Chronic Orbital Inflammation Secondary to Paint Injury
Section outline
-
-
Description
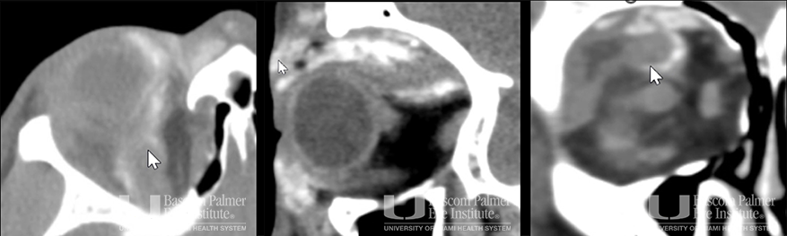
Chronic orbital inflammation secondary to paint injury.
Uploaded on: 01/17/2026














