Uveitis Atlas
Specialty: Uveitis
Type: Ophthalmic Images
Include in Catalogue?: No
Original Contributor(s): Janet L. Davis, MD
Lorem ipsum dolor sit amet, consectetur adipiscing elit, sed do eiusmod tempor incididunt ut labore et dolore magna aliqua. Ut enim ad minim veniam, quis nostrud exercitation ullamco laboris nisi ut aliquip ex ea commodo consequat. Duis aute irure dolor in reprehenderit in voluptate velit esse cill…
Total Globe Subluxation Secondary to Pfeiffer Syndrome Type II
Specialty: Uveitis
Include in Catalogue?: No
Presenter(s): Lauren N. Hucko, MD, MPH
Faculty Discussant(s): Chris R. Alabiad, MD
Abstract A neonate born at 37 weeks via complicated vaginal delivery was transferred to Jackson Memorial Hospital on day five of life for evaluation of severe right eye proptosis. Prenatal care was limited, and no anatomy scan had been performed. Systemic examination revealed multiple congenital ab…
Total Globe Subluxation Secondary to Pfeiffer Syndrome Type II
Specialty: Uveitis
Include in Catalogue?: No
Presenter(s): Lauren N. Hucko, MD, MPH
Faculty Discussant(s): Chris R. Alabiad, MD
Total Globe Subluxation Secondary to Pfeiffer Syndrome Type II A neonate born at 37 weeks via complicated vaginal delivery was transferred to Jackson Memorial Hospital on day five of life for evaluation of severe right eye proptosis. Prenatal care was limited, and no anatomy scan had been performed…
Total Globe Subluxation Secondary to Pfeiffer Syndrome Type II
Specialty: Corneal and External Diseases
Type: Online Grand Rounds
Include in Catalogue?: Yes
Presenter(s): Lauren N. Hucko, MD, MPH
Faculty Discussant(s): Chris R. Alabiad, MD
Presenter/Faculty: Alabiad, Hucko
Total Globe Subluxation Secondary to Pfeiffer Syndrome Type II A neonate born at 37 weeks via complicated vaginal delivery was transferred to Jackson Memorial Hospital on day five of life for evaluation of severe right eye proptosis. Prenatal care was limited, and no anatomy scan had been performed…
Macular Choroidal Neovascularization (CNV) Secondary to Punctate Inner Choroiditis
Specialty: Retina and Vitreous Diseases
Type: Ophthalmic Images
Include in Catalogue?: Yes
Original Contributor(s): Marjan Imani Fooladi, MD; Jorge Fortun, MD
Presenter/Faculty: Fortun, Imani Fooladi
Multimodal imaging of a young myopic patient with punctate inner choroidopathy (PIC) and secondary choroidal neovascularization (CNV).
Leukemic Retinopathy
Specialty: Retina and Vitreous Diseases
Type: Surgical Videos
Include in Catalogue?: Yes
Original Contributor(s): Jin Kyun (Luke) Oh, MD; Jesse D. Sengillo, MD
Presenter/Faculty: Oh, Sengillo
Open Globes to Open Eyes: From Ocular Trauma to Vision Restoration
Specialty: Retina and Vitreous Diseases
Type: Other Lectures
Include in Catalogue?: Yes
Original Contributor(s): Lisa C. Olmos de Koo, MD, MBA
Presenter/Faculty: Olmos de Koo
Gemcitabine Induced Purtscher Like Retinopathy in Both Eyes
Specialty: Retina and Vitreous Diseases
Type: Ophthalmic Images
Include in Catalogue?: Yes
Original Contributor(s): Jaclyn L. Kovach, MD; Fernando Pellerano-Sosa, MD
Presenter/Faculty: Kovach, Pellerano-Sosa
Gemcitabine induced Purstchers like retinopathy in both eyes.
