West Nile Virus Chorioretinitis
Include in Catalogue?: No
Presenter(s): Carolina Mercado, MD
Faculty Discussant(s): Janet L. Davis, MD; Jaclyn L. Kovach, MD
West Nile Virus Chorioretinitis A patient with a recent history of meningoencephalitis presents with blurry vision and increased number of floaters noted after discharge. During hospitalization, he required IV treatment with Meropenem and Acyclovir due to unclear etiology. Past ocular history was c…
West Nile Virus Chorioretinitis
Specialty: Retina and Vitreous Diseases
Type: Online Grand Rounds
Include in Catalogue?: Yes
Presenter(s): Carolina Mercado, MD
Faculty Discussant(s): Janet L. Davis, MD; Jaclyn L. Kovach, MD
Presenter/Faculty: Davis, Kovach, Mercado
West Nile Virus Chorioretinitis A patient with a recent history of meningoencephalitis presents with blurry vision and increased number of floaters noted after discharge. During hospitalization, he required IV treatment with Meropenem and Acyclovir due to unclear etiology. Past ocular history was c…
Bascom Headon Palmer Jr., MD
Specialty: Other
Type: Other Lectures
Include in Catalogue?: Yes
Presenter(s): Eduardo Alfonso, MD
Presenter/Faculty: Alfonso
West Nile Chorioretinits
Specialty: Retina and Vitreous Diseases
Type: Ophthalmic Images
Include in Catalogue?: Yes
Original Contributor(s): Janet L. Davis, MD; Jaclyn L. Kovach, MD; Carolina Mercado, MD
Presenter/Faculty: Davis, Kovach, Mercado
A patient with a history of lymphoma presents to clinic one month after encephalitis. On fundus examination scattered lineal chorioretinal scars are noted.
Bartonella Retinitis
Specialty: Retina and Vitreous Diseases
Include in Catalogue?: No
Presenter(s): Shima Dehghani, MD
Faculty Discussant(s): Stephanie M. Llop, MD
Abstract A patient presented to the emergency department with 2 days of floaters and pain with ocular movements. He endorsed exposure to stray cats and being scratched by a kitten. Best-corrected visual acuity was 20/20 in both eyes. Anterior segment exam was unremarkable and posterior exam reveale…
Bartonella Retinitis
Specialty: Retina and Vitreous Diseases
Include in Catalogue?: No
Presenter(s): Shima Dehghani, MD
Faculty Discussant(s): Stephanie M. Llop, MD
Bartonella Retinitis A patient presented to the emergency department with 2 days of floaters and pain with ocular movements. He endorsed exposure to stray cats and being scratched by a kitten. Best-corrected visual acuity was 20/20 in both eyes. Anterior segment exam was unremarkable and posterior …
Bartonella Retinitis
Specialty: Retina and Vitreous Diseases
Type: Online Grand Rounds
Include in Catalogue?: Yes
Presenter(s): Shima Dehghani, MD
Faculty Discussant(s): Stephanie M. Llop, MD
Presenter/Faculty: Dehghani, Llop
Bartonella Retinitis A patient presented to the emergency department with 2 days of floaters and pain with ocular movements. He endorsed exposure to stray cats and being scratched by a kitten. Best-corrected visual acuity was 20/20 in both eyes. Anterior segment exam was unremarkable and posterior …
Idiopathic Intracranial Hypertension
Specialty: Retina and Vitreous Diseases
