Heavy Eye Syndrome/Adult Onset Esotropia Secondary to High Axial Myopia
        Include in Catalogue?: No
    
        Presenter(s): Michelle Attzs, MBBS, MD
    
        Faculty Discussant(s): Hilda Capo, MD
    
 Heavy Eye Syndrome/Adult Onset Esotropia Secondary to High Axial Myopia A patient with history of amblyopia right eye, and no previous ocular surgery or childhood strabismus presents with large angle esotropia and hypotropia. Exam was notable for hand movements vision in the right eye and 20/20 in …
                                    
                                    Heavy Eye Syndrome/Adult Onset Esotropia Secondary to High Axial Myopia
Specialty: Pediatric Ophthalmology and Strabismus
                                    
        Type: Online Grand Rounds
    
        Include in Catalogue?: Yes
    
        Presenter(s): Michelle Attzs, MBBS, MD
    
        Faculty Discussant(s): Hilda Capo, MD
    
        Presenter/Faculty: Attzs, Capo
    
 Heavy Eye Syndrome/Adult Onset Esotropia Secondary to High Axial Myopia A patient with history of amblyopia right eye, and no previous ocular surgery or childhood strabismus presents with large angle esotropia and hypotropia. Exam was notable for hand movements vision in the right eye and 20/20 in …
                                    
                                    Slipped Medial Rectus Muscle
Specialty: Pediatric Ophthalmology and Strabismus
                                    
        Include in Catalogue?: No
    
        Presenter(s): Omar Abu Su’ud, MD
    
        Faculty Discussant(s): Craig A. McKeown, MD
    
 Abstract A patient with history of childhood esotropia presented to our clinic. She reported experiencing binocular visual confusion/jumping images and eye pain in the right eye. The patient was previously treated with prism glasses. Her exam was notable for a comitant esotropia. She underwent surg…
                                    
                                    Slipped Medial Rectus Muscle
Specialty: Pediatric Ophthalmology and Strabismus
                                    
        Include in Catalogue?: No
    
        Presenter(s): Omar Abu Su’ud, MD
    
        Faculty Discussant(s): Craig A. McKeown, MD
    
 Slipped Medial Rectus Muscle A patient with history of childhood esotropia presented to our clinic. She reported experiencing binocular visual confusion/jumping images and eye pain in the right eye. The patient was previously treated with prism glasses. Her exam was notable for a comitant esotropia…
                                    
                                    Slipped Medial Rectus Muscle
Specialty: Pediatric Ophthalmology and Strabismus
                                    
        Type: Online Grand Rounds
    
        Include in Catalogue?: Yes
    
        Presenter(s): Omar Abu Su’ud, MD
    
        Faculty Discussant(s): Craig A. McKeown, MD
    
        Presenter/Faculty: Abu Su'ud, McKeown
    
 Slipped Medial Rectus Muscle A patient with history of childhood esotropia presented to our clinic. She reported experiencing binocular visual confusion/jumping images and eye pain in the right eye. The patient was previously treated with prism glasses. Her exam was notable for a comitant esotropia…
                                    
                                    Why Are We so Bad at Fixing XT? Contributors to Failure and Strategies for the Future
Specialty: Pediatric Ophthalmology and Strabismus
                                    
        Type: Other Lectures
    
        Include in Catalogue?: Yes
    
        Presenter(s): Stephen P. Christiansen, MD
    
        Presenter/Faculty: Christiansen
    
Acute Macular Neuroretinopathy
Specialty: Pediatric Ophthalmology and Strabismus
                                    
        Include in Catalogue?: No
    
        Presenter(s): Jason C. Fan, MD, PhD
    
        Faculty Discussant(s): Basil Williams, MD
    
 Abstract A young patient presents with acute onset of blurry vision and scotoma. Visual acuity is 20/25 in both eyes. Exam reveals hypopigmented patches in the macula of both eyes, as well as a flame hemorrhage in the left. Imaging reveals disruption of the outer plexiform, outer nuclear, and photo…
                                    
                                    Acute Macular Neuroretinopathy
Specialty: Pediatric Ophthalmology and Strabismus
                                    
        Include in Catalogue?: No
    
        Presenter(s): Jason C. Fan, MD, PhD
    
        Faculty Discussant(s): Basil Williams, MD
    
 Acute Macular Neuroretinopathy A young patient presents with acute onset of blurry vision and scotoma. Visual acuity is 20/25 in both eyes. Exam reveals hypopigmented patches in the macula of both eyes, as well as a flame hemorrhage in the left. Imaging reveals disruption of the outer plexiform, ou…
                                    