Mycobacterium Abscessus Endophthalmitis
Specialty: Retina and Vitreous Diseases
Type: Surgical Videos
Include in Catalogue?: Yes
Original Contributor(s): Luis J. Haddock, MD; Ellen Koo, MD; Jesintha Navaratnam, MBChB, PhD
Presenter/Faculty: Haddock, Koo, Navaratnam
OCT, FAF, Fundus Photos for Subcutaneous Pentosan Polysulfate Maculopathy
Specialty: Retina and Vitreous Diseases
Type: Ophthalmic Images
Include in Catalogue?: Yes
Original Contributor(s): Caroline M. Borie, MD; Jacob F. Smith, MD, MS; Nicolas A. Yannuzzi, MD
Presenter/Faculty: Borie, Smith, Yannuzzi
Color photos show bilateral paracentral RPE pigment clumps with subtle yellow subretinal deposits and symmetric parafoveal involvement, with foveae relatively spared. OCT demonstrates focal nodular RPE elevations, overlying EZ irregularity, parafoveal outer retinal thinning, and discrete patches of…
Intraoperative Aqueous Misdirection
Specialty: Cataracts and Intraocular Lenses
Type: Surgical Videos
Include in Catalogue?: Yes
Original Contributor(s): Arindel S. Maharaj, MD, PhD; Tyler Ogden, MD
Presenter/Faculty: Maharaj, Ogden
Stevens-Johnson Syndrome / Mycoplasma Induced Rash and Mucositis
Specialty: Cataracts and Intraocular Lenses
Include in Catalogue?: No
Presenter(s): Andrea Naranjo-Lozano, MD
Faculty Discussant(s): Guillermo Amescua, MD; Jaime D. Martinez Martinez, MD
Abstract A patient with history of bipolar disorder, recently started on Lamotrigine, presented with acute onset of malaise and a rapidly expanding vesiculobullous eruption over the past 24 hours. Lesions involved the face, oral mucosa, chest, genitals, extremities, and trunk. Associated symptoms i…
Stevens-Johnson Syndrome / Mycoplasma Induced Rash and Mucositis
Specialty: Cataracts and Intraocular Lenses
Include in Catalogue?: No
Presenter(s): Andrea Naranjo-Lozano, MD
