Juvenile X-linked Retinoschisis
Specialty: Pediatric Ophthalmology and Strabismus
Type: Online Grand Rounds
Include in Catalogue?: Yes
Presenter(s): Lauren C. Kiryakoza, MD
Faculty Discussant(s): Audina M. Berrocal, MD
Presenter/Faculty: Berrocal, Kiryakoza
Juvenile X-linked Retinoschisis A pediatric patient with a past medical history of Kawasaki disease presents for retinal evaluation of reported vitreous hemorrhage in the right eye and retinal detachment in the left eye. The visual acuity was 20/200 in the right eye and 20/800 in the left eye. The …
Choroideremia Associated with Choroidal Neovascularization
Specialty: Retina and Vitreous Diseases
Type: Ophthalmic Images
Include in Catalogue?: Yes
Original Contributor(s): Audina M. Berrocal, MD; Anne L. Kunkler, MD; Byron L. Lam, MD; Thomas A. Lazzarini, MD; Landon J. Rohowetz, MD; Jesse D. Sengillo, MD
Presenter/Faculty: Berrocal, Kunkler, Lam, Lazzarini, Sengillo, Rohowetz
A patient presented with a central scotoma in the right eye. Fundus examination revealed midperipheral chorioretinal atrophy in both eyes (Fig A). Fundus autofluorescence demonstrated areas of confluent midperipheral hypoautofluorescence (Fig B). Optical coherence tomography demonstrated choroidal …
Dorzolamide Induced Choroidal Effusion
Specialty: Retina and Vitreous Diseases
Include in Catalogue?: No
Presenter(s): Sara Schultis, MD
Faculty Discussant(s): David S. Greenfield, MD; Nicolas A. Yannuzzi, MD
Abstract A patient with POAG of both eyes presented with unilateral decreased vision and flashes to the left eye after starting dorzolamide two days prior. Visual acuity was 20/40 in the right eye and 20/20 in the left eye. Intraocular pressure was 09 OD and 08 OS. Anterior segment exam was unremar…
Dorzolamide Induced Choroidal Effusion
Specialty: Retina and Vitreous Diseases
Include in Catalogue?: No
Presenter(s): Sara Schultis, MD
Faculty Discussant(s): David S. Greenfield, MD; Nicolas A. Yannuzzi, MD
Dorzolamide Induced Choroidal Effusion A patient with POAG of both eyes presented with unilateral decreased vision and flashes to the left eye after starting dorzolamide two days prior. Visual acuity was 20/40 in the right eye and 20/20 in the left eye. Intraocular pressure was 09 OD and 08 OS. Ant…
Dorzolamide Induced Choroidal Effusion
Specialty: Glaucoma
Type: Online Grand Rounds
Include in Catalogue?: Yes
Presenter(s): Sara Schultis, MD
Faculty Discussant(s): David S. Greenfield, MD; Nicolas A. Yannuzzi, MD
Presenter/Faculty: Greenfield, Schultis, Yannuzzi
Dorzolamide Induced Choroidal Effusion A patient with POAG of both eyes presented with unilateral decreased vision and flashes to the left eye after starting dorzolamide two days prior. Visual acuity was 20/40 in the right eye and 20/20 in the left eye. Intraocular pressure was 09 OD and 08 OS. Ant…
Intraocular Foreign Body
Specialty: Glaucoma
Include in Catalogue?: No
Presenter(s): Crystal Zhang, MD
Faculty Discussant(s): Zelia M. Correa, MD, PhD; Ellen Koo, MD
Abstract A patient with past ocular history of remote trauma, unilateral retinal detachment repair, and cataract extraction presented with inferior iris pigmentation and chronic corneal edema. He complains of decreased vision, redness, and foreign body sensation. His visual acuity was 20/25-2 in th…
Intraocular Foreign Body
Specialty: Glaucoma
Include in Catalogue?: No
Presenter(s): Crystal Zhang, MD
Faculty Discussant(s): Zelia M. Correa, MD, PhD; Ellen Koo, MD
