Morgagnian Cataract, Pseudoexfoliation Syndrome, Phacolytic Glaucoma
Specialty: Cataracts and Intraocular Lenses
Type: Ophthalmic Images
Include in Catalogue?: Yes
Original Contributor(s): Jesse D. Sengillo, MD; Jonathan D. Tijerina, MD, MA; Luiz E. Vazquez, MD, PhD
Presenter/Faculty: Sengillo, Tijerina, Vazquez
Slit lamp photos and UBM demonstrating a Morgagnian Cataract in a patient with Pseudoexfoliation Syndrome and Phacolytic Glaucoma.
Candida Albicans Keratitis
Specialty: Cataracts and Intraocular Lenses
Type: Online Grand Rounds
Include in Catalogue?: Yes
Presenter(s): Jerry Hsu, MD, MS
Faculty Discussant(s): Guillermo Amescua, MD
Presenter/Faculty: Amescua, Hsu
Candida Albicans Keratitis A young patient with a past ocular history of Stevens Johnson Syndrome and prior Candida and Providencia keratitis presented with multifocal white corneal infiltrates several months following a penetrating keratoplasty of the same eye. The patient’s exam was notable for…
Recurrent Diffuse Conjunctival Malignant Melanoma: Extending onto Cornea and Inferior Palpebra, Right Eye
Specialty: Cataracts and Intraocular Lenses
Type: Online Grand Rounds
Include in Catalogue?: Yes
Presenter(s): Maura Abraham Marin, MD
Faculty Discussant(s): Guillermo Amescua, MD; Zelia M. Correa, MD; Sander R. Dubovy, MD
Presenter/Faculty: Amescua, Correa, Dubovy, Marin
Recurrent Diffuse Conjunctival Malignant Melanoma: Extending onto Cornea and Inferior Palpebra, Right Eye A patient with a previous history of redness and pain in the right eye, for about 2 years. Two months prior presentation, the patient had a Pterygium/Conjunctival lesion excision in the right e…
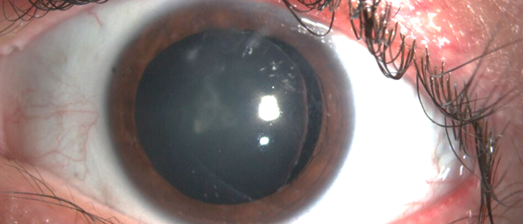
Long Anterior Zonules and Pigment Dispersion Syndrome-Variant
Specialty: Cataracts and Intraocular Lenses
Type: Online Grand Rounds
Include in Catalogue?: Yes
Presenter(s): Jonathan D. Tijerina, MD, MA
Faculty Discussant(s): Sander R. Dubovy, MD; Anh H. Pham, MD, PhD
Discussant(s): Jesse D. Sengillo, MD
Presenter/Faculty: Dubovy, Pham, Sengillo, Tijerina
Long Anterior Zonules and Pigment Dispersion Syndrome-Variant A patient was referred for cataract evaluation with decreased vision in the right eye. The patient had a past ocular history of cataracts of both eyes, corneal scar of the right eye, and intermittent subretinal fluid in the right eye not…
Epithelial Downgrowth
Specialty: Cataracts and Intraocular Lenses
Type: Online Grand Rounds
Include in Catalogue?: Yes
Presenter(s): Benjamin Meyer, MD
Faculty Discussant(s): Carol L. Karp, MD
Presenter/Faculty: Karp, Meyer
Epithelial Downgrowth A patient with a history of keratoconus treated with penetrating keratoplasty, bilateral glaucoma, and cataracts underwent cataract extraction and intraocular lens implantation with iris cyst resection. Postoperatively, she developed persistent epithelial downgrowth leading to…
Phacomorphic Glaucoma and Anterior Lens Capsule Rupture After Laser Peripheral Iridotomy
Specialty: Cataracts and Intraocular Lenses
Type: Online Grand Rounds
Include in Catalogue?: Yes
Presenter(s): Javier Nahmias, MD
Faculty Discussant(s): Arindel S. Maharaj, MD, PhD
Presenter/Faculty: Maharaj, Nahmias
Phacomorphic Glaucoma and Anterior Lens Capsule Rupture After Laser Peripheral Iridotomy Patient with a history of multiple retinal detachments status post repair and brunescent cataract was seen at outside eye clinic with elevated intraocular pressure, eye pain and decreased vision. Vision was rep…
