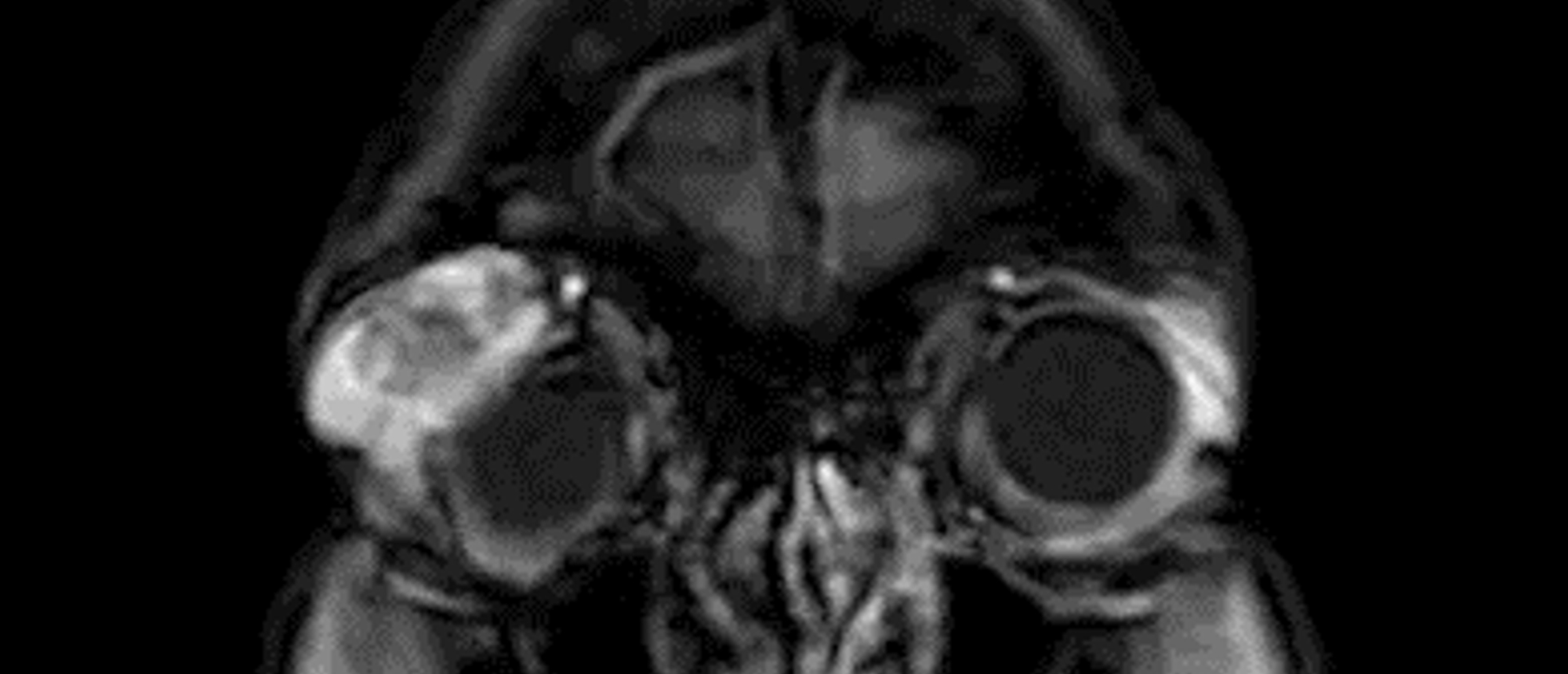
Nasser Al-Rashid Sixth Annual Orbital Research Colloquium on Orbital Diseases
Specialty: Other
                                    