                                    Acute Macular Neuroretinopathy
Specialty: Retina and Vitreous Diseases
                                    
        Type: Online Grand Rounds
    
        Include in Catalogue?: Yes
    
        Presenter(s): Jason C. Fan, MD, PhD
    
        Faculty Discussant(s): Basil Williams, MD
    
        Presenter/Faculty: Fan, Williams
    
 Acute Macular Neuroretinopathy A young patient presents with acute onset of blurry vision and scotoma. Visual acuity is 20/25 in both eyes. Exam reveals hypopigmented patches in the macula of both eyes, as well as a flame hemorrhage in the left. Imaging reveals disruption of the outer plexiform, ou…
                                    
                                    Acute Zonal Occult Outer Retinopathy (AZOOR)
Specialty: Retina and Vitreous Diseases
                                    
        Include in Catalogue?: No
    
        Presenter(s): Erick Rivera-Grana, MD
    
        Faculty Discussant(s): Janet L. Davis, MD
    
 Abstract A patient with a history of photopsias in the left eye for approximately 20 years comes for evaluation due to photopsias now involving both eyes. Concomitantly, the patient also notices scotomas in both eyes. Infectious, immune, and degenerative retinopathy workup was negative. Based on th…
                                    
                                    Acute Zonal Occult Outer Retinopathy (AZOOR)
Specialty: Retina and Vitreous Diseases
                                    
        Include in Catalogue?: No
    
        Presenter(s): Erick Rivera-Grana, MD
    
        Faculty Discussant(s): Janet L. Davis, MD
    
 Acute Zonal Occult Outer Retinopathy (AZOOR) A patient with a history of photopsias in the left eye for approximately 20 years comes for evaluation due to photopsias now involving both eyes. Concomitantly, the patient also notices scotomas in both eyes. Infectious, immune, and degenerative retinopa…
                                    
                                    Acute Zonal Occult Outer Retinopathy (AZOOR)
Specialty: Retina and Vitreous Diseases
                                    
        Type: Online Grand Rounds
    
        Include in Catalogue?: Yes
    
        Presenter(s): Erick Rivera-Grana, MD
    
        Faculty Discussant(s): Janet L. Davis, MD
    
        Presenter/Faculty: Davis, Rivera-Grana
    
 Acute Zonal Occult Outer Retinopathy (AZOOR) A patient with a history of photopsias in the left eye for approximately 20 years comes for evaluation due to photopsias now involving both eyes. Concomitantly, the patient also notices scotomas in both eyes. Infectious, immune, and degenerative retinopa…
                                    
                                    Bardet-Biedl Syndrome
Specialty: Retina and Vitreous Diseases
                                    
        Include in Catalogue?: No
    
        Presenter(s): Mariana Abi Karam, MD
    
        Faculty Discussant(s): Jaclyn L. Kovach, MD
    
 Abstract A young adult presented with progressive decrease in the visual acuity of both eyes. Past medical history included idiopathic intracranial hypertension suspect, obesity, learning disabilities, anxiety, polydactyly (status post excision of an extra toe). Family history includes a paternal a…
                                    
                                    Bardet-Biedl Syndrome
Specialty: Retina and Vitreous Diseases
                                    
        Include in Catalogue?: No
    
        Presenter(s): Mariana Abi Karam, MD
    
        Faculty Discussant(s): Jaclyn L. Kovach, MD
    
 Bardet-Biedl Syndrome A young adult presented with progressive decrease in the visual acuity of both eyes. Past medical history included idiopathic intracranial hypertension suspect, obesity, learning disabilities, anxiety, polydactyly (status post excision of an extra toe). Family history includes…
                                    
                                    Bardet-Biedl Syndrome
Specialty: Retina and Vitreous Diseases
                                    
        Type: Online Grand Rounds
    
        Include in Catalogue?: Yes
    
        Presenter(s): Mariana Abi Karam, MD
    
        Faculty Discussant(s): Jaclyn L. Kovach, MD
    
        Presenter/Faculty: Abi Karam, Kovach
    
 Bardet-Biedl Syndrome A young adult presented with progressive decrease in the visual acuity of both eyes. Past medical history included idiopathic intracranial hypertension suspect, obesity, learning disabilities, anxiety, polydactyly (status post excision of an extra toe). Family history includes…
                                    