Pachyphakia, Microcornea, and Angle Closure
Specialty: Cataracts and Intraocular Lenses
Type: Online Grand Rounds
Include in Catalogue?: Yes
Presenter(s): Naomi E. Gutkind, MD
Faculty Discussant(s): Elena Bitrian, MD
Presenter/Faculty: Bitrian, Gutkind
Pachyphakia, Microcornea, and Angle Closure A patient presented for right eyelid drooping and redness. The patient had a remote history of retinopathy of prematurity (ROP) which had been treated with extensive retinal laser ablation as a neonate. The patient was found to have pachyphakia, microcorn…
White Cataract with Pre-existing Posterior Capsule Rupture from Intravitreal Injection
Specialty: Cataracts and Intraocular Lenses
Type: Online Grand Rounds
Include in Catalogue?: Yes
Presenter(s): Nhon Le, MD
Faculty Discussant(s): Guillermo Amescua, MD
Presenter/Faculty: Amescua, Le
White Cataract with Pre-existing Posterior Capsule Rupture from Intravitreal Injection A patient who underwent an intravitreal anti-vascular endothelial growth factor injection developed a white cataract after his procedure. Careful examination and ultrasonography revealed a white cataract with a p…
Pachyphakia, Microcornea, and Angle Closure Following Laser Treatment of Retinopathy of Prematurity
Specialty: Cataracts and Intraocular Lenses
Type: Ophthalmic Images
Include in Catalogue?: Yes
Original Contributor(s): Elena Bitrian, MD; Naomi E. Gutkind, MD; Arjun Sharma, MD
Presenter/Faculty: Bitrian, Gutkind, Sharma
A patient who had been previously treated with retinal photocoagulation for severe retinopathy of prematurity. Ultrasound biomicroscopy revealed nearly spherical, thickened lens with complete angle closure. Fundus photography with diffuse chorioretinal scars consistent with previous photocoagulatio…
Myotonic Dystrophy Associated Cataracts
Specialty: Cataracts and Intraocular Lenses
Type: Online Grand Rounds
Include in Catalogue?: Yes
Presenter(s): Matias A. Soifer, MD
Faculty Discussant(s): Guillermo Amescua, MD; Carlos E. Mendoza Santiesteban, MD; Neil Masters, MD
Presenter/Faculty: Amescua, Mendoza Santiesteban, Masters, Soifer
Myotonic Dystrophy Associated Cataracts We present a case series of two siblings with myotonic dystrophy and cataract with different degrees of zonulopathies. Myotonic dystrophy usually presents with early onset cataracts. We showcase the challenges of doing surgery on patients with advanced myopat…
Tube Ripcord Suture Cataract
Specialty: Cataracts and Intraocular Lenses
Type: Surgical Videos
Include in Catalogue?: Yes
Original Contributor(s): Alcina Lidder, MD; Sarah Wellik, MD
Presenter/Faculty: Lidder, Wellik
CZ70BD Dislocated Lens Rescue with Scleral Fixation
Specialty: Cataracts and Intraocular Lenses
Type: Surgical Videos
Include in Catalogue?: Yes
Original Contributor(s): Patrick Staropoli, MD; Nicolas A. Yannuzzi, MD
Presenter/Faculty: Staropoli, Yannuzzi
Postoperative Endophthalmitis
Specialty: Cataracts and Intraocular Lenses
Type: Online Grand Rounds
Include in Catalogue?: Yes
Presenter(s): Brandon Pham, MD
Faculty Discussant(s): Victoria Chang, MD; Janet L. Davis, MD; Harry W. Flynn, Jr., MD; Stephen G. Schwartz, MD, MBA
Presenter/Faculty: Chang, Davis, Flynn, Pham, Schwartz
Postoperative Endophthalmitis An elderly patient with past medical history of quiescent birdshot chorioretinopathy on immunosuppressive therapy underwent uneventful cataract surgery in the right eye followed by intracameral injection of moxifloxacin at the end of the case. On postoperative day 4, t…
