Uveal Effusion Syndrome
Include in Catalogue?: No
Presenter(s): Elli Park, MD
Faculty Discussant(s): Zelia M. Correa, MD, PhD
Uveal Effusion Syndrome A patient was referred by an outside provider with a history of decreased vision in the right eye for one year. Their ocular history included glaucoma in both eyes and Fuch’s corneal dystrophy. The visual acuity was 20/200 OD and 20/30 OS. The IOP was 18 OD and 24 OS. The …
Uveal Effusion Syndrome
Specialty: Retina and Vitreous Diseases
Type: Online Grand Rounds
Include in Catalogue?: Yes
Presenter(s): Elli Park, MD
Faculty Discussant(s): Zelia M. Correa, MD, PhD
Presenter/Faculty: Correa, Park
Uveal Effusion Syndrome A patient was referred by an outside provider with a history of decreased vision in the right eye for one year. Their ocular history included glaucoma in both eyes and Fuch’s corneal dystrophy. The visual acuity was 20/200 OD and 20/30 OS. The IOP was 18 OD and 24 OS. The …
Retinal Tear
Specialty: Retina and Vitreous Diseases
Include in Catalogue?: No
Presenter(s): Lauren C. Kiryakoza, MD
Faculty Discussant(s): Harry W. Flynn, Jr., MD
Abstract An asymptomatic patient presented for routine ophthalmic examination. The anterior segment examination was significant for cataracts in both eyes. The dilated fundus examination revealed a superotemporal horseshoe tear (HST) with surrounding subretinal fluid in the right eye and was normal…
Retinal Tear
Specialty: Retina and Vitreous Diseases
Include in Catalogue?: No
Presenter(s): Lauren C. Kiryakoza, MD
Faculty Discussant(s): Harry W. Flynn, Jr., MD
Retinal Tear An asymptomatic patient presented for routine ophthalmic examination. The anterior segment examination was significant for cataracts in both eyes. The dilated fundus examination revealed a superotemporal horseshoe tear (HST) with surrounding subretinal fluid in the right eye and was no…
Retinal Tear
Specialty: Retina and Vitreous Diseases
Type: Online Grand Rounds
Include in Catalogue?: Yes
Presenter(s): Lauren C. Kiryakoza, MD
Faculty Discussant(s): Harry W. Flynn, Jr., MD
Presenter/Faculty: Flynn, Kiryakoza
Retinal Tear An asymptomatic patient presented for routine ophthalmic examination. The anterior segment examination was significant for cataracts in both eyes. The dilated fundus examination revealed a superotemporal horseshoe tear (HST) with surrounding subretinal fluid in the right eye and was no…
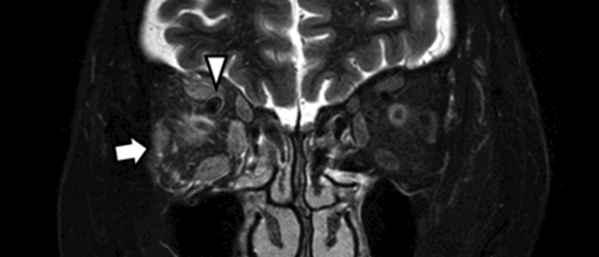
Subconjunctival Dirofilariasis
Specialty: Retina and Vitreous Diseases
Include in Catalogue?: No
Presenter(s): Sugi Panneerselvam, MD
Faculty Discussant(s): Sander R. Dubovy, MD; Sonia H. Yoo, MD
Abstract A patient presents with one week of left eye redness and irritation. There was no inciting event or trauma. At presentation, his vision was 20/20 in both eyes, intraocular pressure within normal limits, and pupils equal and reactive bilaterally without afferent pupillary defect. Exam was n…
Subconjunctival Dirofilariasis
Specialty: Retina and Vitreous Diseases
Include in Catalogue?: No
Presenter(s): Sugi Panneerselvam, MD
Faculty Discussant(s): Sander R. Dubovy, MD; Sonia H. Yoo, MD
Subconjunctival Dirofilariasis A patient presents with one week of left eye redness and irritation. There was no inciting event or trauma. At presentation, his vision was 20/20 in both eyes, intraocular pressure within normal limits, and pupils equal and reactive bilaterally without afferent pupill…
