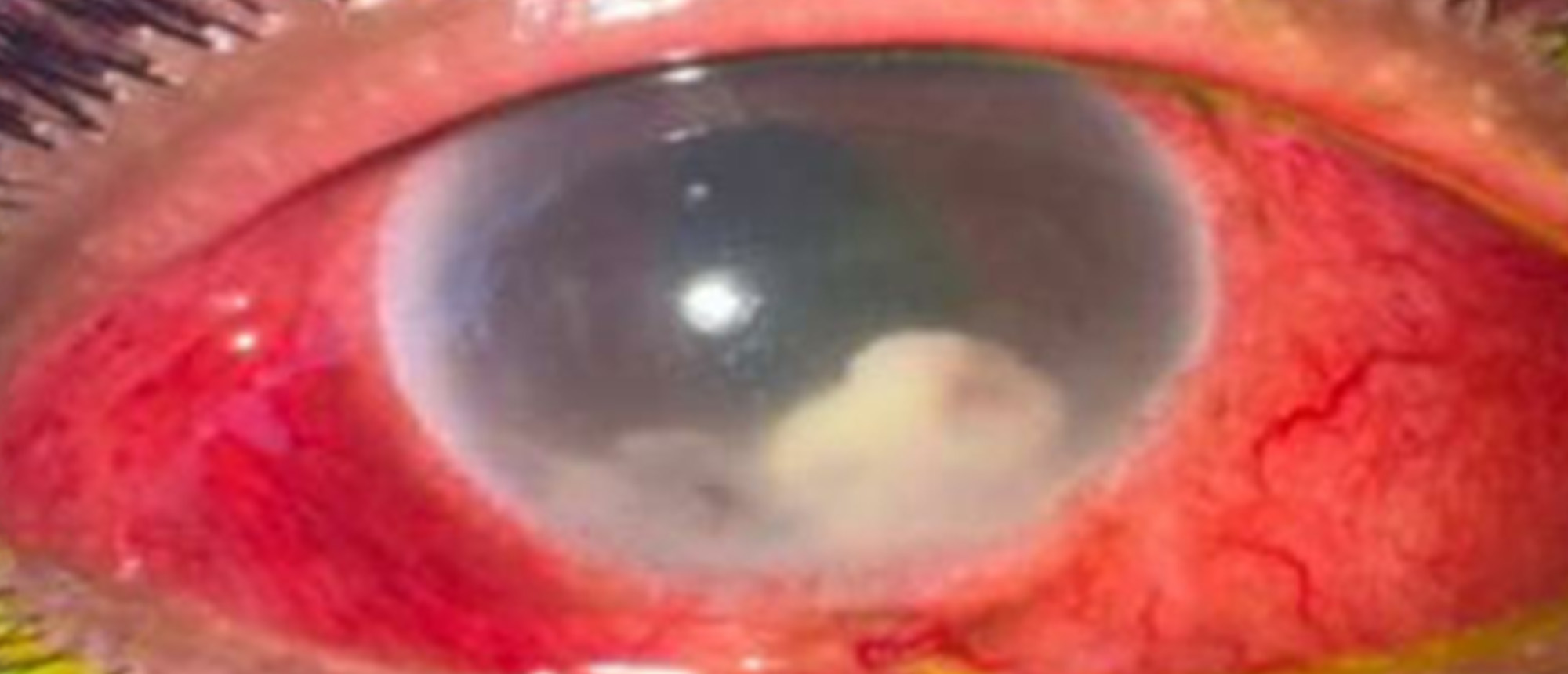
Specialty: Ocular Oncology
Type: Online Grand Rounds
Include in Catalogue?: Yes
Presenter(s): Lauren N. Hucko, MD, MPH
Faculty Discussant(s): Maura Di Nicola, MD; Sander R. Dubovy, MD; Basil Williams, MD




