Elevated Intraocular Pressure After Phakic Posterior Chamber Intraocular Lens Placement
Specialty: Cataracts and Intraocular Lenses
Type: Online Grand Rounds
Include in Catalogue?: Yes
Presenter(s): Humberto Salazar, III, MD
Faculty Discussant(s): Luis E. Vazquez, MD, PhD; Sonia H. Yoo, MD
Presenter/Faculty: Salazar, Vazquez, Yoo
Elevated Intraocular Pressure After Phakic Posterior Chamber Intraocular Lens Placement A patient with a history of high myopia and contact lens intolerance underwent uncomplicated placement of phakic posterior chamber intraocular lenses in both eyes. She was started on a postoperative tapering cou…
Persistent Fetal Vasculature
Specialty: Cataracts and Intraocular Lenses
Type: Ophthalmic Images
Include in Catalogue?: Yes
Original Contributor(s): Audina M. Berrocal, MD; Maria Paula Fernandez, MD
Presenter/Faculty: Berrocal, Fernandez
A 6-week old patient presented with persistent fetal vasculature leading to a loss of red reflex due to a congenital cataract. UBM showed an anteriorly rotated ciliary body with a thickened retrolental membrane and a spherically shaped lens. Ultrasound showed a membrane from the optic disc with red…
Black Cataract
Specialty: Cataracts and Intraocular Lenses
Type: Online Grand Rounds
Include in Catalogue?: Yes
Presenter(s): Ronaldo Nuesi, MD
Faculty Discussant(s): Zubair Ansari, MD
Presenter/Faculty: Ansari, Nuesi
Black Cataract A patient with no past ocular history presented with painless vision loss to HM in the left eye over last 6 weeks. The patient had poor, chronically declining visual acuity in that eye for years but did not have access to care. Slit lamp exam was notable for a dense, black cataract i…
Ocular Cicatricial Pemphigoid
Specialty: Cataracts and Intraocular Lenses
Type: Online Grand Rounds
Include in Catalogue?: Yes
Presenter(s): Shanlee M. Stevens, MD
Faculty Discussant(s): Guillermo Amescua, MD
Presenter/Faculty: Amescua, Stevens
Ocular Cicatricial Pemphigoid A patient with a past medical history significant for biopsy-proven ocular cicatricial pemphigoid (OCP) was referred for cataract evaluation in the right eye. At presentation, her vision in the right eye was hand motion, and she had been off systemic immunosuppression …
Iris Cyst
Specialty: Cataracts and Intraocular Lenses
Type: Ophthalmic Images
Include in Catalogue?: Yes
Original Contributor(s): Carol L. Karp, MD; Erin Ong, MD
Presenter/Faculty: Karp, Ong
Iris cyst
Removal of Soemmering Ring and Scleral Fixation of Disclocated IOL
Specialty: Cataracts and Intraocular Lenses
Type: Ophthalmic Images
Include in Catalogue?: Yes
Original Contributor(s): Zubair Ansari, MD; Viet Chau, MD; Kenneth C. Fan, MD, MBA; Nimesh A. Patel
Presenter/Faculty: Ansari, Chau, Fan, Patel
A patient with history of cataract surgery at 19 years old who started noting blurry vision in the right eye found to have a Soemmering ring in the anterior chamber. The ring was removed from the posterior chamber using a scleral tunnel. Surprisingly, a dislocated 3-piece IOL was found. The IOL was…
Removal of Soemmering Ring and Scleral Fixation of Dislocated IOL
Specialty: Cataracts and Intraocular Lenses
Type: Surgical Videos
Include in Catalogue?: Yes
Original Contributor(s): Zubair Ansari, MD; Viet Chau, MD; Kenneth C. Fan, MD, MBA; Nimesh A. Patel
Presenter/Faculty: Ansari, Chau, Fan, Patel