Faculty Discussant(s): Guillermo Amescua, MD; Jaime D. Martinez Martinez, MD
Stevens-Johnson Syndrome / Mycoplasma Induced Rash and Mucositis A patient with history of bipolar disorder, recently started on Lamotrigine, presented with acute onset of malaise and a rapidly expanding vesiculobullous eruption over the past 24 hours. Lesions involved the face, oral mucosa, chest,…
Stevens-Johnson Syndrome / Mycoplasma Induced Rash and Mucositis
Specialty: Corneal and External Diseases
Type: Online Grand Rounds
Include in Catalogue?: Yes
Presenter(s): Andrea Naranjo-Lozano, MD
Faculty Discussant(s): Guillermo Amescua, MD; Jaime D. Martinez Martinez, MD
Presenter/Faculty: Amescua, Naranjo-Lozano, Martinez
Stevens-Johnson Syndrome / Mycoplasma Induced Rash and Mucositis A patient with history of bipolar disorder, recently started on Lamotrigine, presented with acute onset of malaise and a rapidly expanding vesiculobullous eruption over the past 24 hours. Lesions involved the face, oral mucosa, chest,…
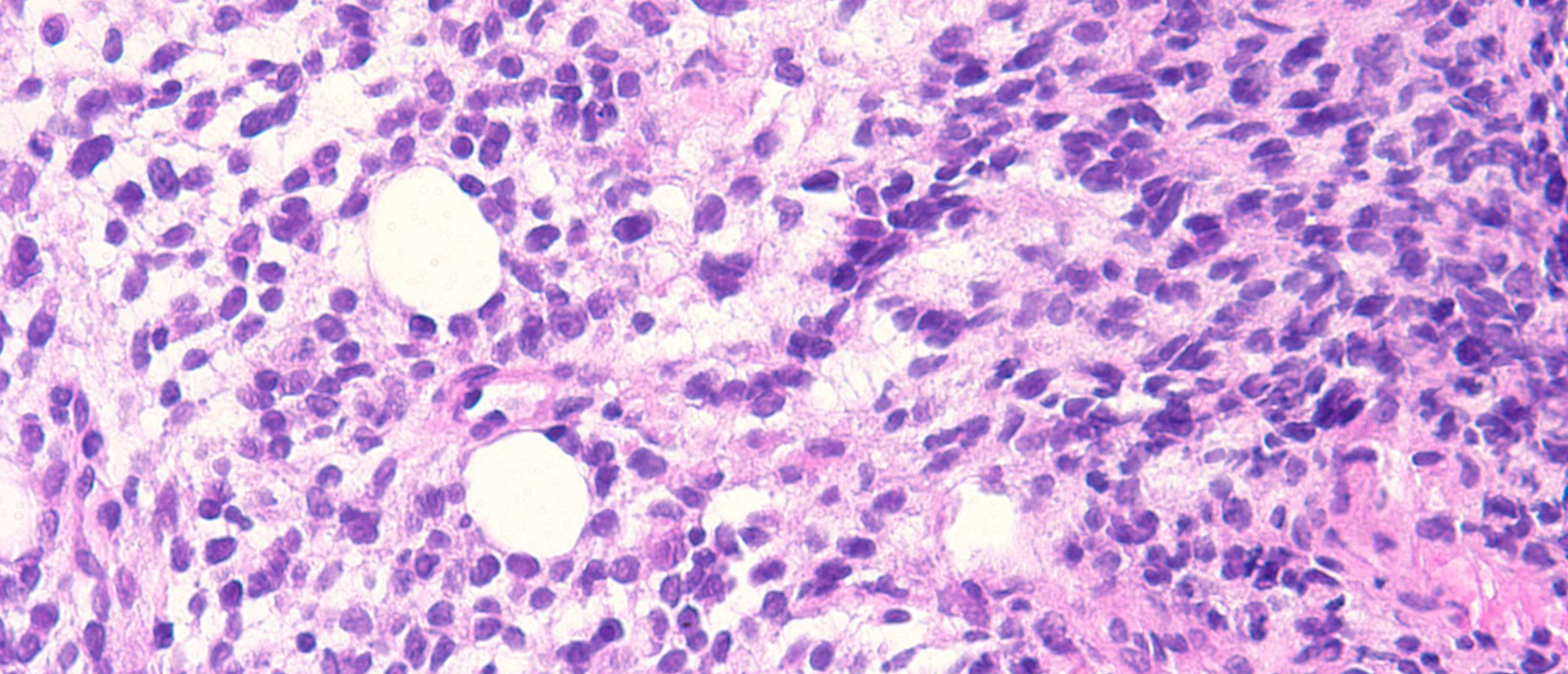
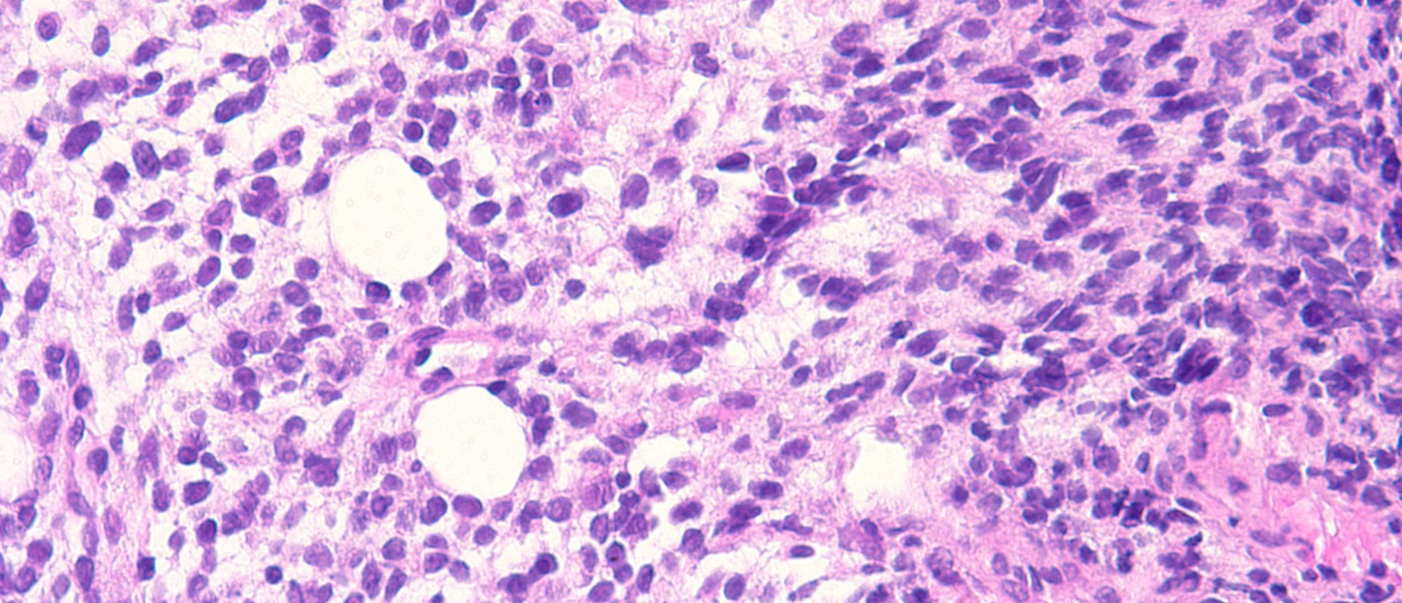
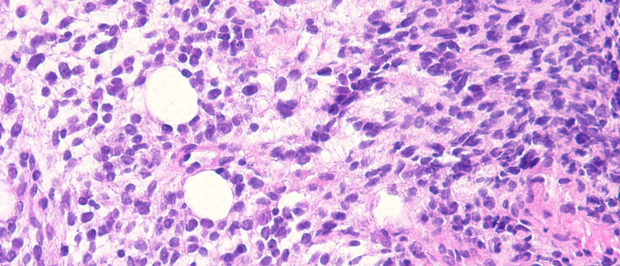
Bilateral Retinoblastoma
Specialty: Ocular Oncology
Type: Ophthalmic Images
Include in Catalogue?: Yes
Original Contributor(s): Khalid El-Jack, MD; Maura Di Nicola, MD; Basil K. Williams, MD
Presenter/Faculty: El-Jack, Di Nicola, Williams
Bilateral retinoblastoma.
Genetics of Age-Related Macular Degeneration (And of Other Complex Traits): It’s Not What It Appears
Specialty: Retina and Vitreous Diseases
Type: Other Lectures
Include in Catalogue?: Yes
Original Contributor(s): Anand Swaroop, PhD
Presenter/Faculty: Swaroop
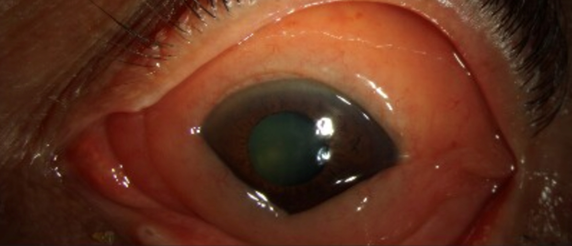
Tarsal Telangiectasia Secondary to Hereditary Hemorrhagic Telangiectasia (Osler–Weber–Rendu Syndrome)
Specialty: Corneal and External Diseases
Type: Ophthalmic Images
Include in Catalogue?: Yes