Intraocular Foreign Body A patient with past ocular history of remote trauma, unilateral retinal detachment repair, and cataract extraction presented with inferior iris pigmentation and chronic corneal edema. He complains of decreased vision, redness, and foreign body sensation. His visual acuity w…
Intraocular Foreign Body
Specialty: Corneal and External Diseases
Type: Online Grand Rounds
Include in Catalogue?: Yes
Presenter(s): Crystal Zhang, MD
Faculty Discussant(s): Zelia M. Correa, MD, PhD; Ellen Koo, MD
Presenter/Faculty: Correa, Koo, Zhang
Intraocular Foreign Body A patient with past ocular history of remote trauma, unilateral retinal detachment repair, and cataract extraction presented with inferior iris pigmentation and chronic corneal edema. He complains of decreased vision, redness, and foreign body sensation. His visual acuity w…
Restrictive Strabismus Secondary to a Large Encapsulated Non-Valved Glaucoma Drainage Implant Fibrotic Capsule
Specialty: Corneal and External Diseases
Include in Catalogue?: No
Presenter(s): Humberto Salazar, III, MD
Faculty Discussant(s): Elena Bitrian, MD; Hilda Capo, MD; Byron L. Lam, MD
Abstract A patient with a history of primary open angle glaucoma of both eyes and myopic degeneration with amblyopia and chronic poor central vision of the right eye presented with elevated intraocular pressure in both eyes. Baseline imaging of the left eye demonstrated inferior peripapillary RNFL …
Restrictive Strabismus Secondary to a Large Encapsulated Non-Valved Glaucoma Drainage Implant Fibrotic Capsule
Specialty: Corneal and External Diseases
Include in Catalogue?: No
Presenter(s): Humberto Salazar, III, MD
Faculty Discussant(s): Elena Bitrian, MD; Hilda Capo, MD; Byron L. Lam, MD
Restrictive Strabismus Secondary to a Large Encapsulated Non-Valved Glaucoma Drainage Implant Fibrotic Capsule A patient with a history of primary open angle glaucoma of both eyes and myopic degeneration with amblyopia and chronic poor central vision of the right eye presented with elevated intraoc…
Restrictive Strabismus Secondary to a Large Encapsulated Non-Valved Glaucoma Drainage Implant Fibrotic Capsule
Specialty: Glaucoma
Type: Online Grand Rounds
Include in Catalogue?: Yes
Presenter(s): Humberto Salazar, III, MD
Faculty Discussant(s): Elena Bitrian, MD; Hilda Capo, MD; Byron L. Lam, MD
Presenter/Faculty: Bitrian, Capo, Lam, Salazar
Restrictive Strabismus Secondary to a Large Encapsulated Non-Valved Glaucoma Drainage Implant Fibrotic Capsule A patient with a history of primary open angle glaucoma of both eyes and myopic degeneration with amblyopia and chronic poor central vision of the right eye presented with elevated intraoc…
Trabeculectomy, Tube Ligation, and Excision of Fibrotic Capsule for Diplopia after Glaucoma Drainage Implant
Specialty: Glaucoma
Type: Surgical Videos
Include in Catalogue?: Yes
Original Contributor(s): Elena Bitrian, MD; Humberto Salazar, III, MD
Presenter/Faculty: Bitrian, Salazar
Cosmetic Iris Implant
Specialty: Glaucoma
Include in Catalogue?: No
Presenter(s): Naomi E. Gutkind, MD
Faculty Discussant(s): Guillermo Amescua, MD; Elena Bitrian, MD
Abstract A patient presented for bilateral blurred vision and eye pain of 3 days duration. The patient had previously undergone bilateral LASIK and cosmetic iris implantation. He was found to have decreased vision of 20/800 on the right eye and could see the 20/200 E when held at his face on the le…
Cosmetic Iris Implant
Specialty: Glaucoma
Include in Catalogue?: No
Presenter(s): Naomi E. Gutkind, MD