        Type: Other Lectures
    
        Include in Catalogue?: Yes
    
        Original Contributor(s): Daniel Pelaez, PhD; David T. Tse, MD, FACS
    
        Presenter/Faculty: Pelaez; Tse
    
Primary Congenital Glaucoma
Specialty: Other
                                    
        Include in Catalogue?: No
    
        Presenter(s): Sara J. Coulon, MD
    
        Faculty Discussant(s): Elena Bitrian, MD
    
 Primary Congenital Glaucoma A young patient with no past medical or ocular history presented to the emergency room with redness, tearing, and light sensitivity of the left eye. She had no family history of eye conditions and had a normal birth and development thus far. On initial examination in the…
                                    
                                    Primary Congenital Glaucoma
Specialty: Glaucoma
                                    
        Type: Online Grand Rounds
    
        Include in Catalogue?: Yes
    
        Presenter(s): Sara J. Coulon, MD
    
        Faculty Discussant(s): Elena Bitrian, MD
    
        Presenter/Faculty: Bitrian, Coulon
    
 Primary Congenital Glaucoma A young patient with no past medical or ocular history presented to the emergency room with redness, tearing, and light sensitivity of the left eye. She had no family history of eye conditions and had a normal birth and development thus far. On initial examination in the…
                                    
                                    Microcephaly with or without Chorioretinopathy, Lymphedema or Intellectual Disability (MCLID)
Specialty: Glaucoma
                                    
        Include in Catalogue?: No
    
        Vetted By: Audina M. Berrocal, MD
    
        Vetted Date: June 10, 2025
    
        Presenter(s): Maria Paula Fernandez, MD
    
        Faculty Discussant(s): Audina M. Berrocal, MD; Carlos E. Mendoza-Santiesteban, MD; Mustafa Tekin, MD
    
 Microcephaly with or without Chorioretinopathy, Lymphedema or Intellectual Disability (MCLID) This patient with past medical history of microcephaly, lymphedema and mild cognitive delay, was referred for retinal evaluation. Ophthalmological evaluation was notable for hyperopia and extramacular pigm…
                                    
                                    Microcephaly with or without Chorioretinopathy, Lymphedema or Intellectual Disability (MCLID)
Specialty: Retina and Vitreous Diseases
                                    
        Type: Online Grand Rounds
    
        Include in Catalogue?: Yes
    
        Vetted By: Audina M. Berrocal, MD
    
        Vetted Date: June 10, 2025
    
        Presenter(s): Maria Paula Fernandez, MD
    
        Faculty Discussant(s): Audina M. Berrocal, MD; Carlos E. Mendoza-Santiesteban, MD; Mustafa Tekin, MD
    
        Presenter/Faculty: Berrocal, Fernandez, Mendoza-Santiesteban, Tekin
    
 Microcephaly with or without Chorioretinopathy, Lymphedema or Intellectual Disability (MCLID) This patient with past medical history of microcephaly, lymphedema and mild cognitive delay, was referred for retinal evaluation. Ophthalmological evaluation was notable for hyperopia and extramacular pigm…
                                    
                                    Ocular Cicatricial Pemphigoid
Specialty: Retina and Vitreous Diseases
                                    
        Include in Catalogue?: No
    
        Presenter(s): Shanlee M. Stevens, MD
    
        Faculty Discussant(s): Guillermo Amescua, MD
    
 Ocular Cicatricial Pemphigoid A patient with a past medical history significant for biopsy-proven ocular cicatricial pemphigoid (OCP) was referred for cataract evaluation in the right eye. At presentation, her vision in the right eye was hand motion, and she had been off systemic immunosuppression …
                                    
                                    Ocular Cicatricial Pemphigoid
Specialty: Cataracts and Intraocular Lenses
                                    
        Type: Online Grand Rounds
    
        Include in Catalogue?: Yes
    
        Presenter(s): Shanlee M. Stevens, MD
    
        Faculty Discussant(s): Guillermo Amescua, MD
    
        Presenter/Faculty: Amescua, Stevens
    
 Ocular Cicatricial Pemphigoid A patient with a past medical history significant for biopsy-proven ocular cicatricial pemphigoid (OCP) was referred for cataract evaluation in the right eye. At presentation, her vision in the right eye was hand motion, and she had been off systemic immunosuppression …
                                    