                                    Slipped Medial Rectus Muscle
Specialty: Pediatric Ophthalmology and Strabismus
                                    
        Type: Ophthalmic Images
    
        Include in Catalogue?: Yes
    
        Original Contributor(s): Omar Abu Su’ud, MD; Craig A. McKeown, MD
    
        Presenter/Faculty: Abu Su'ud, McKeown
    
A patient with slipped right medial rectus 5 days after recession of medial rectus muscle in both eyes, intraoperative images showing slipped muscle.
Best of Interactive Consultations in Cornea, Cataract and Refractive Surgery 2023
Specialty: Corneal and External Diseases
                                    
        Type: Other Lectures
    
        Include in Catalogue?: Yes
    
        Original Contributor(s): Kendall E. Donaldson, MD, MS; Anat Galor, MD, MSPH
    
        Presenter/Faculty: Donaldson, Galor
    
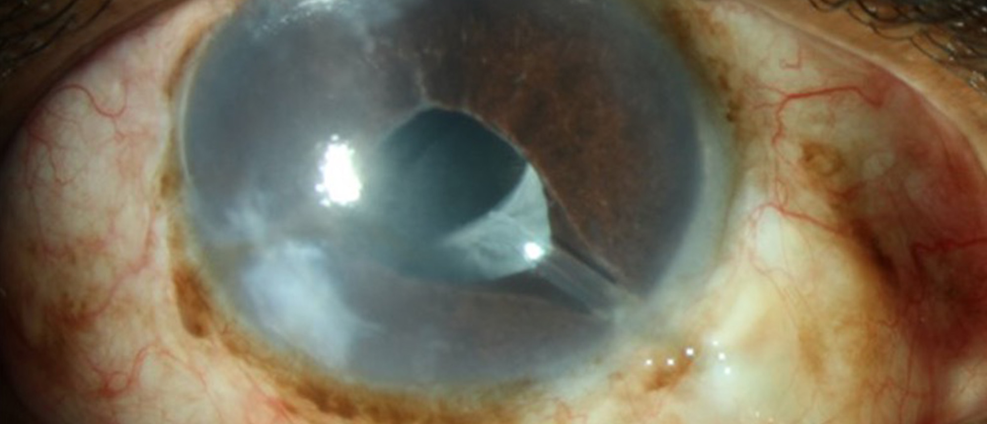
Marfan Syndrome with Ectopia Lentis
Specialty: Corneal and External Diseases
                                    
        Include in Catalogue?: No
    
        Presenter(s): Akaanksh Shetty, MD
    
        Faculty Discussant(s): Hilda Capo, MD; Jayanth Sridhar, MD
    
 Marfan Syndrome with Ectopia Lentis A young child presented to the ophthalmology clinic with blurry vision. Slit lamp examination was notable for superotemporally subluxed lenses in both eyes, along with a tall slender body frame. Due to these findings, the patient was referred to a geneticist and …
                                    
                                    Marfan Syndrome with Ectopia Lentis
Specialty: Pediatric Ophthalmology and Strabismus
                                    
        Type: Online Grand Rounds
    
        Include in Catalogue?: Yes
    
        Presenter(s): Akaanksh Shetty, MD
    
        Faculty Discussant(s): Hilda Capo, MD; Jayanth Sridhar, MD
    
        Presenter/Faculty: Capo, Shetty, Sridhar
    
 Marfan Syndrome with Ectopia Lentis A young child presented to the ophthalmology clinic with blurry vision. Slit lamp examination was notable for superotemporally subluxed lenses in both eyes, along with a tall slender body frame. Due to these findings, the patient was referred to a geneticist and …
                                    
                                    Nontuberculous Mycobacteria Keratitis
Specialty: Pediatric Ophthalmology and Strabismus
                                    
        Include in Catalogue?: No
    
        Presenter(s): Margaret Wang French, MD
    
        Faculty Discussant(s): Guillermo Amescua, MD; Alfonso L. Sabater, MD, PhD
    
 Abstract A patient five months after bilateral simultaneous cataract surgery in another country presents to the BPEI emergency room with bilateral decreased vision and extreme right eye pain for the last 2 weeks. Their exam was notable for visual acuity of hand motion in the right eye and 20/150 in…