Subconjunctival Dirofilariasis
Specialty: Corneal and External Diseases
Type: Online Grand Rounds
Include in Catalogue?: Yes
Presenter(s): Sugi Panneerselvam, MD
Faculty Discussant(s): Sander R. Dubovy, MD; Sonia H. Yoo, MD
Presenter/Faculty: Dubovy, Panneerselvam, Yoo
Subconjunctival Dirofilariasis A patient presents with one week of left eye redness and irritation. There was no inciting event or trauma. At presentation, his vision was 20/20 in both eyes, intraocular pressure within normal limits, and pupils equal and reactive bilaterally without afferent pupill…
Torpedo Maculopathy (Left Eye)
Specialty: Retina and Vitreous Diseases
Type: Ophthalmic Images
Include in Catalogue?: Yes
Original Contributor(s): Jeffrey Brown, MD; Zelia M. Correa, MD, PhD
Presenter/Faculty: Brown, Correa
A patient with double Torpedo Maculopathy lesions in the left eye. Two lesions are noted inferior to the macula with associated RPE changes and overlying fluid. Funds autofluorescence images show areas of hypofluorescence and hyperfluorescence correlating with the RPE changes on fundus photos.
Orbital Rhabdomyosarcoma - Recurrence
Specialty: Retina and Vitreous Diseases
Include in Catalogue?: No
Presenter(s): Spencer C. Barrett, MD
Faculty Discussant(s): Sander R. Dubovy, MD; Thomas E. Johnson, MD
Abstract A young patient with notable past ocular history of orbital rhabdomyosarcoma, s/p chemotherapy with vincristine, dactinomycin, and cyclophosphamide, and proton beam radiation presented to Bascom Palmer ED with 2 days of blurry vision and “seeing everything green” OD. The patient was im…
Orbital Rhabdomyosarcoma - Recurrence
Specialty: Retina and Vitreous Diseases
Include in Catalogue?: No
Presenter(s): Spencer C. Barrett, MD
Faculty Discussant(s): Sander R. Dubovy, MD; Thomas E. Johnson, MD
Orbital Rhabdomyosarcoma - Recurrence A young patient with notable past ocular history of orbital rhabdomyosarcoma, s/p chemotherapy with vincristine, dactinomycin, and cyclophosphamide, and proton beam radiation presented to Bascom Palmer ED with 2 days of blurry vision and “seeing everything gr…
Orbital Rhabdomyosarcoma - Recurrence
Specialty: Ocular Oncology
Type: Online Grand Rounds
Include in Catalogue?: Yes
Presenter(s): Spencer C. Barrett, MD
Faculty Discussant(s): Sander R. Dubovy, MD; Thomas E. Johnson, MD
Presenter/Faculty: Barrett, Dubovy, Johnson
Orbital Rhabdomyosarcoma - Recurrence A young patient with notable past ocular history of orbital rhabdomyosarcoma, s/p chemotherapy with vincristine, dactinomycin, and cyclophosphamide, and proton beam radiation presented to Bascom Palmer ED with 2 days of blurry vision and “seeing everything gr…
Simultaneous Bilateral Rhegmatogenous Retinal Detachment
Specialty: Ocular Oncology
Include in Catalogue?: No
Presenter(s): Daniel A. Balikov, MD, PhD
Faculty Discussant(s): Thomas A. Albini, MD
Abstract A patient with a past ocular history of refractive LASIK/PRK surgery and high myopia presented for evaluation of blurred vision in the left eye. The patient noted vision changes starting 2.5 months prior to presentation but had not noted any changes in vision in the right eye. Exam was not…
Simultaneous Bilateral Rhegmatogenous Retinal Detachment
