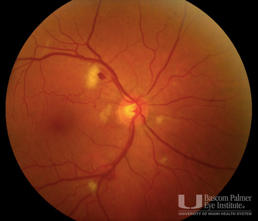
Gemcitabine Induced Purtscher Like Retinopathy in Both Eyes
Section outline
-
-
Description
Gemcitabine induced Purstchers like retinopathy in both eyes.
Uploaded on: 10/08/2025

