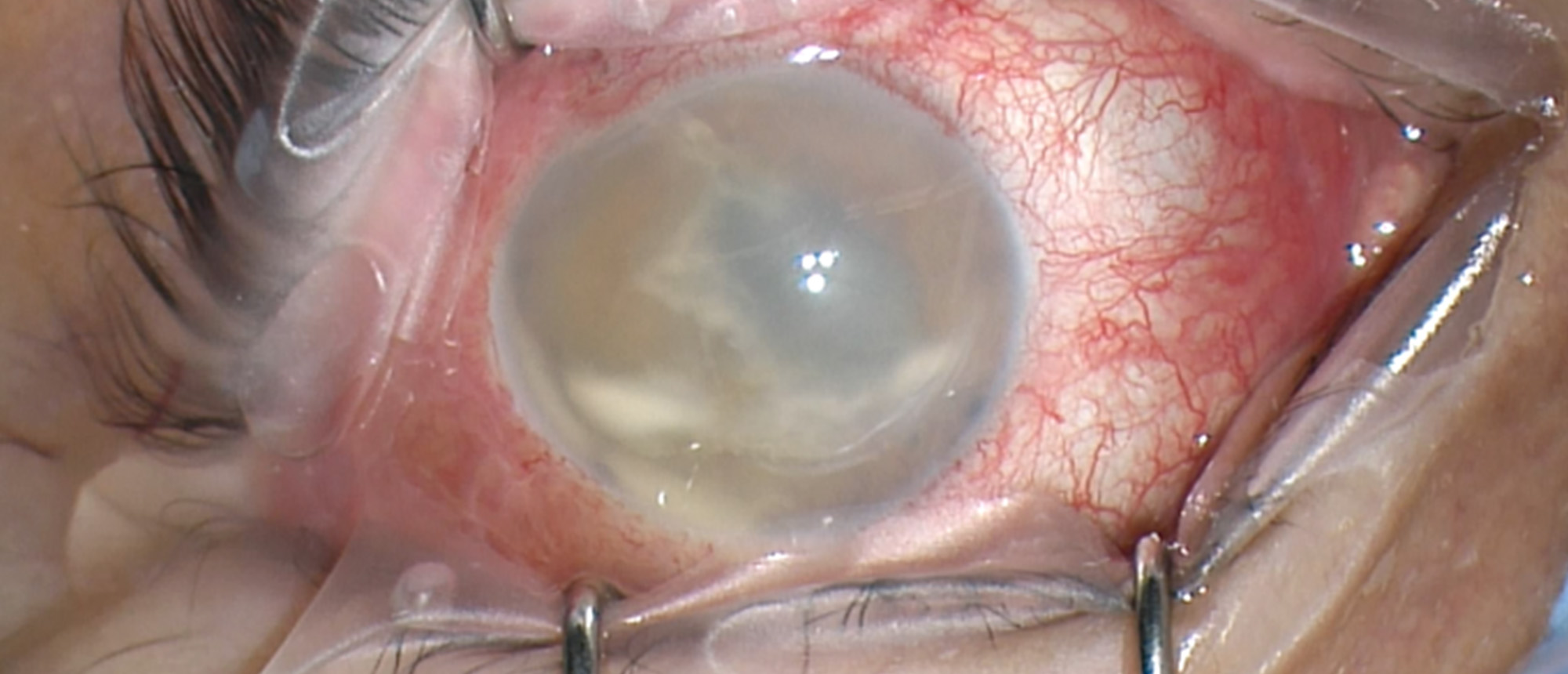
Abstract A middle-aged patient sustained a penetrating open-globe injury from an alligator bone fragment while hunting. On presentation, visual acuity was hand motions with a large corneoscleral laceration and disorganized intraocular anatomy. Imaging revealed a hyperdense intraocular foreign body …
Intraocular Foreign Body
Specialty: Retina and Vitreous Diseases
Include in Catalogue?: No
Presenter(s): Benjamin Meyer, MD
Discussant(s): Jason C. Fan, MD, PhD
Intraocular Foreign Body A middle-aged patient sustained a penetrating open-globe injury from an alligator bone fragment while hunting. On presentation, visual acuity was hand motions with a large corneoscleral laceration and disorganized intraocular anatomy. Imaging revealed a hyperdense intraocul…
Intraocular Foreign Body
Specialty: Retina and Vitreous Diseases
Type: Online Grand Rounds
Include in Catalogue?: Yes
Presenter(s): Benjamin Meyer, MD
Discussant(s): Jason C. Fan, MD, PhD
Presenter/Faculty: Fan, Meyer
Intraocular Foreign Body A middle-aged patient sustained a penetrating open-globe injury from an alligator bone fragment while hunting. On presentation, visual acuity was hand motions with a large corneoscleral laceration and disorganized intraocular anatomy. Imaging revealed a hyperdense intraocul…
Intraocular Foreign Body
Specialty: Retina and Vitreous Diseases
Type: Surgical Videos
Include in Catalogue?: Yes
Original Contributor(s): Jason C. Fan, MD, PhD; Benjamin Meyer, MD
Presenter/Faculty: Fan, Meyer
Social Determinants of Health and Glaucoma
Specialty: Glaucoma
Type: Other Lectures
Include in Catalogue?: Yes
Presenter(s): Anne L. Coleman, MD, PhD
Presenter/Faculty: Coleman
Title copy 1
Specialty: Glaucoma
Type: Other Lectures
Include in Catalogue?: No
Presenter(s): Name LastName, MD
Faculty Discussant(s): Name LastName, MD
[Diagnosis] Lorem ipsum dolor sit amet, consectetur adipiscing elit. Sed rutrum tortor mauris. Donec aliquam quis nunc sit amet ultrices. In luctus sodales rhoncus. Praesent orci libero, fermentum ac placerat eget, tincidunt ac est. Morbi blandit euismod erat, at hendrerit turpis lacinia id. Aliqua…
Papilledema or Not- Why Is This Still a Challenge?