Specialty: Ocular Oncology
Include in Catalogue?: No
Presenter(s): Daniel A. Balikov, MD
Faculty Discussant(s): Thomas A. Albini, MD
Simultaneous Bilateral Rhegmatogenous Retinal Detachment A patient with a past ocular history of refractive LASIK/PRK surgery and high myopia presented for evaluation of blurred vision in the left eye. The patient noted vision changes starting 2.5 months prior to presentation but had not noted any …
Simultaneous Bilateral Rhegmatogenous Retinal Detachment
Specialty: Retina and Vitreous Diseases
Type: Online Grand Rounds
Include in Catalogue?: Yes
Presenter(s): Daniel A. Balikov, MD, PhD
Faculty Discussant(s): Thomas A. Albini, MD
Presenter/Faculty: Albini, Balikov
Simultaneous Bilateral Rhegmatogenous Retinal Detachment A patient with a past ocular history of refractive LASIK/PRK surgery and high myopia presented for evaluation of blurred vision in the left eye. The patient noted vision changes starting 2.5 months prior to presentation but had not noted any …
Conjunctival Excision and Extraction of Ocular Nematode
Specialty: Corneal and External Diseases
Type: Surgical Videos
Include in Catalogue?: Yes
Original Contributor(s): Sander R. Dubovy, MD; Sugi Panneerselvam, MD; Sonia H. Yoo, MD
Presenter/Faculty: Dubovy, Panneerselvam, Yoo
Bleb-Associated Endophthalmitis
Specialty: Corneal and External Diseases
Include in Catalogue?: No
Presenter(s): Ramsey Yusuf, MD
Faculty Discussant(s): Harry W. Flynn, Jr., MD; Sarah Wellik, MD
Abstract An adult patient presented to the Bascom Palmer emergency room for evaluation of two days of pain, redness, discharge, and vision loss of the left eye. He had a history of open angle glaucoma and underwent trabeculectomy bilaterally in both eyes two years prior to presentation. His vision …
Bleb-Associated Endophthalmitis
Specialty: Corneal and External Diseases
Include in Catalogue?: No
Presenter(s): Ramsey Yusuf, MD
Faculty Discussant(s): Harry W. Flynn, Jr., MD; Sarah Wellik, MD
Bleb-Associated Endophthalmitis An adult patient presented to the Bascom Palmer emergency room for evaluation of two days of pain, redness, discharge, and vision loss of the left eye. He had a history of open angle glaucoma and underwent trabeculectomy bilaterally in both eyes two years prior to pr…
Bleb-Associated Endophthalmitis
Specialty: Glaucoma
Type: Online Grand Rounds
Include in Catalogue?: Yes
Presenter(s): Ramsey Yusuf, MD
Faculty Discussant(s): Harry W. Flynn, Jr., MD; Sarah Wellik, MD
Presenter/Faculty: Flynn, Wellik, Yusuf
Bleb-Associated Endophthalmitis An adult patient presented to the Bascom Palmer emergency room for evaluation of two days of pain, redness, discharge, and vision loss of the left eye. He had a history of open angle glaucoma and underwent trabeculectomy bilaterally in both eyes two years prior to pr…
Keratitis Due to Severe Sinonasal Disease with Underlying Granulomatosis with Polyangiitis
Specialty: Glaucoma
Include in Catalogue?: No
Presenter(s): Yasman Moshiri, MD
Faculty Discussant(s): Guillermo Amescua, MD; Carol L. Karp, MD
Abstract A young patient with no known prior medical history presents with decreased vision and pain in the right eye. On presentation, patient’s exam was notable for visual acuity of 20/150 in the right eye and 20/20 in the left eye. Intraocular pressure was 14 and 16 in the right and left eye, …