Original Contributor(s): Nina Diklich, MD; Carol L. Karp, MD
Presenter/Faculty: Diklich, Karp
A patient with no past ocular history presented with a 3 day history of bloody tears. Slit lamp photography revealed multifocal telangiectasias on both the right and left tarsal conjunctiva.
Cicatricial Ectropion Secondary to Lamellar Ichthyosis
Specialty: Corneal and External Diseases
Include in Catalogue?: No
Presenter(s): Caroline M. Borie, MD
Faculty Discussant(s): Andrew J. Rong, MD
Abstract A patient with history of lamellar ichthyosis, a congenital autosomal recessive skin disease, presented to Bascom Palmer Eye Institute with repeated complications of severe bilateral exposure keratopathy due to cicatricial ectropion, which led to a corneal perforation of the right eye. Lam…
Cicatricial Ectropion Secondary to Lamellar Ichthyosis
Specialty: Corneal and External Diseases
Include in Catalogue?: No
Presenter(s): Caroline M. Borie, MD
Faculty Discussant(s): Andrew J. Rong, MD
Cicatricial Ectropion Secondary to Lamellar Ichthyosis A patient with history of lamellar ichthyosis, a congenital autosomal recessive skin disease, presented to Bascom Palmer Eye Institute with repeated complications of severe bilateral exposure keratopathy due to cicatricial ectropion, which led …
Cicatricial Ectropion Secondary to Lamellar Ichthyosis
Specialty: Corneal and External Diseases
Type: Online Grand Rounds
Include in Catalogue?: Yes
Presenter(s): Caroline M. Borie, MD
Faculty Discussant(s): Andrew J. Rong, MD
Presenter/Faculty: Borie, Rong
Cicatricial Ectropion Secondary to Lamellar Ichthyosis A patient with history of lamellar ichthyosis, a congenital autosomal recessive skin disease, presented to Bascom Palmer Eye Institute with repeated complications of severe bilateral exposure keratopathy due to cicatricial ectropion, which led …