Specialty: Neuro-Ophthalmology
Type: Other Lectures
Include in Catalogue?: Yes
Presenter(s): Prem Subramanian, MD, PhD
Presenter/Faculty: Subramanian
Pediatric Idiopathic Intracranial Hypertension (Pediatric IIH)
Specialty: Neuro-Ophthalmology
Include in Catalogue?: No
Presenter(s): Potyra Rosa, MD
Faculty Discussant(s): Byron L. Lam, MD
Abstract A pediatric patient accompanied by their parent presented to BPEI ED complaining of an episode of complete loss of vision in the left eye that was initially blurry, then totally black, lasting from 20-30 seconds. The symptom was associated with a frontal headache. The patient has a reporte…
Pediatric Idiopathic Intracranial Hypertension (Pediatric IIH)
Specialty: Neuro-Ophthalmology
Include in Catalogue?: No
Presenter(s): Potyra Rosa, MD
Faculty Discussant(s): Byron L. Lam, MD
Pediatric Idiopathic Intracranial Hypertension (Pediatric IIH) A pediatric patient accompanied by their parent presented to BPEI ED complaining of an episode of complete loss of vision in the left eye that was initially blurry, then totally black, lasting from 20-30 seconds. The symptom was associa…
Pediatric Idiopathic Intracranial Hypertension (Pediatric IIH)
Specialty: Neuro-Ophthalmology
Type: Online Grand Rounds
Include in Catalogue?: Yes
Presenter(s): Potyra Rosa, MD
Faculty Discussant(s): Byron L. Lam, MD
Presenter/Faculty: Lam, Rosa
Pediatric Idiopathic Intracranial Hypertension (Pediatric IIH) A pediatric patient accompanied by their parent presented to BPEI ED complaining of an episode of complete loss of vision in the left eye that was initially blurry, then totally black, lasting from 20-30 seconds. The symptom was associa…
Peripapillary Subretinal Placoid Chorioretinopathy
Specialty: Neuro-Ophthalmology
Type: Ophthalmic Images
Include in Catalogue?: Yes
Original Contributor(s): Carlos E. Mendoza Santiesteban, MD; Pablo Ravenna, MD
Presenter/Faculty: Mendoza, Ravenna
Acute syphilitic posterior placoid chorioretinopathy (ASPPC) is a unique ocular sign of syphilis. It appears as a large, flat, yellowish lesion on the retinal pigment epithelium, typically in the macula. While not seen in every syphilis case, its presence strongly suggests ocular involvement and wa…