                                    Kaposi's Sarcoma of the Conjunctiva
Specialty: Cataracts and Intraocular Lenses
                                    
        Include in Catalogue?: No
    
        Vetted By: Carol L. Karp, MD
    
        Vetted Date: June 21, 2025
    
        Presenter(s): Flavius Beca, MD
    
        Faculty Discussant(s): Sander R. Dubovy, MD; Carol L. Karp, MD
    
 Kaposi's Sarcoma of the Conjunctiva A patient presented to the BPEI Emergency Room with a painless red eye for the past 3 months. Past medical history was limited to a recent hospitalization for a complicated pneumonia and a new diagnosis of HIV. Examination of the eye revealed an elevated, vascula…
                                    
                                    Kaposi's Sarcoma of the Conjunctiva
Specialty: Corneal and External Diseases
                                    
        Type: Online Grand Rounds
    
        Include in Catalogue?: Yes
    
        Vetted By: Carol L. Karp, MD
    
        Vetted Date: June 21, 2025
    
        Presenter(s): Flavius Beca, MD
    
        Faculty Discussant(s): Sander R. Dubovy, MD; Carol L. Karp, MD
    
        Presenter/Faculty: Beca, Dubovy, Karp
    
 Kaposi's Sarcoma of the Conjunctiva A patient presented to the BPEI Emergency Room with a painless red eye for the past 3 months. Past medical history was limited to a recent hospitalization for a complicated pneumonia and a new diagnosis of HIV. Examination of the eye revealed an elevated, vascula…
                                    
                                    Ocular Surface Squamous Neoplasia
Specialty: Corneal and External Diseases
                                    
        Include in Catalogue?: No
    
        Vetted By: Carol L. Karp, MD
    
        Vetted Date: June 21, 2025
    
        Presenter(s): Victor H. Banda, MD
    
        Faculty Discussant(s): Sander R. Dubovy, MD; Carol L. Karp, MD
    
 Ocular Surface Squamous Neoplasia A patient presented to BPEI for a cornea evaluation with blurred vision, foreign body sensation and redness for 1 year duration. The exam was notable for visual acuity of 20/150 in the right eye. Intraocular pressure was 8 in the right eye, Slit lamp exam was most …
                                    
                                    Ocular Surface Squamous Neoplasia
Specialty: Corneal and External Diseases
                                    
        Type: Online Grand Rounds
    
        Include in Catalogue?: Yes
    
        Vetted By: Carol L. Karp, MD
    
        Vetted Date: June 21, 2025
    
        Presenter(s): Victor H. Banda, MD
    
        Faculty Discussant(s): Sander R. Dubovy, MD; Carol L. Karp, MD
    
        Presenter/Faculty: Banda, Dubovy, Karp
    
 Ocular Surface Squamous Neoplasia A patient presented to BPEI for a cornea evaluation with blurred vision, foreign body sensation and redness for 1 year duration. The exam was notable for visual acuity of 20/150 in the right eye. Intraocular pressure was 8 in the right eye, Slit lamp exam was most …
                                    
                                    Penetrating Ocular Fishhook Injury
Specialty: Corneal and External Diseases
                                    
        Include in Catalogue?: No
    
        Presenter(s): Humberto Salazar, III, MD
    
        Faculty Discussant(s): Harry W. Flynn, Jr., MD; Nicolas A. Yannuzzi, MD
    
        Discussant(s): Diana M. Laura, MD
    
 Penetrating Ocular Fishhook Injury A patient with a history of stroke, hypertension, and pseudophakia of both eyes, presented with eye trauma while fishing without protective eyewear. While reeling in, his fishhook flew out of the water and hit him in the right eye. On presentation, his right eye v…
                                    
