
Tube-Associated Endophthalmitis
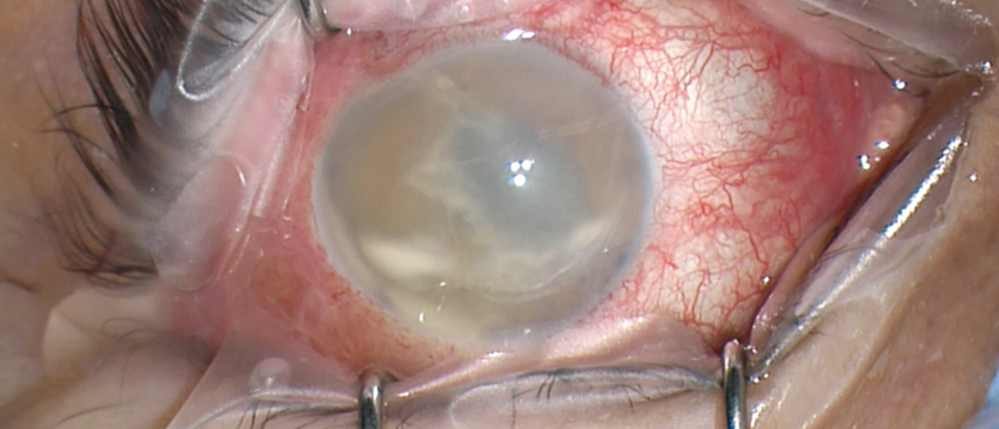
A patient with a history of primary open-angle glaucoma (status post glaucoma drainage implant), treated syphilis, and recurrent anterior uveitis presented with one day of right eye pain, redness, photophobia, and decreased vision. Vision declined from 20/25 to 20/50 with a mild anterior chamber reaction. B-scan ultrasound revealed mild vitreous opacities, choroidal thickening, and a T-sign suggestive of posterior scleritis or early endophthalmitis. The patient was initially observed on frequent topical corticosteroids (difluprednate), but vision rapidly declined to hand motions the following day. A diagnosis of glaucoma drainage device (GDD)-associated endophthalmitis was made. He underwent urgent tube explantation, anterior chamber washout, pars plana vitrectomy, and intravitreal antibiotics. Intraoperative cultures grew Neisseria species—an exceptionally rare cause of exogenous endophthalmitis. Postoperatively, the patient developed a rhegmatogenous retinal detachment requiring surgical repair with silicone oil tamponade, resulting in final visual acuity of 20/200. GDD-associated endophthalmitis is a serious complication with poor visual prognosis, occurring in up to 6.3% of patients. All major devices (Ahmed, Baerveldt, Molteno) carry this risk due to permanent communication between the anterior chamber and subconjunctival space, and potential for tube erosion or bacterial colonization. Tube exposure, more common in pediatric patients, is a key risk factor. Neisseria species, typically oropharyngeal commensals, are rarely implicated in ocular infections. Management varies but often includes intravitreal antibiotics and device explantation. Retinal detachment is a well-documented postoperative complication following vitrectomy for endophthalmitis. This case underscores the importance of prompt surgical intervention in atypical GDD-related infections.
Presentation Date: 07/17/2025
Issue Date: 12/05/2025
Please log in or click on ENROLL ME to access this course.