Include in Catalogue?: No
Presenter(s): Christopher Burrell, MD
Faculty Discussant(s): Byron L. Lam, MD
Abstract A patient presented with two weeks of vision loss alongside a year-long complaint of left-sided neck stiffness and headaches. Past medical history was remarkable for end-stage renal disease on peritoneal hemodialysis. Examination was notable for blood pressure of 170/104, VA 20/25 OD and 2…
Idiopathic Intracranial Hypertension
Specialty: Retina and Vitreous Diseases
Include in Catalogue?: No
Presenter(s): Christopher Burrell, MD
Faculty Discussant(s): Byron L. Lam, MD
Idiopathic Intracranial Hypertension A patient presented with two weeks of vision loss alongside a year-long complaint of left-sided neck stiffness and headaches. Past medical history was remarkable for end-stage renal disease on peritoneal hemodialysis. Examination was notable for blood pressure o…
Idiopathic Intracranial Hypertension
Specialty: Neuro-Ophthalmology
Type: Online Grand Rounds
Include in Catalogue?: Yes
Presenter(s): Christopher Burrell, MD
Faculty Discussant(s): Byron L. Lam, MD
Presenter/Faculty: Burrell, Lam
Idiopathic Intracranial Hypertension A patient presented with two weeks of vision loss alongside a year-long complaint of left-sided neck stiffness and headaches. Past medical history was remarkable for end-stage renal disease on peritoneal hemodialysis. Examination was notable for blood pressure o…
Miller Fisher Syndrome
Specialty: Neuro-Ophthalmology
Include in Catalogue?: No
Presenter(s): Maria A. Vera-Silva, MD
Faculty Discussant(s): Carlos E. Mendoza Santiesteban, MD
Abstract A patient with no significant PMH presented with acute onset of diplopia associated with loss of balance 2 weeks after having an influenza infection. On examination: a bilateral limitation in adduction with end gaze nystagmus in the abducted eye was noted. Also, dilated and non-reactive pu…
Miller Fisher Syndrome
Specialty: Neuro-Ophthalmology
Include in Catalogue?: No
Presenter(s): Maria A. Vera-Silva, MD
Faculty Discussant(s): Carlos E. Mendoza Santiesteban, MD
Miller Fisher Syndrome A patient with no significant PMH presented with acute onset of diplopia associated with loss of balance 2 weeks after having an influenza infection. On examination: a bilateral limitation in adduction with end gaze nystagmus in the abducted eye was noted. Also, dilated and n…
Miller Fisher Syndrome
Specialty: Neuro-Ophthalmology
Type: Online Grand Rounds
Include in Catalogue?: Yes
Presenter(s): Maria A. Vera-Silva, MD
Faculty Discussant(s): Carlos E. Mendoza Santiesteban, MD
Presenter/Faculty: Mendoza, Vera-Silva
Miller Fisher Syndrome A patient with no significant PMH presented with acute onset of diplopia associated with loss of balance 2 weeks after having an influenza infection. On examination: a bilateral limitation in adduction with end gaze nystagmus in the abducted eye was noted. Also, dilated and n…
Visualize 2024: Advancements in Ophthalmic Imaging and Research
Specialty: Other
Type: Other Lectures
Include in Catalogue?: Yes
Original Contributor(s): Maura Di Nicola, MD; Luis E. Vazquez, MD, PhD
Presenter/Faculty: Di Nicola, Vazquez