                                    Penetrating Ocular Fishhook Injury
Specialty: Corneal and External Diseases
                                    
        Type: Online Grand Rounds
    
        Include in Catalogue?: Yes
    
        Presenter(s): Humberto Salazar, III, MD
    
        Faculty Discussant(s): Harry W. Flynn, Jr., MD; Nicolas A. Yannuzzi, MD
    
        Discussant(s): Diana M. Laura, MD
    
        Presenter/Faculty: Flynn, Laura, Salazar, Yannuzzi
    
 Penetrating Ocular Fishhook Injury A patient with a history of stroke, hypertension, and pseudophakia of both eyes, presented with eye trauma while fishing without protective eyewear. While reeling in, his fishhook flew out of the water and hit him in the right eye. On presentation, his right eye v…
                                    
                                    Kaposi's Sarcoma
Specialty: Corneal and External Diseases
                                    
        Type: Ophthalmic Images
    
        Include in Catalogue?: Yes
    
        Original Contributor(s): Flavius Beca, MD
    
        Presenter/Faculty:  Beca
    
Kaposi's sarcoma of the conjunctiva.
OSSN Masquerading as a Pinguecula/Severe Dry Eye
Specialty: Corneal and External Diseases
                                    
        Type: Ophthalmic Images
    
        Include in Catalogue?: Yes
    
        Original Contributor(s): Victor H. Banda, MD; Sander R. Dubovy, MD; Carol L. Karp, MD
    
        Presenter/Faculty: Banda, Dubovy, Karp
    
 Patient presents with unilateral blurred vision, foreign body sensation and redness. Picture on the right shows gelatinous pinguecula at limbal location 4 clock hour, corneal surface with significant PEE. Picture on the left is HR-OCT that shows thickened and hyperreflective epithelium with abrupt …
                                    
                                    Penetrating Ocular Fishhook Injury
Specialty: Corneal and External Diseases
                                    
        Type: Surgical Videos
    
        Include in Catalogue?: Yes
    
        Original Contributor(s): Diana M. Laura, MD; Humberto Salazar, III, MD
    
        Presenter/Faculty: Laura, Salazar
    
Melanocytoma with Vitreous Seeding
Specialty: Corneal and External Diseases
                                    
        Include in Catalogue?: No
    
        Presenter(s): Nathan L. Scott, MD, MPP
    
        Faculty Discussant(s): Zelia M. Correa, MD, PhD; Sander R. Dubovy, MD
    
 Melanocytoma with Vitreous Seeding A patient with 7 years of blurry vision in the right eye presents to clinic for evaluation. He reports no recent acute changes in vision and no precipitating events in the past. He noticed the blurry vision incidentally while driving when he covered his left eye. …
                                    
                                    Melanocytoma with Vitreous Seeding
Specialty: Ocular Oncology
                                    
        Type: Online Grand Rounds
    
        Include in Catalogue?: Yes
    
        Presenter(s): Nathan L. Scott, MD, MPP
    
        Faculty Discussant(s): Zelia M. Correa, MD, PhD; Sander R. Dubovy, MD
    
        Presenter/Faculty: Correa, Dubovy, Scott
    
 Melanocytoma with Vitreous Seeding A patient with 7 years of blurry vision in the right eye presents to clinic for evaluation. He reports no recent acute changes in vision and no precipitating events in the past. He noticed the blurry vision incidentally while driving when he covered his left eye. …
                                    
                                    Vitreoretinal Surgery Online Textbook
Specialty: Retina and Vitreous Diseases
                                    
        Type: Surgical Videos
    
        Include in Catalogue?: Yes
    
Corneal Decompensation
Specialty: Retina and Vitreous Diseases
                                    
        Include in Catalogue?: No
    
        Presenter(s): Caroline L. Lieux, MD
    
        Faculty Discussant(s): Sander R. Dubovy, MD; Anat Galor, MD, MSPH
    
 Corneal Decompensation Corneal decompensation in the setting of glaucoma surgery is a complex entity that is poorly understood. Endothelial cell loss occurs from both the glaucoma itself and from the placement of intraocular glaucoma devices. This decline in endothelial cells occurs via direct and …