Faculty Discussant(s): Guillermo Amescua, MD; Elena Bitrian, MD
Cosmetic Iris Implant A patient presented for bilateral blurred vision and eye pain of 3 days duration. The patient had previously undergone bilateral LASIK and cosmetic iris implantation. He was found to have decreased vision of 20/800 on the right eye and could see the 20/200 E when held at his f…
Cosmetic Iris Implant
Specialty: Corneal and External Diseases
Type: Online Grand Rounds
Include in Catalogue?: Yes
Presenter(s): Naomi E. Gutkind, MD
Faculty Discussant(s): Guillermo Amescua, MD; Elena Bitrian, MD
Presenter/Faculty: Amescua, Bitrian, Gutkind
Cosmetic Iris Implant A patient presented for bilateral blurred vision and eye pain of 3 days duration. The patient had previously undergone bilateral LASIK and cosmetic iris implantation. He was found to have decreased vision of 20/800 on the right eye and could see the 20/200 E when held at his f…
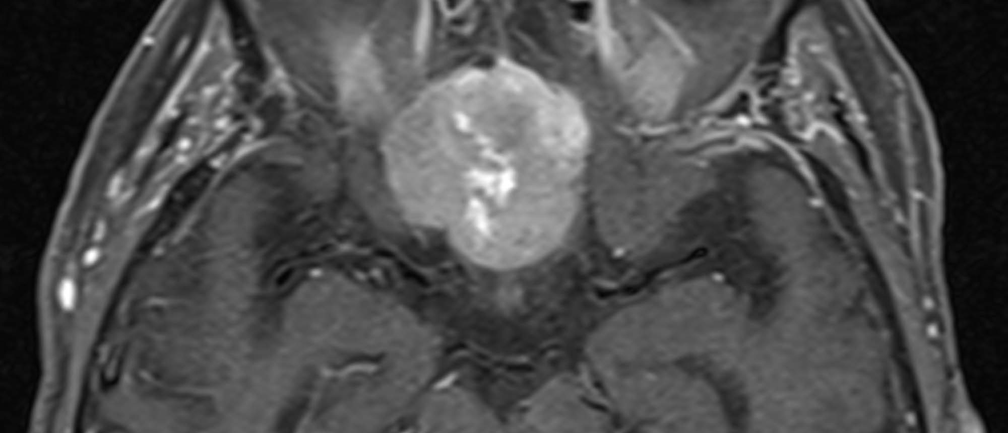
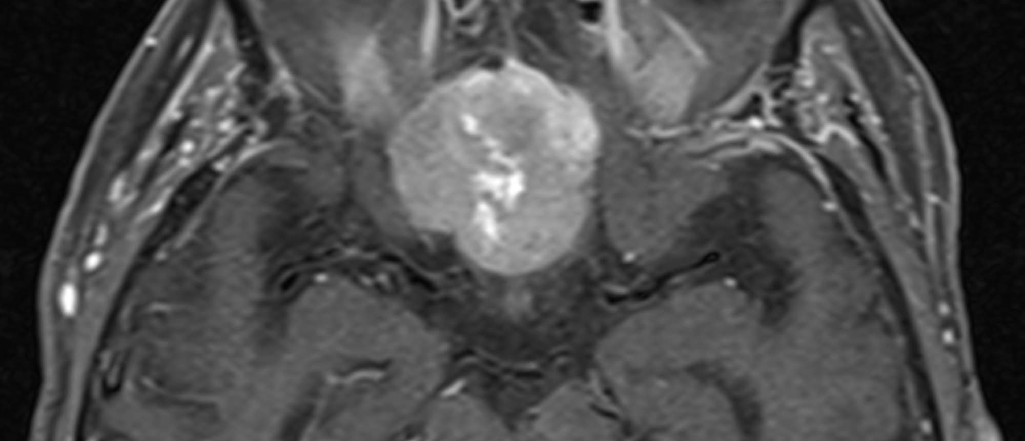
Tolosa Hunt Syndrome
Specialty: Corneal and External Diseases
Include in Catalogue?: No
Presenter(s): Caroline L. Lieux, MD
Faculty Discussant(s): Byron L. Lam, MD
Abstract Tolosa Hunt Syndrome is an idiopathic inflammatory process of the cavernous sinus of unknown etiology. There are no known risk factors, but an inciting event, such as a viral illness, vaccination, trauma, or tumors, are known to be preceding events that result in nonspecific inflammation o…
Tolosa Hunt Syndrome
Specialty: Corneal and External Diseases
Include in Catalogue?: No
Presenter(s): Caroline L. Lieux, MD
Faculty Discussant(s): Byron L. Lam, MD
Tolosa Hunt Syndrome Tolosa Hunt Syndrome is an idiopathic inflammatory process of the cavernous sinus of unknown etiology. There are no known risk factors, but an inciting event, such as a viral illness, vaccination, trauma, or tumors, are known to be preceding events that result in nonspecific in…
Tolosa Hunt Syndrome
Specialty: Neuro-Ophthalmology
Type: Online Grand Rounds
Include in Catalogue?: Yes
Presenter(s): Caroline L. Lieux, MD
Faculty Discussant(s): Byron L. Lam, MD
Presenter/Faculty: Lam, Lieux
Tolosa Hunt Syndrome Tolosa Hunt Syndrome is an idiopathic inflammatory process of the cavernous sinus of unknown etiology. There are no known risk factors, but an inciting event, such as a viral illness, vaccination, trauma, or tumors, are known to be preceding events that result in nonspecific in…
Corneal Decompensation Due to Cosmetic Iris Implants
Specialty: Corneal and External Diseases
Type: Ophthalmic Images
Include in Catalogue?: Yes
Original Contributor(s): Guillermo Amescua, MD; Elena Bitrian, MD; Naomi E. Gutkind, MD
Presenter/Faculty: Amescua, Bitrian, Gutkind
A patient with bilateral corneal edema and elevated intraocular pressure due to cosmetic iris implants. Slit lamp photos showing left worse than right corneal edema, with distortion of native iris behind the implant. High resolution ultrasound biomicroscopy showing iris implant resting in the angle…
Heavy Eye Syndrome/Adult Onset Esotropia Secondary to High Axial Myopia
Specialty: Corneal and External Diseases
Include in Catalogue?: No
Presenter(s): Michelle Attzs, MBBS, MD
Faculty Discussant(s): Hilda Capo, MD
Abstract A patient with history of amblyopia right eye, and no previous ocular surgery or childhood strabismus presents with large angle esotropia and hypotropia. Exam was notable for hand movements vision in the right eye and 20/20 in the left eye. On slit lamp examination, the patient had bilater…