Bleb Leak
Specialty: Other
Include in Catalogue?: No
Presenter(s): Nicholas Gurney, MD
Faculty Discussant(s): Guillermo Amescua, MD; Elena Bitrian, MD
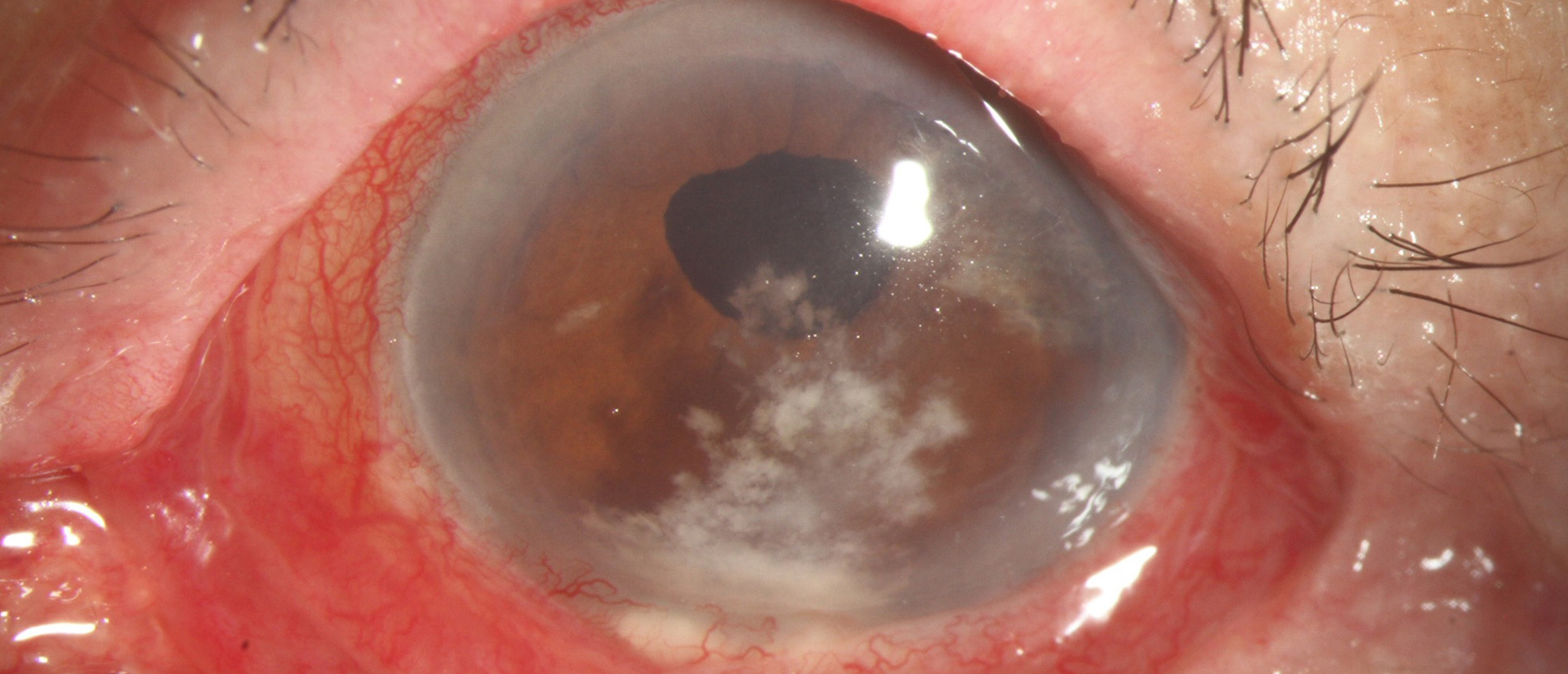
Abstract A patient with past ocular history of trabeculectomy for juvenile open angle glaucoma and DSAEK for Fuch’s endothelial corneal dystrophy presented to the emergency room with left eye blurred vision and redness. The patient was diagnosed with acute graft rejection. The patient was started…
Bleb Leak
Specialty: Other
Include in Catalogue?: No
Presenter(s): Nicholas Gurney, MD
Faculty Discussant(s): Guillermo Amescua, MD; Elena Bitrian, MD
Bleb Leak A patient with past ocular history of trabeculectomy for juvenile open angle glaucoma and DSAEK for Fuch’s endothelial corneal dystrophy presented to the emergency room with left eye blurred vision and redness. The patient was diagnosed with acute graft rejection. The patient was starte…
Bleb Leak
Specialty: Glaucoma
Type: Online Grand Rounds
Include in Catalogue?: Yes
Presenter(s): Nicholas Gurney, MD
Faculty Discussant(s): Guillermo Amescua, MD; Elena Bitrian, MD
Presenter/Faculty: Amescua, Bitrian, Gurney
Bleb Leak A patient with past ocular history of trabeculectomy for juvenile open angle glaucoma and DSAEK for Fuch’s endothelial corneal dystrophy presented to the emergency room with left eye blurred vision and redness. The patient was diagnosed with acute graft rejection. The patient was starte…
Phacomorphic Glaucoma and Anterior Lens Capsule Rupture After Laser Peripheral Iridotomy
Specialty: Glaucoma
Include in Catalogue?: No
Presenter(s): Javier Nahmias, MD
Faculty Discussant(s): Arindel S. Maharaj, MD, PhD
Abstract Patient with a history of multiple retinal detachments status post repair and brunescent cataract was seen at outside eye clinic with elevated intraocular pressure, eye pain and decreased vision. Vision was reported to be Light Perception and intraocular pressure was 42. Patient’s angle …
Phacomorphic Glaucoma and Anterior Lens Capsule Rupture After Laser Peripheral Iridotomy
Specialty: Glaucoma
Include in Catalogue?: No
Presenter(s): Javier Nahmias, MD
Faculty Discussant(s): Arindel S. Maharaj, MD, PhD
Phacomorphic Glaucoma and Anterior Lens Capsule Rupture After Laser Peripheral Iridotomy Patient with a history of multiple retinal detachments status post repair and brunescent cataract was seen at outside eye clinic with elevated intraocular pressure, eye pain and decreased vision. Vision was rep…
Phacomorphic Glaucoma and Anterior Lens Capsule Rupture After Laser Peripheral Iridotomy
Specialty: Cataracts and Intraocular Lenses
Type: Online Grand Rounds
Include in Catalogue?: Yes
Presenter(s): Javier Nahmias, MD
Faculty Discussant(s): Arindel S. Maharaj, MD, PhD
Presenter/Faculty: Maharaj, Nahmias
Phacomorphic Glaucoma and Anterior Lens Capsule Rupture After Laser Peripheral Iridotomy Patient with a history of multiple retinal detachments status post repair and brunescent cataract was seen at outside eye clinic with elevated intraocular pressure, eye pain and decreased vision. Vision was rep…